Magna Concursos

Foram encontradas 50 questões.

3986439 Ano: 2025
Disciplina: Medicina
Banca: VUNESP
Orgão: SES-SP
Mulher de 74 anos apresenta quadro de cefaleia e febre há quatro dias. Ela tem diabetes tipo 2 e hipertensão e está em uso de metformina e anlodipino. Não há viagem recente. O histórico é positivo para erupção cutânea com penicilina. Ao exame físico: sonolenta, confusa; temperatura: 38,2 ºC; pressão arterial: 142 x 92 mmHg; frequência cardíaca: 98 bpm; há rigidez de nuca; fundo de olho sem papiledema; não há déficit neurológico focal. O líquor evidencia pleocitose com predomínio de polimorfonucleares.
Além da ceftriaxona, o agente antibacteriano que deve ser administrado é
 

Provas

Questão presente nas seguintes provas
3986438 Ano: 2025
Disciplina: Medicina
Banca: VUNESP
Orgão: SES-SP
Mulher de 48 anos, na pós-menopausa, é avaliada em consulta de retorno por diabetes mellitus tipo 2, hipertensão, obesidade e dislipidemia (HDL baixo; LDL e triglicérides elevados). Relata estar sobrecarregada com a pouca melhora do controle glicêmico, mas se sente bem. Ela segue a dieta mediterrânea e faz exercícios desde a última consulta; perdeu 6% do peso corporal, mas agora atingiu um platô. O tratamento atual inclui: metformina, dapagliflozina, enalapril, anlodipino, indapamida e rosuvastatina. A hemoglobina A1c recente é 7,9%, abaixo dos 8,4% anteriores à perda de peso. Exame físico: pressão arterial: 128 x 72 mmHg; IMC: 34,2 kg/m2, circunferência abdominal: 97 cm. Exames séricos: hemograma e coagulograma normais; albumina: 4,4 g/dL; aspartato aminotransferase: 42 U/L; alanina aminotransferase: 36 U/L; creatinina: 0,8 mg/dL; eletrólitos normais.
Para essa paciente, a conduta correta é
 

Provas

Questão presente nas seguintes provas
3986437 Ano: 2025
Disciplina: Medicina
Banca: VUNESP
Orgão: SES-SP
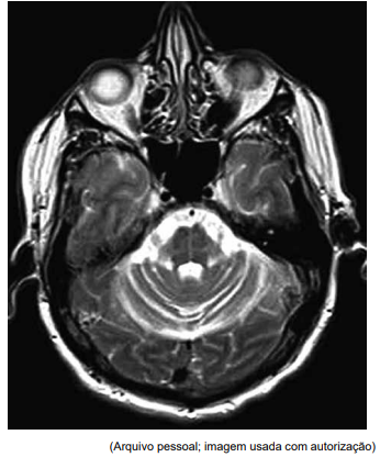
Homem de 56 anos apresenta quadro de tremor de repouso bilateral nos membros superiores há seis meses. Ao exame físico, apresentava tremor de repouso bilateral de frequência moderada, ligeiramente mais acentuado no membro superior direito do que no esquerdo, e rigidez em roda dentada bilateral, que parecia ser igual em ambos os membros; bradicinesia significativa que afeta ambos os lados do corpo. Foi-lhe prescrita levodopa, que teve pouco efeito sobre os sintomas. No acompanhamento, um ano depois, ele relata instabilidade significativa na marcha. Nesse momento, o exame mostra dismetria bilateral, e sua marcha é ampla e ligeiramente cambaleante. Uma ressonância magnética (imagem axial ponderada em T2) é realizada e mostrada a seguir:
Enunciado 4918966-1
Qual é o diagnóstico mais provável para esse paciente?
 

Provas

Questão presente nas seguintes provas
3986436 Ano: 2025
Disciplina: Medicina
Banca: VUNESP
Orgão: SES-SP
Paciente de 59 anos, com trombocitemia essencial JAK2- -positiva, é reavaliado em consulta de retorno. O histórico é negativo para evento tromboembólico. Ele não toma medicamentos e não tem outros problemas médicos. Hemograma atual: contagem de plaquetas: 1.350.000/mm3; leucograma e hemoglobina: normais.
Constitui a próxima conduta correta:
 

Provas

Questão presente nas seguintes provas
3986435 Ano: 2025
Disciplina: Medicina
Banca: VUNESP
Orgão: SES-SP
Homem de 65 anos, com hepatite B crônica e cirrose, é avaliado no consultório. Ele não está em tratamento para hepatite B. A ultrassonografia abdominal recente não mostra nenhuma lesão suspeita no fígado. Exames séricos: aspartato aminotransferase: 45 U/L; alanina aminotransferase: 34 U/L; razão normalizada internacional: 1,3; bilirrubina total: 1 mg/dL. Perfil sorológico da hepatite B: HBeAg: negativo; anti-HBe: positivo; anti-HBs: negativo; HBsAg: positivo. DNA do vírus da hepatite B sérico: 3.000 UI/mL.
Nesse momento, a conduta de escolha é
 

Provas

Questão presente nas seguintes provas
3986434 Ano: 2025
Disciplina: Medicina
Banca: VUNESP
Orgão: SES-SP
Em relação à síndrome de Sjögren (SS), assinale a alternativa correta.
 

Provas

Questão presente nas seguintes provas
3986433 Ano: 2025
Disciplina: Medicina
Banca: VUNESP
Orgão: SES-SP
Mulher de 24 anos apresenta quadro de dor e edema no braço esquerdo há cerca de um dia. O histórico é relevante para uso frequente de drogas ilícitas. Ao exame físico, nota-se eritema na fossa antecubital esquerda e na parte superior do braço, com dor significativa à palpação. Tomografia do braço esquerdo: há gás observado em planos fasciais sugestivo de infecção necrotizante de tecidos moles.
Além do desbridamento cirúrgico de emergência, qual é o regime antibiótico parenteral de escolha?
 

Provas

Questão presente nas seguintes provas
3986432 Ano: 2025
Disciplina: Medicina
Banca: VUNESP
Orgão: SES-SP

Homem de 76 anos com DPOC é atendido em consulta de rotina. Ele é ex-fumante há quarenta anos e usa terapia inalatória combinada de tiotrópio e olodaterol. Relata piora progressiva da dispneia e aumento do volume de escarro nos últimos seis meses, além de sudorese noturna intermitente e mal-estar geral. Ao exame físico: SatO2 : 94% em ar ambiente; pulmonar com murmúrio vesicular reduzido difusamente. A espirometria mostra (% do previsto): VEF1: 48%; capacidade vital forçada: 81%. Não há achados significativos nos exames de sangue de rotina. Uma de três amostras de escarro coletadas em dias separados é positiva para o complexo Mycobacterium avium. A tomografia de tórax é mostrada a seguir:Homem de 76 anos com DPOC é atendido em consulta de rotina. Ele é ex-fumante há quarenta anos e usa terapia inalatória combinada de tiotrópio e olodaterol. Relata piora progressiva da dispneia e aumento do volume de escarro nos últimos seis meses, além de sudorese noturna intermitente e mal-estar geral. Ao exame físico: SatO2: 94% em ar ambiente; pulmonar com murmúrio vesicular reduzido difusamente. A espirometria mostra (% do previsto): VEF1: 48%; capacidade vital forçada: 81%. Não há achados significativos nos exames de sangue de rotina. Uma de três amostras de escarro coletadas em dias separados é positiva para o complexo Mycobacterium avium. A tomografia de tórax é mostrada a seguir:

Enunciado 4918958-1

Considerando a principal hipótese diagnóstica, o próximo passo mais apropriado no manejo desse paciente é

 

Provas

Questão presente nas seguintes provas
3986431 Ano: 2025
Disciplina: Medicina
Banca: VUNESP
Orgão: SES-SP
Mulher de 70 anos é avaliada devido a exames de sangue anormais. Os antecedentes são notáveis para hipertensão arterial, doença cardíaca isquêmica, doença renal crônica estágio 3 e úlcera péptica prévia. Ela está tomando ramipril, furosemida, suplementos de carbonato de cálcio e vitamina D. Ela nega sintoma, exceto dor abdominal ocasional e dispepsia frequente. Ao exame físico, ela está euvolêmica e a pressão arterial é de 110 x 80 mmHg. Exames séricos: cálcio ajustado: 12,1 mg/dL (normal: 8,5 a 10,5); fosfato: 2,7 mg/dL (normal: 2,3 a 4,6); bicarbonato: 37 mEq/L (normal: 22 a 26); proteína total: 6,0 g/dL; hormônio da paratireoide: baixo; 25-hidroxicolecalciferol: 50 ng/mL (normal: 20 a 48).
Constitui a explicação mais provável para os achados laboratoriais descritos:
 

Provas

Questão presente nas seguintes provas
3986430 Ano: 2025
Disciplina: Medicina
Banca: VUNESP
Orgão: SES-SP
Homem de 72 anos apresenta sangramento prolongado no local da punção arterial após cateterismo cardíaco. A heparina intravenosa é descontinuada. 24 horas depois, ele apresenta um grande hematoma na virilha, e o local da punção continua a apresentar sangramento, apesar da compressão. Ele não tem histórico de sangramento anormal. O perfil metabólico básico é normal. Outros resultados laboratoriais mostram: hematócrito: 27% (na admissão: 38%); plaquetas: 210.000/mm3; razão normalizada internacional: 1,2; tempo de tromboplastina parcial ativada: 85 segundos.
A próxima conduta que deve ajudar a determinar a causa do sangramento nesse paciente é solicitar
 

Provas

Questão presente nas seguintes provas