Foram encontradas 50 questões.
A síndrome da imobilidade geralmente acontece após um período de hospitalização e se agrava quando o idoso volta para casa. Com relação ao diagnóstico dessa síndrome, assinale a alternativa correta.
Provas
Uma mulher de 81 anos de idade, hipertensa, diabética, dislipidêmica e com disfunção temporomandibular, em uso de enalapril, hidroclorotiazida, metformina, atorvastatina e, recentemente, duloxetina, por queixa de choro fácil e pouca vontade de realizar as atividades, com o alto cuidado piorando aos poucos, foi ao serviço de emergência com quadro de importante dificuldade de abertura da boca há dois dias, associado à forte dor local, sem outros achados associados e negando ativamente outros sintomas. Ao exame físico: lúcida; pouco colaborativa com o exame físico; abertura da boca limitada, com crepitação de região de ATM; FC de 67 bpm; FR de 17 ipm, tax. 36,1⁰; e MV presente, bilateralmente, sem ruídos adventícios.

Com base nesse caso hipotético, assinale a alternativa que apresenta a conduta mais adequada no momento.
Provas
Uma das escalas mais utilizadas para se avaliar o desempenho nas atividades da vida diária é a escala de independência em atividades da vida diária ou escala de Katz, que foi desenvolvida para a avaliação dos resultados dos tratamentos em idosos e para predizer o prognóstico nos doentes crônicos, assim como seu grau de independência e autonomia. A respeito desse assunto, assinale a alternativa correta.
Provas
Náuseas e vômitos são sintomas frequentes em pacientes sob cuidados paliativos. É importante que se compreenda os aspectos da fisiologia da náusea para se poder identificar o melhor tratamento, com base no entendimento acerca das áreas do sistema nervoso central e do trato gastrintestinal que ativam o centro do vômito. Acerca da fisiopatologia e do tratamento das náuseas e dos vômitos, assinale a alternativa incorreta.
Provas
Nos pacientes com doenças degenerativas, a disfagia implica a necessidade de algumas mudanças, relacionadas às estratégias para a manutenção do ganho calórico e à modificação ou restrição de determinados alimentos (geralmente relacionada à consistência e à via de administração). Sendo assim, assinale a alternativa que apresenta uma proposta que não é adequada em um contexto de disfagia.
Provas
Atualmente, os tratamentos imunossupressores tem se tornado uma tendência no manejo de diversas condições clínicas, porém, antes da realização desses tratamentos, é necessário ficar atento aos seus riscos, sendo um dos principais o risco de estrongiloidíase disseminada. Usualmente, as infecções causadas por esse parasita são crônicas e assintomáticas, podendo persistir por décadas sem serem diagnosticadas. Porém, em indivíduos imunodeprimidos, essa infecção pode evoluir para quadros mais graves, como hiperinfecção e(ou) disseminação, considerados como as formas que causam maior índice de mortalidade e cuja estratégia de prevenção é identificar e tratar pacientes infectados e de “alto risco” antes de se iniciar imunossupressores. Considerando essas informações, assinale a alternativa que apresenta a droga de escolha para o tratamento de estrongiloidíase.
Provas
Um homem de 62 anos de idade, com história de ingesta de destilado (duas doses por semana) há dois anos, refere, em consulta, perda relativa de pilificação, edema de membros, dispneia progressiva e aumento de volume abdominal. Ao exame físico: lúcido; orientado; FC de 98 bpm; FR de 17 ipm; PA de 110 x 60 mmHg; bulhas rítmicas normofonéticas em dois tempos, com sopro sistólico com maior intensidade na borda inferior esquerda do esterno e presença de turgência jugular importante a 45⁰; abdômen levemente ascítico, sem sinais de peritonite; e edema ¾+ em membros inferiores. Encaminhado para realizar paracentese diagnóstica, apresentou pequeno volume de líquido, com albumina sérica de 4,8 g/dL (N: 3,5-4,7 g/dL), proteína total sérica de 6,8 g/dL (N: 6-8 g/dL), albumina do líquido ascítico de 3,5 g/dL e proteína total do líquido ascítico em 3,2 g/dL (N: até 2,5 g/dL).
Com base nesse caso hipotético, assinale a alternativa que apresenta a etiologia de ascite mais compatível com esses valores.
Provas
Um homem de 44 anos de idade, com síndrome dispéptica, foi submetido, ambulatorialmente, à endoscopia digestiva alta, cujo resultado foi H. pylori positivo. Sabe-se que os pacientes com dispepsia associada ao H. pylori devem receber tratamento de erradicação do H. pylori caso apresentem alergia à amoxicilina.
Com base nesse caso hipotético, assinale a alternativa que apresenta o regime que deverá ser utilizado.
Provas
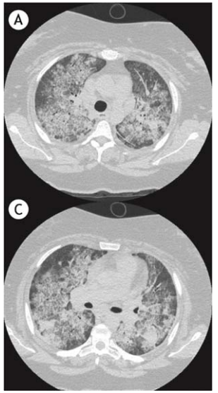
Um homem de 44 anos de idade, portador de IC há dez anos, em uso regular de furosemida (40 mg por dia), espironolactona (25 mg por dia), losartana (50 mg por dia) e amiodarona (400 mg por dia), em razão de episódio de taquicardia ventricular sustentada há três anos, ao exame físico, mostrava-se em estado geral regular, com tosse não produtiva, dispneia e ausência de febre, FR de 18 irpm, sat. de O2 de 97% em ar ambiente, FC de 54 bpm e PA de 130 x 90 mmHg, bilateralmente. Foi iniciado um tratamento para insuficiência cardíaca descompensada e introduziu-se ceftriaxone para a infecção pulmonar. Não houve melhora com essas condutas. Realizou-se um estudo tomográfico (mostrado a seguir) e uma biópsia transbrônquica, que mostrou pneumonia intersticial crônica não específica, com moderado infiltrado inflamatório mononuclear no septo alveolar e abundante número de macrófagos nos espaços alveolares.

Com base nesse caso hipotético, assinale a alternativa que apresenta o diagnóstico mais provável.
Provas
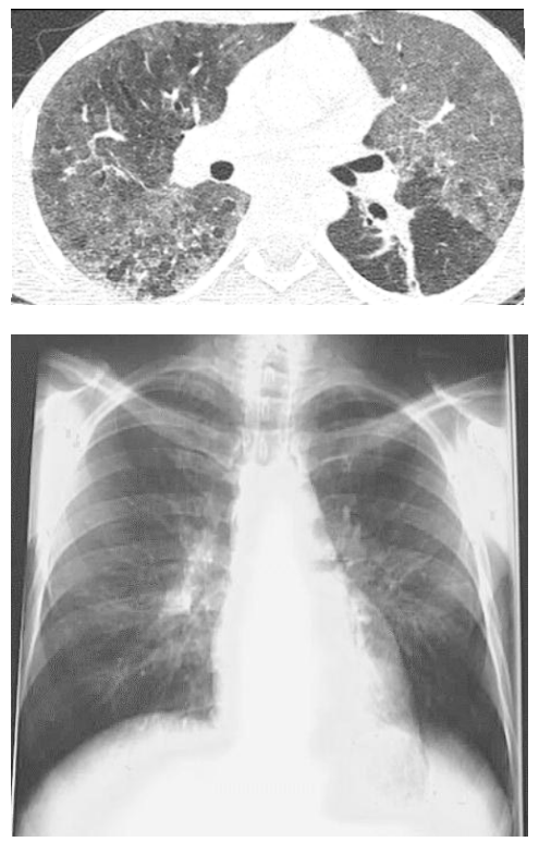
Um homem de 29 anos de idade, a princípio sem antecedentes, procurou o serviço de pneumologia com relato de dispneia progressiva, tosse seca, sensação de febre ao final da tarde e dor para deglutir. Relatou ter feito sexo desprotegido mais de uma vez no passado. Ao exame físico: lúcido e orientado em tempo e espaço; afebril; acianótico; anictérico; hidratado; taquipneico; FR de 30 irpm; FC de 60 bpm; PA de 112 × 80 mmHg; sat. de O₂ de 92% em ar ambiente; e oroscopia com placas esbranquiçadas e base eritematosa em cavidade oral. Exames complementares: Hb 13 g/dL; 15.900 leucócitos, com 7% de linfócitos e 70% de neutrófilos, com desvio à esquerda; 264.000 plaquetas; escarro com BAAR negativo; e DHL 900 U/L. Gasometria: pH 7,44; PO2 62 mmHg; PCO2 22 mmHg; e BIC 26.

Com base nesse caso hipotético, assinale a alternativa que apresenta o manejo no momento.
Provas
Caderno Container