Foram encontradas 50 questões.
Paciente do sexo masculino, de 64 anos, com choque
séptico secundário a pneumonia, encontra-se em ventilação mecânica há 48 horas, sob uso de noradrenalina
0,08 µg/kg/min, PAM de 68 mmHg e débito urinário de
0,6 mL/kg/h. Evolui com glicemia capilar estável, sem
acidose, e já apresenta trânsito intestinal presente à
ausculta.
De acordo com as Diretrizes da Sociedade Brasileira de Nutrição Parenteral e Enteral (BRASPEN) de 2024, qual deve ser a conduta nutricional inicial apropriada para esse paciente crítico?
De acordo com as Diretrizes da Sociedade Brasileira de Nutrição Parenteral e Enteral (BRASPEN) de 2024, qual deve ser a conduta nutricional inicial apropriada para esse paciente crítico?
Provas
Questão presente nas seguintes provas
De acordo com as recomendações da AMIB e os critérios
de Berlim para SDRA, é indicada a ventilação mecânica
protetora isolada (sem necessidade imediata de manobras de recrutamento ou estratégias avançadas) como
tratamento inicial da síndrome do desconforto respiratório agudo (SDRA) quando houver SDRA
Provas
Questão presente nas seguintes provas
Paciente do sexo masculino, de 58 anos, previamente
hígido, é admitido na UTI com cefaleia holocraniana há
doze horas, seguida de instalação súbita de disartria
e fraqueza à direita. Relata ausência de trauma, febre
ou perda de consciência. Tem histórico de hipertensão
arterial controlada e dislipidemia mista. Não faz uso
de anticoagulantes ou drogas ilícitas. Ao exame físico:
PA: 152 × 88 mmHg; FC: 84 bpm; SatO2: 97%; temp: 36,8 °C.
Escala de NIHSS: 5 (disartria, hemiparesia leve direita).
Sem sopros carotídeos, com bulhas rítmicas, sem sinais
de insuficiência cardíaca. Exames complementares: TC
de crânio sem contraste: normal; angioTC: sem oclusão
de grandes vasos; RM com difusão: isquemia aguda em
topografia cortical do lobo parietal esquerdo; ecocardiograma transtorácico e doppler de carótidas: sem alterações significativas; holter 24 horas: ritmo sinusal, sem
fibrilação atrial.
Diante do quadro e dos achados iniciais, é correto afirmar que o diagnóstico sindrômico de acidente vascular cerebral (AVC) associado é o de AVC
Diante do quadro e dos achados iniciais, é correto afirmar que o diagnóstico sindrômico de acidente vascular cerebral (AVC) associado é o de AVC
Provas
Questão presente nas seguintes provas
Analise o caso clínico a seguir para responder à questão:
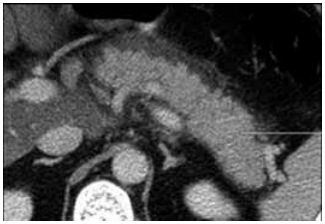
Paciente do sexo masculino, de 52 anos, IMC igual a
41 kg/m2, portador de diabetes mellitus tipo 2, em uso de
semaglutida 2,4 mg/semana há três meses e rosuvastatina
20 mg/dia, é admitido na UTI com dor epigástrica intensa
irradiada para dorso, taquipneia e oligúria há dezoito horas.
Relata náuseas e vômitos persistentes, sem etilismo recente
há 32 horas. Ao exame físico: PA: 88 × 54 mmHg; FC: 124 bpm;
FR: 32 irpm; SpO2
91% em O2
nasal: 3 L/min; T: 38,7 °C.
Abdome distendido, doloroso difusamente, sem defesa
peritoneal franca. Exames laboratoriais iniciais: leucócitos:
22.300/mm3; amilase: 1.040 U/L; lipase: 1.350 U/L; creatinina: 2,2 mg/dL (prévia: 0,9 mg/dL); lactato: 3,8 mmol/L;
PCR: 42 mg/dL; triglicerídeos: 210 mg/dL; AST/ALT: discretamente elevadas; pH: 7,28; HCO3–: 18; PaO2: 62 mmHg;
FiO2: 0,4. TC de abdome com contraste mostrado a seguir:

(Arquivo pessoal; imagem usada com autorização)
Provas
Questão presente nas seguintes provas
Analise o caso clínico a seguir para responder à questão:
Paciente do sexo masculino, de 52 anos, IMC igual a
41 kg/m2, portador de diabetes mellitus tipo 2, em uso de
semaglutida 2,4 mg/semana há três meses e rosuvastatina
20 mg/dia, é admitido na UTI com dor epigástrica intensa
irradiada para dorso, taquipneia e oligúria há dezoito horas.
Relata náuseas e vômitos persistentes, sem etilismo recente
há 32 horas. Ao exame físico: PA: 88 × 54 mmHg; FC: 124 bpm;
FR: 32 irpm; SpO2
91% em O2
nasal: 3 L/min; T: 38,7 °C.
Abdome distendido, doloroso difusamente, sem defesa
peritoneal franca. Exames laboratoriais iniciais: leucócitos:
22.300/mm3; amilase: 1.040 U/L; lipase: 1.350 U/L; creatinina: 2,2 mg/dL (prévia: 0,9 mg/dL); lactato: 3,8 mmol/L;
PCR: 42 mg/dL; triglicerídeos: 210 mg/dL; AST/ALT: discretamente elevadas; pH: 7,28; HCO3–: 18; PaO2: 62 mmHg;
FiO2: 0,4. TC de abdome com contraste mostrado a seguir:

(Arquivo pessoal; imagem usada com autorização)
Provas
Questão presente nas seguintes provas
Paciente do sexo feminino, de 76 anos, portadora de hipertensão arterial e diabetes mellitus do tipo 2, é admitida
na UTI por dispneia intensa e edema agudo de pulmão. O
ecocardiograma à beira do leito mostra fração de ejeção
do ventrículo esquerdo (FEVE) de 60%, hipertrofia concêntrica e átrio esquerdo dilatado. A monitorização invasiva com cateter de artéria pulmonar evidencia:
• pressão capilar pulmonar de oclusão (PCP): 26 mmHg;
• pressão arterial pulmonar média (PAPm): 35 mmHg;
• índice cardíaco (IC): 2,2 L/min/m2;
• pressão venosa central (PVC): 12 mmHg;
• resistência vascular sistêmica (RVS): 1.700 dinas/seg/cm5.
Apesar da congestão, a paciente mantém lactato sérico de 1,6 mmol/L e saturação venosa central (ScvO2) de 70%.
Com base na fisiopatologia micro-hemodinâmica da ICFEP descompensada, assinale a alternativa correta.
• pressão capilar pulmonar de oclusão (PCP): 26 mmHg;
• pressão arterial pulmonar média (PAPm): 35 mmHg;
• índice cardíaco (IC): 2,2 L/min/m2;
• pressão venosa central (PVC): 12 mmHg;
• resistência vascular sistêmica (RVS): 1.700 dinas/seg/cm5.
Apesar da congestão, a paciente mantém lactato sérico de 1,6 mmol/L e saturação venosa central (ScvO2) de 70%.
Com base na fisiopatologia micro-hemodinâmica da ICFEP descompensada, assinale a alternativa correta.
Provas
Questão presente nas seguintes provas
Analise o caso clínico a seguir para responder à questão:
Paciente de 72 anos, do sexo masculino, ex-tabagista de
40 anos-maço, encontra-se internado na UTI por piora aguda da dispneia em contexto de infecção respiratória. Relata
que, há cerca de cinco anos, apresenta dispneia progressiva,
tosse crônica produtiva com escarro esbranquiçado e limitação funcional importante, com acentuada piora no último ano.
Teve duas exacerbações no último ano, uma delas tratada
com corticoide oral, sem necessidade de internação prévia.
Na UTI, o exame físico revela expiração prolongada, roncos
difusos e leve cianose labial. A espirometria prévia confirma
DPOC obstrutiva grave e mostra: VEF1: 40% do previsto;
VEF1/CVF: < 0,7. Escalas de avaliação antes da internação:
mMRC: 3, CAT: 18.
Qual é a intervenção inicial recomendada na UTI para manejo da exacerbação aguda desse paciente?
Provas
Questão presente nas seguintes provas
Analise o caso clínico a seguir para responder à questão:
Paciente de 72 anos, do sexo masculino, ex-tabagista de
40 anos-maço, encontra-se internado na UTI por piora aguda da dispneia em contexto de infecção respiratória. Relata
que, há cerca de cinco anos, apresenta dispneia progressiva,
tosse crônica produtiva com escarro esbranquiçado e limitação funcional importante, com acentuada piora no último ano.
Teve duas exacerbações no último ano, uma delas tratada
com corticoide oral, sem necessidade de internação prévia.
Na UTI, o exame físico revela expiração prolongada, roncos
difusos e leve cianose labial. A espirometria prévia confirma
DPOC obstrutiva grave e mostra: VEF1: 40% do previsto;
VEF1/CVF: < 0,7. Escalas de avaliação antes da internação:
mMRC: 3, CAT: 18.
Provas
Questão presente nas seguintes provas
Durante a internação em UTI, o reconhecimento de
padrões cognitivos e motores prévios é essencial para o
diagnóstico diferencial de delirium.
Considerando uma doença neurodegenerativa que cursa com flutuações cognitivas marcantes, alucinações visuais recorrentes e parkinsonismo, assinale a alternativa que descreve corretamente suas bases fisiopatológicas e manifestações clínicas.
Considerando uma doença neurodegenerativa que cursa com flutuações cognitivas marcantes, alucinações visuais recorrentes e parkinsonismo, assinale a alternativa que descreve corretamente suas bases fisiopatológicas e manifestações clínicas.
Provas
Questão presente nas seguintes provas
Analise o caso clínico a seguir para responder à questão:
Paciente do sexo feminino, de 62 anos, portadora de diabetes mellitus do tipo 2 há quinze anos, com histórico de hipertensão arterial e dislipidemia, comparece ao pronto-socorro
com fraqueza progressiva, náuseas e sonolência nas últimas
24 horas. Refere poliúria intensa há dias e ingestão hídrica
aumentada. Em uso domiciliar de metformina 2.000 mg/dia;
dapagliflozina 10 mg/dia; linagliptina 5 mg/dia; losartana
100 mg/dia e rosuvastatina 20 mg/dia. Ao exame: sonolenta,
desidratada, PA: 92 × 60 mmHg, FC: 122 bpm, FR: 28 irpm,
SpO2: 96% em ar ambiente. Ritmo cardíaco regular, sopro sistólico em foco aórtico +/6+, murmúrio vesicular presente com
discreta diminuição em bases pulmonares. Exames complementares: glicemia: 488 mg/dL; pH: 7,12; HCO3–: 10 mEq/L;
lactato: 1,8 mmol/L; Na+: 134 mEq/L; K+: 4,9 mEq/L. Osmolaridade plasmática: 314 mOsm/kg. Cetonas séricas: fortemente
positivas.
Provas
Questão presente nas seguintes provas
Cadernos
Caderno Container