Foram encontradas 2.720 questões.
Mulher, 82 anos, hipertensa e diabética, com quadro demencial em investigação. Internada na enfermaria de Clínica Médica por pneumonia aspirativa. Na admissão hospitalar, foi encaminhada à unidade de terapia intensiva, onde ficou por três dias recebendo oxigênio por máscara. Foi tratada com amoxicilina e clavulanato, apresentando resposta adequada, com todas as culturas negativas, sem necessidade de drogas vasoativas, já em dieta oral adequada. Recebeu alta para a enfermaria, onde se encontra no momento. Ao exame físico: regular estado geral, lúcida e orientada, eupneica em ar ambiente, sem alterações no exame cardiopulmonar ou abdominal. Exames laboratoriais atuais: Hemoglobina 13,1 g/dL; Leucócitos 7.300/mm³ (diferencial normal); Plaquetas 178.000/mm³; Creatinina 1,45 mg/dL (Creatinina basal 1,3); Ureia 78 mg/dL; INR 1,1. Você é informado pela equipe de farmácia do hospital que a paciente não está recebendo profilaxia para úlcera gástrica de estresse, desde que foi admitida na unidade de terapia intensiva. Diante do enunciado, assinale a alternativa correta.
Provas
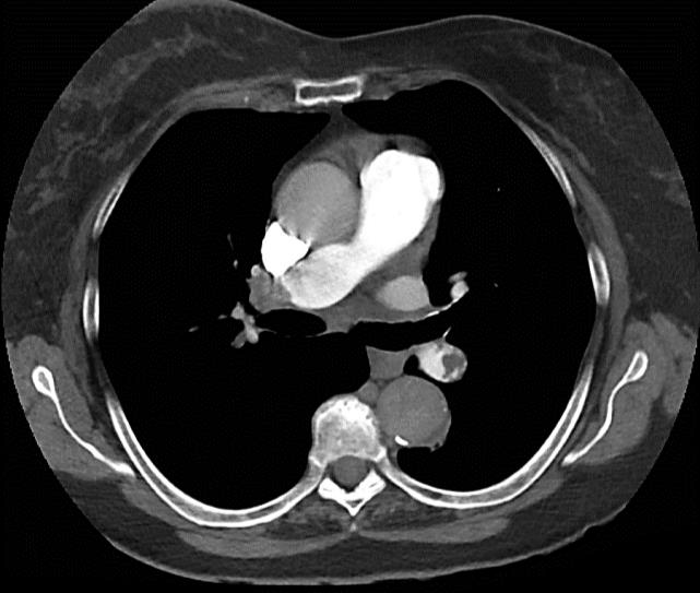
Mulher, 40 anos, em anticoagulação ambulatorial por trombose venosa profunda em membro inferior esquerdo com rivaroxabana 20mg uma vez ao dia, há um mês. Possui antecedentes de hipertensão arterial bem controlada com anlodipino 10 mg uma vez ao dia, obesidade e tabagismo (carga tabágica 20 maços/ano). Procura pronto socorro devido queixa de discreto desconforto respiratório há cerca de um dia. Optado por realizar angiotomografia de tórax (Figura 5). Nega quaisquer outras queixas e o exame físico não demonstra alterações, exceto edema estável do membro inferior esquerdo. Quando questionada a fundo, relata ser mãe de um filho saudável, mas que já apresentou dois abortos prévios. Além disso, conta ser esta a segunda trombose venosa, mas a última ocorreu na perna oposta há dois anos, quando usou varfarina por três meses e recebeu alta.

---------------------------------------------------------------Figura 5. Angiotomografia de tórax
Assinale a alternativa que apresenta qual a melhor opção de anticoagulação para esta paciente.
Provas
Homem, 45 anos, é admitido em uma enfermaria clínica após um mês de internação em unidade de terapia intensiva, motivada por acidente vascular encefálico. Há quatro dias, foi submetido a traqueostomia percutânea. À admissão na enfermaria, encontrava-se em bom estado geral, respondendo a comandos e mantendo saturação periférica de 96%, com traqueostomia em macronebulização com ar comprimido a 10 L/minuto. Cinco horas após a admissão, o paciente evolui com dessaturação, taquicardia, sudorese e hipertensão. Ao exame físico, notava-se cânula de traqueostomia totalmente exteriorizada.
Assinale a alternativa que apresenta qual a conduta a ser adotada a seguir.
Provas
Mulher, 67 anos, assintomática, hipertensa em uso de enalapril em dose máxima tolerada, recebe diagnóstico de diabetes mellitus após realizar exames com glicemia de jejum de 130 mg/dL e hemoglobina glicada de 8,2%. Nos demais exames laboratoriais, apresentou colesterol total de 275 mg/dL, LDL-colesterol de 195 mg/dL, HDL-colesterol de 40 mg/dL, triglicerídeos de 200 mg/dL, creatinina de 0,8 mg/dL, potássio de 4,0 mEq/L, sódio de 139 mEq/L e relação albumina/creatinina em amostra de urina isolada de 280 mg/g, mantida após repetição do exame. Ao exame físico, índice de massa corporal de 24,8 kg/m², pressão arterial de 130/78 mmHg e exame dos pés sem alterações tróficas, com reflexos e sensibilidades preservados.
Assinale a alternativa que apresenta qual a melhor conduta medicamentosa a ser prescrita neste momento
Provas
Homem, 44 anos, hipertenso, vem para a consulta de rotina com os seguintes resultados de dosagem de TSH e T4 livre realizados em serviço externo: TSH 7,2 μIU/mL e T4 livre de 1,2 ng/dL. Paciente está assintomático e não possui história prévia de tireoidopatia, de irradiação ou cirurgia cervicais. A única medicação em uso é o enalapril. Nega história familiar de tireoidopatia. A conduta a ser tomada neste momento é:
Provas
Mulher, 54 anos, com história prévia de hipotireoidismo, em uso de levotiroxina 75 microgramas ao dia, com bom controle, realizou ultrassonografia de tireoide após solicitação de seu ginecologista. O laudo do exame mostrou dois nódulos:
Nódulo 1: localizado na região central do lobo tireoideano direito, medindo 2,9 x 1,0 x 1,5 cm, com classificação TI-RADS 3;
Nódulo 2: localizado na região central do lobo tireoidiano esquerdo, medindo 1,1 x 0,6 x 0,8 cm, com classificação TI-RADS 4;
A dosagem de TSH realizada há um mês era de 4,10 μIU/mL. Assinale a alternativa que apresenta qual a conduta em relação aos nódulos tireoideanos vistos na ultrassonografia desta paciente.
Provas
Homem, 68 anos, sem comorbidades ou uso de medicações, dá entrada em pronto-socorro após episódio de síncope há oito horas, antecedido por cefaleia intensa, descrita como “a pior da vida”, holocraniana e de início súbito. No momento, refere apenas manutenção da cefaleia, ainda de forte intensidade. Ao exame físico, pressão arterial 116/70 mmHg, frequência cardíaca de 90 batimentos por minuto, escala de coma de Glasgow de 15, pupilas isocóricas e fotorreagentes, sem déficits neurológicos. O paciente realizou tomografia computadorizada de crânio sem contraste, que apresentou resultado normal. Na avaliação do fundo de olho do paciente, estava presente o achado da Figura 3.

---------------------------------------------------------------------------------Figura 3. Fundo de olho
Assinale a alternativa que apresenta qual o próximo exame para diagnóstico do quadro apresentado pelo paciente.
Provas
Mulher, 18 anos, sem comorbidades, apresenta quadro de poliúria, polidipsia e perda de peso não intencional há um mês. Hoje, procurou pronto socorro com quadro de dor abdominal intensa e náuseas. Negava febre, diarreia, vômitos ou outros sintomas. Ao exame físico, encontrava-se orientada, desidratada, com pressão arterial de 90/68 mmHg, frequência cardíaca de 110 batimentos por minuto, frequência respiratória de 26 incursões por minuto, hálito cetônico e tempo de enchimento capilar preservado. Realizada coleta de exame de dextro com o valor de 380 mg/dL.
Assinale a alternativa que apresenta a conduta a ser adotada neste momento.
Provas
Homem, 67 anos, hipertenso e tabagista de 50 maços-ano, procura o ambulatório com queixa de dispneia ao subir ladeiras e tosse seca há dois anos. Nega dispneia paroxística noturna, ortopneia, sudorese, febre ou edema de membros inferiores. Há seis meses, teve um episódio de internação após piora da dispneia e aumento da expectoração e da tosse. Para a consulta, o paciente traz exame de espirometria realizado recentemente, com o laudo de distúrbio ventilatório obstrutivo sem resposta ao broncodilatador e com capacidade vital forçada pós-broncodilatador inferior a 0,70.
Neste momento, assinale a alternativa que apresenta qual o tratamento medicamentoso de manutenção a ser prescrito para o paciente.
Provas
Para a confecção de esfregaço e coloração hematológica May-Grunwald-Giemsa devem ser realizados uma sequência de procedimentos e, cuidados devem ser adotados para a garantia de qualidade do procedimento. A respeito dos cuidados que devem ser respeitados adicionalmente, assinale a alternativa incorreta.
Provas
Caderno Container