Foram encontradas 2.720 questões.
Homem, 67 anos, empregado em oficina de auto peças desde os 23 anos procura atendimento no pronto-socorro que trabalha por conta de dispneia. Queixa-se de dispneia aos grandes esforços há três anos com piora gradativa. Há cinco meses notou aumento do volume abdominal, edema vespertino de membros inferiores e ganho de peso (refere que seu peso normal é 57 kg). Há três semanas, dispneia aos pequenos esforços, ortopneia, negando dispneia paroxística noturna. Nega doenças conhecidas e acompanhamento médico regular. A única informação de seu passado digna de nota é pressão arterial de 170/100 mmHg no admissional de sua empresa.
Tabagista desde os 39 anos, consumo aproximado de três cigarros por dia. Consumo de uma garrafa de cerveja aos fins de semana. Nega uso de drogas ilícitas. Está em uso irregular de AAS 100 mg. Ao exame, bom estado geral, pressão arterial 180/100 mmHg, frequência cardíaca 99 batimentos por minuto, peso 80 kg, índice de massa corpórea 33 kg/m2 e saturação de oxigênio 94%. Murmúrio vesicular reduzido em bases, estertor crepitante bibasal e sibilos esparsos. Ritmo cardíaco regular, em três tempos (B4), bulhas hipofonéticas, sem sopros. Turgência jugular patológica e refluxo hepatojugular presentes.
Tempo de enchimento capilar menor que três segundos. Abdome globoso, indolor, macicez móvel de decúbito, sinal do piparote positivo. Edema de membros inferiores 3/4+, sem empastamento de panturrilhas. Você já solicitou exames laboratoriais, eletrocardiograma e uma radiografia de tórax.
Assinale a alternativa com a conduta e justificativa mais adequadas neste momento.
Provas
Utilize o enunciado a seguir para responder às questões 62 e 63.
Homem, 24 anos, morador de área livre, é trazido pelo SAMU à sala de emergência com rebaixamento de nível de consciência e febre de 38,4°C. O colega que solicitou ajuda do SAMU refere ter visto o paciente tendo abalos em via pública, motivando o chamado; ele nega traumatismo cranioencefálico recente. Na sua avaliação, o paciente se encontra normotenso, taquicárdico, saturando 91% em ar ambiente, com abertura ocular ao chamado verbal, resposta verbal com palavras incompreensíveis e obedecendo a comandos simples. Há rigidez de nuca, porém Kernig e Brudzinski negativos. Você recebe a informação de que o exame de tomografia demorará ao menos uma hora para ser realizado.
Após as medidas iniciais, você checa os resultados da punção liquórica, sendo o único resultado disponível, a bacterioscopia, com presença de diplococos gram positivo. Assinale a alternativa mais adequada frente a esse achado.
Provas
Utilize o enunciado a seguir para responder às questões 62 e 63.
Homem, 24 anos, morador de área livre, é trazido pelo SAMU à sala de emergência com rebaixamento de nível de consciência e febre de 38,4°C. O colega que solicitou ajuda do SAMU refere ter visto o paciente tendo abalos em via pública, motivando o chamado; ele nega traumatismo cranioencefálico recente. Na sua avaliação, o paciente se encontra normotenso, taquicárdico, saturando 91% em ar ambiente, com abertura ocular ao chamado verbal, resposta verbal com palavras incompreensíveis e obedecendo a comandos simples. Há rigidez de nuca, porém Kernig e Brudzinski negativos. Você recebe a informação de que o exame de tomografia demorará ao menos uma hora para ser realizado.
A respeito do quadro clínico do paciente acima, assinale a alternativa mais adequada.
Provas
Homem, 48 anos, internado em enfermaria de Clínica Médica para investigação e compensação de quadro confusional agudo. Trata-se de paciente com antecedente de cirrose hepática de etiologia alcoólica Child-Pugh 11C e MELD-Na 24. Esta é a terceira internação nos últimos seis meses pelo mesmo motivo. Encontra-se abstêmio há um ano. A acompanhante relata que o paciente vem evacuando três vezes por dia com aspecto pastoso e sem sinais de melena, além de urina clara em volume habitual. Nega hematêmese ou outras queixas atuais, somente discreta redução da ingesta alimentar e hídrica desde que ficou confuso há três dias. Nega outros sangramentos ou infecções prévias. Ao exame físico: regular estado geral, descorado 2/4+, desidratado 1/4+, ictérico 2/4+ e afebril. Sem alterações em sistemas cardíaco e pulmonar.
Abdome ascítico com macicez móvel de decúbito e semi-círculo de Skoda presente até dois centímetros acima da cicatriz umbilical. Presença de circulação colateral em abdome. Sonolento, porém desperta ao chamado, flapping ausente, sem déficits focais e restante do exame neurológico sem alterações.
Atualmente, usa lactulona 40 mL três vezes ao dia, propranolol 20 mg três vezes ao dia e neomicina 500 mg quatro vezes por dia. Exames da admissão:
Hemoglobina 12,1 g/dL; Leucócitos 5.200/mm3 (diferencial normal); plaquetas 80.000/mm3; Ureia 92 mg/dL; Creatinina 2,1 mg/dL; Sódio 133 mEq/L; Potássio 3,2 mEq/L; Cálcio iônico 4,92 mg/dL; INR 1,6; Albumina 2,6 g/dL; Bilirrubinas totais 2,3 mg/dL (Direta 1,8 mg/dL / Indireta 0,5 mg/dL); ALT 23 U/L; AST 52 U/L; Urina tipo 1: sem alterações; Gasometria venosa: pH 7,5 / pCO2 40 mmHg / pO2 30 mmHg / HCO3 28 mmol/L / SatO2 62%. Radiografia de tórax: sem alterações.
Considerando o quadro acima, assinale a alternativa que diz respeito ao tratamento da causa de confusão mental do paciente.
Provas
Homem, 68 anos, hipertenso, diabético e antecedente cirúrgico de troca valvar aórtica por prótese biológica há 10 meses. É internado na enfermaria da Clínica Médica para tratamento de quadro febril e suspeita de pneumonia. Iniciados ceftriaxona e claritromicina empiricamente. Após 72 horas de tratamento, paciente persiste com febre.
Culturas de escarro, de sangue e de urina coletadas na admissão e antes da antibioticoterapia resultaram negativas. Solicitado ecocardiograma transtorácico que demonstrou válvula normofuncionante sem outras alterações, achado este confirmado por um ecocardiograma transesofágico posteriormente. Durante evolução na enfermaria, paciente passou a queixar-se de fraqueza em todo o hemicorpo esquerdo, sendo prontamente encaminhado à tomografia computadorizada de crânio que não demonstrou alterações. Paciente recuperou espontaneamente a força cerca de quatro horas após. Diante da principal suspeita, foi solicitado o exame demonstrado na Figura 8.

--------------Figura 8. Tomografia por emissão de pósitrons do coração
Assinale a alternativa que apresenta o diagnóstico mais provável e qual o esquema antibiótico empírico ideal para este paciente.
Provas
Analise o texto a seguir para responder às questões 58 e 59.
Você recebe em seu consultório para consulta de “check-up”, paciente de 21 anos, sem antecedentes mórbidos relevantes, com exceção de infecções de vias aéreas prévias, típicas da infância, sendo que uma dessas necessitou de internação cerca de 10 dias após. À ausculta cardíaca de ritmo regular, nota-se sopro diastólico em ruflar precedido de estalido. Sem outras alterações ao exame físico. Nega queixas no momento, mas por vezes sente seu coração acelerar sem causa aparente. Eletrocardiograma realizado em consultório revela ritmo sinusal sem outras alterações. Radiografia de tórax sem alterações.
Assinale a alternativa que apresenta qual alternativa melhor representa o próximo passo no manejo desse paciente.
Provas
Analise o texto a seguir para responder às questões 58 e 59.
Você recebe em seu consultório para consulta de “check-up”, paciente de 21 anos, sem antecedentes mórbidos relevantes, com exceção de infecções de vias aéreas prévias, típicas da infância, sendo que uma dessas necessitou de internação cerca de 10 dias após. À ausculta cardíaca de ritmo regular, nota-se sopro diastólico em ruflar precedido de estalido. Sem outras alterações ao exame físico. Nega queixas no momento, mas por vezes sente seu coração acelerar sem causa aparente. Eletrocardiograma realizado em consultório revela ritmo sinusal sem outras alterações. Radiografia de tórax sem alterações.
Assinale a alternativa que apresenta qual a principal hipótese diagnóstica, neste momento, e qual sua etiologia mais prevalente.
Provas
Mulher, 62 anos, em seguimento no ambulatório de Clínica Médica devido hipertensão e fibrilação atrial (CHA₂DS₂-VASc=3 e HAS-BLED=0). Encontra-se em uso de varfarina e traz exame de seguimento com INR (International Normalized Ratio) de 11,0. Refere epistaxe auto-limitada e intermitente (dois episódios por dia) nos últimos dois dias. Nega quaisquer outras queixas. Apresentava controle adequado de INR nas últimas consultas mensais e, quando questionada sobre alterações de hábitos, adesão medicamentosa e uso de outras medicações, relatara tratamento de onicomicose com medicamento oral que não se recorda o nome.
Assinale a alternativa que apresenta qual a melhor conduta diante do caso.
Provas
Mulher, 35 anos, desacompanhada na consulta, hipertensão arterial diagnosticada há dois anos, obesa e sedentária. Apresenta dificuldade no controle pressórico desde o início do acompanhamento. Em vista da dificuldade de controle pressórico, você solicitou novos exames para investigação. No momento, em uso de: losartana 50 mg duas vezes ao dia, clortalidona 25 mg uma vez ao dia, anlodipino 10 mg uma vez ao dia e espironolactona 50 mg uma vez ao dia, introduzida antes da coleta dos exames atuais. Adere bem ao tratamento farmacológico. Ao exame físico, apresenta pressão arterial medida com manguito adequado de 160/110 mmHg em ambos os membros superiores. Ausculta cardíaca e pulmonar sem alterações. Exames complementares da consulta:
Eletrocardiograma: ritmo sinusal, frequência cardíaca de 82 bpm, eixo preservado, sinais de sobrecarga ventricular esquerda e ausência de sinais de isquemia ou distúrbios de condução. Polissonografia: Presença de pausas respiratórias obstrutivas (índice de apneia-hipopneia por hora = 32).
Monitorização Ambulatorial de Pressão Arterial de 24 horas (MAPA): pressão arterial média em 24 horas = 170/100 mmHg; Descenso noturno da pressão arterial em relação ao período de vigília < 10%.
Relação aldosterona / renina = 1,2 (referência < 2,0).
Assinale a alternativa que apresenta a melhor conduta.
Provas
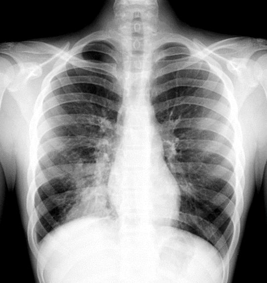
Homem, 27 anos, sem comorbidades prévias conhecidas, iniciou quadro de disfagia alta há dois meses, episódios de febre ocasional não aferida e perda de 4 Kg, a qual relacionou à dificuldade de se alimentar. Conta ainda que nos últimos cinco dias vem sentindo discreta dispneia ao caminhar e dor torácica ventilatório dependente em hemitórax direito. A febre tornou-se mais intensa e diária, atualmente aferida em 38,5 a 39°C, além de tosse produtiva com secreção amarelada e sem hemoptise. Ao exame físico, regular estado geral, presença de estertores crepitantes em base pulmonar direita. Frequência respiratória de 25 incursões por minuto, saturação de oxigênio 95%, frequência cardíaca 98 batimentos por minuto, pressão arterial 110/80 mmHg e perfusão preservada. Oroscopia, abdome, neurológico e de membros inferiores sem alterações dignas de nota. Foram solicitados os exames de investigação descritos abaixo (Figuras 6 e 7):

-----------------------------------------Figura 6. Radiografia de tórax simples póstero anterior

----------------------------------------------Figura 7. Endoscopia digestiva alta
Assinale a alternativa que apresenta qual a melhor conduta neste momento.
Provas
Caderno Container