Foram encontradas 4.100 questões.
Um homem de 37 anos de idade, foi internado após ter apresentado crise convulsiva. Seu irmão informou que era o terceiro e mais prolongado episódio das últimas duas semanas. Há 45 dias, vinha apresentando febre vespertina, cefaleia, anorexia e astenia. Ainda no setor de admissão, apresentou nova convulsão, que foi seguida por outras, sem a recuperação da consciência, durante um período de 45 minutos. Ele foi levado à unidade de terapia intensiva do hospital e foi solicitado um parecer à neurologia.
Com base nessas informações, julgue os próximos itens.
Provas
Um homem de 37 anos de idade, foi internado após ter apresentado crise convulsiva. Seu irmão informou que era o terceiro e mais prolongado episódio das últimas duas semanas. Há 45 dias, vinha apresentando febre vespertina, cefaleia, anorexia e astenia. Ainda no setor de admissão, apresentou nova convulsão, que foi seguida por outras, sem a recuperação da consciência, durante um período de 45 minutos. Ele foi levado à unidade de terapia intensiva do hospital e foi solicitado um parecer à neurologia.
Com base nessas informações, julgue os próximos itens.
Provas
Um homem de 37 anos de idade, foi internado após ter apresentado crise convulsiva. Seu irmão informou que era o terceiro e mais prolongado episódio das últimas duas semanas. Há 45 dias, vinha apresentando febre vespertina, cefaleia, anorexia e astenia. Ainda no setor de admissão, apresentou nova convulsão, que foi seguida por outras, sem a recuperação da consciência, durante um período de 45 minutos. Ele foi levado à unidade de terapia intensiva do hospital e foi solicitado um parecer à neurologia.
Com base nessas informações, julgue os próximos itens.
Provas
Um homem de 37 anos de idade, foi internado após ter apresentado crise convulsiva. Seu irmão informou que era o terceiro e mais prolongado episódio das últimas duas semanas. Há 45 dias, vinha apresentando febre vespertina, cefaleia, anorexia e astenia. Ainda no setor de admissão, apresentou nova convulsão, que foi seguida por outras, sem a recuperação da consciência, durante um período de 45 minutos. Ele foi levado à unidade de terapia intensiva do hospital e foi solicitado um parecer à neurologia.
Com base nessas informações, julgue os próximos itens.
Provas
Um homem de 37 anos de idade, foi internado após ter apresentado crise convulsiva. Seu irmão informou que era o terceiro e mais prolongado episódio das últimas duas semanas. Há 45 dias, vinha apresentando febre vespertina, cefaleia, anorexia e astenia. Ainda no setor de admissão, apresentou nova convulsão, que foi seguida por outras, sem a recuperação da consciência, durante um período de 45 minutos. Ele foi levado à unidade de terapia intensiva do hospital e foi solicitado um parecer à neurologia.
Com base nessas informações, julgue os próximos itens.
Provas
Um homem de 37 anos de idade, foi internado após ter apresentado crise convulsiva. Seu irmão informou que era o terceiro e mais prolongado episódio das últimas duas semanas. Há 45 dias, vinha apresentando febre vespertina, cefaleia, anorexia e astenia. Ainda no setor de admissão, apresentou nova convulsão, que foi seguida por outras, sem a recuperação da consciência, durante um período de 45 minutos. Ele foi levado à unidade de terapia intensiva do hospital e foi solicitado um parecer à neurologia.
Com base nessas informações, julgue os próximos itens.
Provas
Provas
Provas
Provas
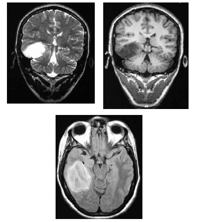
Uma mulher de 36 anos de idade foi encaminhada ao ambulatório de neurologia por dificuldade no controle das crises epilépticas. Ela referiu ter tido uma convulsão febril aos 36 meses e ter passado a ter crises em que ficava “fora do ar” aos 11 anos. Ela recebeu o diagnóstico de epilepsia generalizada do tipo ausência e foi-lhe prescrito fenobarbital. Desde então, já fez uso de primidona, ácido valpróico e diazepam, em monoterapia e associados ao fenobarbital, sem sucesso. No exame, a paciente apresentava um comprometimento da memória recente e aparentava ter um sutil deficit dos campos visuais e Babinski à esquerda. Apesar de trazer um EEG normal, foi solicitada RNM de encéfalo, que é reproduzida abaixo.

Com referência a esse quadro clínico, julgue os itens seguintes.
Provas
Caderno Container