Magna Concursos

Foram encontradas 4.100 questões.

1854969 Ano: 2009
Disciplina: Medicina
Banca: CESPE / CEBRASPE
Orgão: SES-SE
Provas:

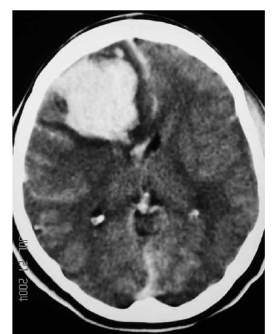
Uma mulher de 29 anos de idade teve sua gestação interrompida com 35 semanas, mediante parto cesariano, por ter apresentado quadro compatível com a doença hipertensiva específica da gravidez. No quinto dia de pós-operatório, apresentou importante dor de cabeça seguida de crises convulsivas; na avaliação laboratorial, foram atestadas plaquetopenia e alteração da função hepática. Ela foi levada à unidade de terapia intensiva, onde o plantonista observou hemiparesia esquerda e solicitou uma tomografia de crânio sem contraste, que é reproduzida abaixo.

Enunciado 1854969-1

Com base nessas informações, julgue os itens que se seguem.

O ácido valpróico é a medicação de escolha nesse caso, já que não causa plaquetopenia.
 

Provas

Questão presente nas seguintes provas
1854968 Ano: 2009
Disciplina: Medicina
Banca: CESPE / CEBRASPE
Orgão: SES-SE
Provas:

Uma mulher de 29 anos de idade teve sua gestação interrompida com 35 semanas, mediante parto cesariano, por ter apresentado quadro compatível com a doença hipertensiva específica da gravidez. No quinto dia de pós-operatório, apresentou importante dor de cabeça seguida de crises convulsivas; na avaliação laboratorial, foram atestadas plaquetopenia e alteração da função hepática. Ela foi levada à unidade de terapia intensiva, onde o plantonista observou hemiparesia esquerda e solicitou uma tomografia de crânio sem contraste, que é reproduzida abaixo.

Enunciado 1854968-1

Com base nessas informações, julgue os itens que se seguem.

A paciente deve receber fenitoína endovenosa, visto que há alta probabilidade de recrudescência das crises epilépticas.
 

Provas

Questão presente nas seguintes provas
1854967 Ano: 2009
Disciplina: Medicina
Banca: CESPE / CEBRASPE
Orgão: SES-SE
Provas:

Uma mulher de 29 anos de idade teve sua gestação interrompida com 35 semanas, mediante parto cesariano, por ter apresentado quadro compatível com a doença hipertensiva específica da gravidez. No quinto dia de pós-operatório, apresentou importante dor de cabeça seguida de crises convulsivas; na avaliação laboratorial, foram atestadas plaquetopenia e alteração da função hepática. Ela foi levada à unidade de terapia intensiva, onde o plantonista observou hemiparesia esquerda e solicitou uma tomografia de crânio sem contraste, que é reproduzida abaixo.

Enunciado 1854967-1

Com base nessas informações, julgue os itens que se seguem.

O exame de neuroimagem evidencia volumoso abscesso cerebral.
 

Provas

Questão presente nas seguintes provas
1854966 Ano: 2009
Disciplina: Medicina
Banca: CESPE / CEBRASPE
Orgão: SES-SE
Provas:

Uma mulher de 45 anos de idade, hipertensa controlada com enalapril, começou a sentir cansaço ao final do dia nos últimos seis meses, e maior dificuldade para as atividades rotineiras, em especial quando realizava esforço físico. No último mês, começou a apresentar engasgos e voz anasalada nos momentos em que sentia o aumento da fraqueza muscular. O médico assistente aventou a possibilidade de miastenia grave como hipótese diagnóstica.

Com base nessas informações, julgue os itens seguintes.

No quadro em questão, a manobra de Gowers pode ser utilizada para confirmar doença da junção neuromuscular.
 

Provas

Questão presente nas seguintes provas
1854965 Ano: 2009
Disciplina: Medicina
Banca: CESPE / CEBRASPE
Orgão: SES-SE
Provas:

Uma mulher de 45 anos de idade, hipertensa controlada com enalapril, começou a sentir cansaço ao final do dia nos últimos seis meses, e maior dificuldade para as atividades rotineiras, em especial quando realizava esforço físico. No último mês, começou a apresentar engasgos e voz anasalada nos momentos em que sentia o aumento da fraqueza muscular. O médico assistente aventou a possibilidade de miastenia grave como hipótese diagnóstica.

Com base nessas informações, julgue os itens seguintes.

No quadro descrito, a investigação com tomografia ou ressonância nuclear magnética (RNM) de tórax/mediastino é necessária para avaliar a presença de timoma.
 

Provas

Questão presente nas seguintes provas
1854964 Ano: 2009
Disciplina: Medicina
Banca: CESPE / CEBRASPE
Orgão: SES-SE
Provas:

Uma mulher de 45 anos de idade, hipertensa controlada com enalapril, começou a sentir cansaço ao final do dia nos últimos seis meses, e maior dificuldade para as atividades rotineiras, em especial quando realizava esforço físico. No último mês, começou a apresentar engasgos e voz anasalada nos momentos em que sentia o aumento da fraqueza muscular. O médico assistente aventou a possibilidade de miastenia grave como hipótese diagnóstica.

Com base nessas informações, julgue os itens seguintes.

No caso de a paciente apresentar miastenia grave, deve-se trocar a medicação anti-hipertensiva, já que a medicação de escolha é o propranolol.
 

Provas

Questão presente nas seguintes provas
1854963 Ano: 2009
Disciplina: Medicina
Banca: CESPE / CEBRASPE
Orgão: SES-SE
Provas:

Uma mulher de 45 anos de idade, hipertensa controlada com enalapril, começou a sentir cansaço ao final do dia nos últimos seis meses, e maior dificuldade para as atividades rotineiras, em especial quando realizava esforço físico. No último mês, começou a apresentar engasgos e voz anasalada nos momentos em que sentia o aumento da fraqueza muscular. O médico assistente aventou a possibilidade de miastenia grave como hipótese diagnóstica.

Com base nessas informações, julgue os itens seguintes.

A eletroneuromiografia deve ser realizada com o teste da estimulação repetitiva.
 

Provas

Questão presente nas seguintes provas
1854962 Ano: 2009
Disciplina: Medicina
Banca: CESPE / CEBRASPE
Orgão: SES-SE
Provas:

Uma mulher de 45 anos de idade, hipertensa controlada com enalapril, começou a sentir cansaço ao final do dia nos últimos seis meses, e maior dificuldade para as atividades rotineiras, em especial quando realizava esforço físico. No último mês, começou a apresentar engasgos e voz anasalada nos momentos em que sentia o aumento da fraqueza muscular. O médico assistente aventou a possibilidade de miastenia grave como hipótese diagnóstica.

Com base nessas informações, julgue os itens seguintes.

Os anticorpos antirreceptores de acetilcolina e antimúsculo liso são exames que podem auxiliar na confirmação diagnóstica dessa paciente.
 

Provas

Questão presente nas seguintes provas
1854961 Ano: 2009
Disciplina: Medicina
Banca: CESPE / CEBRASPE
Orgão: SES-SE
Provas:

Um rapaz de 16 anos de idade foi ao consultório de seu médico e queixou-se de que desde os 12 anos vivenciava crises de dor abdominal e episódios de curta duração em que sentia cheiro desagradável — muitas vezes parecendo borracha queimada. No último mês, começou a apresentar cefaleia holocraniana junto com os eventos citados. Não usava analgésicos, pois a dor sempre passava em pouco tempo. O problema era que os episódios estavam cada vez mais frequentes. A genitora informou que o menor ainda urinava na cama à noite cerca de duas vezes por mês, e que ela achava que era por nervosismo. Ela negou haver casos de convulsão na família, mas informou que o pai tinha sintomas iguais aos do paciente, além de desmaios.

Com referência a esse quadro clínico, julgue os itens a seguir.

Exames radiológicos para avaliar doenças nos seios paranasais são desnecessários nesse caso.
 

Provas

Questão presente nas seguintes provas
1854960 Ano: 2009
Disciplina: Medicina
Banca: CESPE / CEBRASPE
Orgão: SES-SE
Provas:

Um rapaz de 16 anos de idade foi ao consultório de seu médico e queixou-se de que desde os 12 anos vivenciava crises de dor abdominal e episódios de curta duração em que sentia cheiro desagradável — muitas vezes parecendo borracha queimada. No último mês, começou a apresentar cefaleia holocraniana junto com os eventos citados. Não usava analgésicos, pois a dor sempre passava em pouco tempo. O problema era que os episódios estavam cada vez mais frequentes. A genitora informou que o menor ainda urinava na cama à noite cerca de duas vezes por mês, e que ela achava que era por nervosismo. Ela negou haver casos de convulsão na família, mas informou que o pai tinha sintomas iguais aos do paciente, além de desmaios.

Com referência a esse quadro clínico, julgue os itens a seguir.

Carbamazepina é uma opção terapêutica para o paciente em questão.
 

Provas

Questão presente nas seguintes provas