Foram encontradas 386 questões.
Uma mulher de 23 anos de idade foi levada por seus familiares ao setor de emergência, por rebaixamento do nível de consciência. Ela fora encontrada em sua casa, pelos familiares, desacordada e ao lado de embalagens vazias de comprimidos, em especial, os que sua avó, em cuidados paliativos, utiliza para controle da dor. Tem antecedentes de uso de drogas ilícitas e etilismo. Exame físico: letárgica; abertura ocular ao estímulo doloroso; balbucia palavras quando estimulada; e com miose bilateral e bradipneia.
Com base nesse caso hipotético, assinale a alternativa que apresenta a melhor escolha de antídoto para a paciente.
Provas
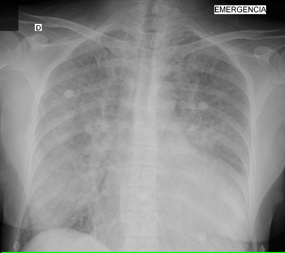
Uma mulher de sessenta anos de idade deu entrada em serviço de emergência com relato de dor torácica retroesternal leve, sem irradiações, com sensação subjetiva de dispneia associada. Previamente com relato de miocardite viral por covid e hipertensão arterial sistêmica, em uso irregular de medicações, ao exame físico da admissão, estava lúcida e orientada, com pressão arterial de 150 x 100 mmHg, bilateralmente, frequência cardíaca de 124 bpm, frequência respiratória de 28 irpm e saturação de 91% em ar ambiente, evoluindo, durante a avaliação, com piora da dispneia, progressivamente, assim como com a ausculta evidenciando estertores até o ápice pulmonar. Realizou, também, a radiografia seguinte.

Com base nesse caso hipotético, assinale a alternativa que apresenta a conduta que deverá ser adotada no momento.
Provas
Um jovem de 22 anos de idade iniciou tratamento quimioterápico para controle de um linfoma de Burkitt, tendo diminuição importante da ingesta de líquidos e alimentos. Cinco dias após a última infusão, começou a apresentar diminuição do volume urinário de maneira importante e um quadro convulsivo, que motivou a busca pelo serviço de emergência. Na avaliação laboratorial, apresentava: sódio 142 mmol/L (VR 135-145 mmol/L); potássio 6,2 mEq/L (VR 3,5-5,5 mmol/L); cálcio corrigido 6,1 mg/dL (VR 8,6-10,2 mg/dL); CPK 967 U/L (VR 22,0-334,0 U/L); ureia 55 mg/dL (VR 16-40 mg/dL); e creatinina 4 mg/dL (VR 0,6-1,2 mg/dL).
Com base nos resultados dos exames laboratoriais descritos nesse caso hipotético, assinale a alternativa que mais bem descreve a causa do acometimento renal do paciente.
Provas
Uma mulher de 21 anos de idade, previamente com diabetes mellitus, foi levada ao pronto-atendimento por familiares, por confusão mental, associada à dor abdominal, há dois dias, após briga importante com namorado. Ao exame físico: torporosa; desidratada ¾+; e taquidispneica, em respiração acidótica (Kussmaul). Exames laboratoriais: glicemia capilar (dextro) 500 mg/dL; gasometria arterial – pH 7,13; HCO3 5 mEq/L; Na 131 mEq/L; K 2,6 mEq/L; e hemograma com leucocitose. Iniciou-se hidratação endovenosa com soro fisiológico conforme o protocolo de cetoacidose, com 20 mL/kg na 1.a hora.
Com base nesse caso hipotético, a conduta subsequente será
Provas
Uma mulher de 72 anos de idade deu entrada no hospital, levada por familiares, que relataram que ela apresentara “fraqueza muscular súbita em braço e em perna esquerdos” há 30 minutos. É previamente hipertensa, porém bem controlada, e estava em investigação para uma arritmia cardíaca (sic). Ao exame físico, foi constatada uma hemiplegia dimidiada e um desvio de rima labial e do olhar conjugado. Realizou uma TC de crânio sem contraste, que descartou eventos hemorrágicos.
Com base nesse caso hipotético e considerando que a paciente tem critérios de elegibilidade para a terapia trombolítica, é uma contraindicação à trombólise no acidente vascular encefálico o(a)
Provas
Um homem de setenta anos de idade, previamente hipertenso e diabético, deu entrada em uma unidade de baixa complexidade, há duas horas, com dor torácica e dor em opressão retroesternal, irradiando para membro superior esquerdo, sem outros sintomas associados e sem fatores de melhora ou piora. Realizou um eletrocardiograma inicial em menos de 10 minutos da admissão, que evidenciou supradesnivelamento de segmento ST em derivações V1-V6 (abaixo). Feito o diagnóstico, observou-se que o tempo necessário para se transferir o paciente para o serviço especializado de hemodinâmica mais próximo era de 90 minutos.

Com base nesse caso hipotético, a melhor conduta será
Provas
Uma mulher de 32 anos de idade, sem antecedentes pessoais prévios, referindo somente irmão de mesmos pais com “doença no sangue”, deu entrada em setor de emergência, referindo dor em hemitórax direito, ventilatório-dependente, de início súbito há três horas da admissão, sem fatores de melhora e associada à leve dispneia. Ao exame físico: lúcida e orientada; pressão arterial bilateral de 140 x 86 mmHg; FC de 104 bpm; sat. de O2 de 90% em ar ambiente; FR de 26; peso igual a 60 kg; e altura igual a 1,60 m. ECG apresentando taquicardia sinusal e radiografia de tórax sem alterações. Realizou outros exames, que evidenciaram: hemoglobina 10,8 g/dL; leucócitos 6.800/mm³; plaquetas 410.000/mm³; ureia 23 mg/dL; creatinina 0,9 mg/dL; sódio 141 mEq/L; K 4,9 mEq/L; e clearance de creatinina 93 mL/min.
Com base nesse caso hipotético, assinale a alternativa que apresenta a melhor opção de tratamento inicial do tromboembolismo pulmonar para a paciente.
Provas
Em um caso de parada cardiorrespiratória, em um setor de emergência, após realizada a intubação orotraqueal, nota-se, no monitor do leito, o valor de pressão arterial diastólica de 25 mmHg e a capnometria (ETCO2) de 17 mmHg.
Com base nesse caso hipotético, assinale a alternativa que apresenta a orientação que deverá ser dada à equipe no momento.
Provas
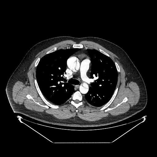
Um homem idoso apresenta-se em serviço de emergência com relato de dor torácica retroesternal de forte intensidade (10 de 10 em escala numérica) há cerca de uma hora, em rasgante, com irradiação para o dorso. Previamente hipertenso, com uso irregular de medicações, ao exame físico da admissão, estava lúcido e orientado, com fácies de dor, sudoreico, com pressão arterial de MSD 168 x 96 mmHg e MSE 130 x 50 mmHg, frequência cardíaca de 124 bpm, frequência respiratória de 20 rpm, temperatura de 36,7 ⁰C e saturação de 98%. Foram realizadas medidas de estabilização e exames complementares (mostrados a seguir).


Com base nesse caso hipotético, assinale a alternativa que apresenta a conduta a ser adotada após os resultados dos últimos exames realizados.
Provas
Uma mulher de 59 anos de idade, com mielofibrose primária, DIPSS, intermediário 2, realizou exames, que revelaram: presença de JAK 2 V617F; baço palpável a 14 cm da reborda costal; HB 9,2 g/dL; leucócitos 18.720/mm3 , com 2% de blastos em sangue periférico; e plaquetas 751.000 /mm3 , sem outras patologias conhecidas. Nenhuma anormalidade foi identificada em cariótipo.
Com base nesse caso hipotético, assinale a alternativa que apresenta a conduta terapêutica mais indicada.
Provas
Caderno Container