Foram encontradas 60 questões.
A via simpática pupilodilatadora tem origem no hipotálamo e apresenta fibras descendentes que atravessam todo o tronco encefálico até a coluna intermédio-lateral da medula espinhal torácica. Fibras pré-ganglionares simpáticas deixam a medula espinhal e fazem sinapse no gânglio cervical superior. Fibras pós-ganglionares simpáticas, através do nervo nasociliar, inervam os músculos pupilodilatadores.
ANDRADE, AF de et al. Coma e outros estados de consciência. Rev Med, São Paulo, 2007 jul-set.,86(3):123-31, com adaptações.
Na avaliação pupilar do paciente neurológico com lesões nas regiões tectais dorsais, o enfermeiro identificará
Provas
De acordo com o Ministério da Saúde, em seu Protocolo clínico e diretrizes terapêuticas para o manejo do paciente adulto portador de Hiv/Aids, uma manifestação moderada da imunodeficiência é a
Provas
Os inibidores da monoamino-oxidases (IMAO) são medicamentos para o tratamento de episódios depressivos e de ansiedade, cujo efeito terapêutico depende da inibição de uma enzima chamada monoamino-oxidase. A inibição dessa enzima faz com que os pacientes que tomam esses medicamentos precisem ter alguns cuidados com a alimentação e a ingestão de outros medicamentos. No que se refere a esses cuidados, assinale a alternativa correta.
Provas
Com relação à avaliação do peso em recém-nascidos (RNs), assinale a alternativa correta.
Provas
Com relação aos hipoglicemiantes orais, as gliptinas (inibidores da DPP-IV) são fármacos que atuam no controle da glicemia por aumento do nível de GLP-1, com elevação da síntese e secreção da insulina, além da redução de glucagon. Nesse sentido, o enfermeiro que acompanha pacientes em uso desses medicamentos deve orientá-los quanto a alguns efeitos adversos, tais como
Provas
“A discussão bioética surge para contribuir na procura por respostas equilibradas frente a conflitos atuais e aos das próximas décadas”, tal como se pode pensar em problemas anteriores vivenciados ao longo da história. Assim, sistematizam-se dois grandes campos de atuação: o da bioética das situações emergentes (temas surgidos mais recentemente) e o da bioética das situações persistentes (persistem teimosamente desde a antiguidade).
GARRAFA, V. Bioética. In: GIOVANELLA, L. Políticas e Sistema de Saúde no Brasil. Rio de Janeiro: Ed. Fiocruz, 2008, cap. 24, p. 853-869), com adaptações.
Ao se sistematizar os dois campos de atuação mencionados no texto, é correto caracterizar como situação(ões) persistente(s).
Provas
Texto 3 para responder às questões de 6 a 8.
O que é e o que não é cuidado paliativo
1 Cuidado paliativo é um tratamento multiprofissional,
uma abordagem de cuidados que visa à melhoria da
qualidade de vida de pessoas com doenças graves. Disso
4 resulta que não existem pacientes paliativos, assim como
não existem pacientes diálises, ou mesmo pacientes
quimioterapias. Todos os pacientes com doenças graves
7 podem se beneficiar dessa abordagem de cuidados, estejam
ou não lidando com o fim de suas vidas. Cuidado paliativo
não é um diagnóstico médico, nem uma fase da doença, mas
10 uma abordagem de cuidados, e, portanto, um tratamento, o
que inclui uma série de medidas específicas, um conjunto de
dimensões a serem precisamente avaliadas e um conjunto de
13 ações a serem implementadas, por vezes bastante
complexas, se considerarmos algumas condições igualmente
complexas. Disso tudo resulta que uma pessoa pode ter uma
16 doença absolutamente avançada, incurável, gravíssima, e
ainda assim não estar recebendo nenhum cuidado paliativo.
Ele pode ser oferecido, inclusive, no curso do tratamento
19 curativo de uma doença potencialmente curável, e auxiliar o
paciente e sua família a terem seus sofrimentos
administrados e cuidados por uma equipe multiprofissional,
22 mesmo que o desfecho dessa história seja a cura. Isso não
significa retirar tratamentos médicos, nem negar às pessoas
o melhor que a medicina e as demais ciências da saúde
25 podem lhe oferecer, mas ajudar a pensar em tratamentos
hierarquizados e proporcionais entre os benefícios a serem
buscados e os malefícios a serem evitados em cada fase da
28 doença. Ele não deve, então, ser entendido como algo para
as pessoas ricas, mas um direito humano, já que todos
devem ter acesso a alívio para os sofrimentos gerados por
31 graves condições de saúde. Cuidado paliativo significa
busca para uma vida digna e de melhor qualidade, mesmo
33 diante do fim da vida.
LUZ, Rodrigo (psicólogo e diretor da Fundação Elizabeth Kubbler Ross).
Capítulo Brasil. Disponível em: < https://www.casadocuidar.org.br/cuidados-paliativos/ >. Acesso em: 10 jan. 2021, com adaptações.
O pronome “lhe” (linha 25) faz referência a
Provas
Texto 2 para responder às questões 4 e 5.
Programa Saúde da Família
1 O Programa Saúde da Família (PSF) é uma estratégia
desenvolvida pelo Ministério da Saúde com o objetivo de
oferecer a Atenção Básica/primária de forma mais resolutiva
4 e humanizada, sendo fundamental à consolidação do
Sistema Único de Saúde, por meio de uma reflexão mais
ampla a respeito do processo saúde/doença, que tem a
7 família como foco principal, relacionando-a com o ambiente
e os demais fatores que a cercam. Esse programa possui
ações para a promoção e proteção da saúde, como também
10 para a prevenção, recuperação e reabilitação de doenças e
agravos, incluindo o diagnóstico e o tratamento.
Vale ressaltar que essa estratégia é uma reorientação
13 do modelo assistencial, formada por equipes
multiprofissionais nas unidades básicas de saúde. Tais
equipes acompanham um certo número de pessoas em uma
16 área geográfica definida e são compostas minimamente por:
médico, enfermeiro, auxiliar de enfermagem, agentes
comunitários. Outros profissionais, como dentistas,
19 assistentes sociais e psicólogos, podem ser incorporados
conforme a demanda populacional, avaliando a situação de
saúde, seus determinantes e as possibilidades de cada local.
22 O PSF facilita a compreensão do paciente no contexto
em que vive. As visitas domiciliares, por exemplo,
possibilitam a identificação dos componentes de cada
25 núcleo familiar e dos casos de morbidade, como também a
análise das condições higiênico-sanitárias e ambientais em
que o indivíduo se encontra inserido. Isso permite um
28 vínculo entre as equipes e as famílias, com a transferência
de informações acerca dos serviços disponíveis, dos
30 cadastramentos e dos locais de atuação.
Disponível em: < https://meuartigo.brasilescola.uol.com.br/saude/programasaude-familia.htm>. Acesso em: 9 jan. 2021, com adaptações.
A oração “em que o indivíduo se encontra inserido” (linhas 26 e 27), relativamente à oração que a antecede,
Provas

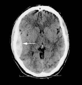
Disponível em: < http://files.bvs.br >. Acesso em: 10 jan. 2021.
Os hematomas peridurais, conforme observado na imagem, são relativamente incomuns, presentes apenas em 1% dos casos de traumatismo cranioencefálico (TCE), e apenas 10% apresentam rebaixamento do nível de consciência. Quanto aos hematomas peridurais, assinale a alternativa correta.
Provas
A doença meningocócica (DM) resulta da infecção pela bactéria Neisseria meningitidis (meningococo) e está associada a altas taxas de letalidade e sequelas de longo prazo entre os sobreviventes, incluindo complicações neurológicas, perda de membros, perda auditiva e paralisia. As manifestações mais comuns de DM são a meningite e a septicemia; entretanto, outras formas podem surgir, como artrite séptica, pericardite e pneumonia. Com base na cápsula polissacarídica, o meningococo é classificado em 12 sorogrupos, sendo que a maioria dos casos de DM são causados pelos sorogrupos A, B, C, W, X e Y.
Disponível em: < http://portalarquivos.saude.gov.br >. Acesso em: 10 jan. 2021, com adaptações.
Com base em estatísticas e estudos epidemiológicos, o Ministério da Saúde introduziu, no calendário vacinal, a vacina meningocócica ACWY (conjugadas). A respeito dessa vacina, assinale a alternativa correta.
Provas
Caderno Container