Foram encontradas 1.195 questões.
Leia o caso a seguir.
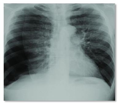
Paciente vítima de politrauma entre carro e moto, no local se levantou, consciente. Após alguns minutos, iniciou quadro de dor torácica, desconforto respiratório, elevação de hemitórax direito, com elevação de cúpula e distensão de veias do pescoço, ipsilateral.

O tratamento correto é:
Provas
Provas
Leia o caso a seguir.
Paciente chega ao consultório com lesão de cárie profunda no dente 46. O cirurgião-dentista realiza o tratamento expectante com cimento de ionômero de vidro com o objetivo de interromper o circuito metabólico proporcionado pelos fluidos bucais às bactérias do tecido cariado, remineralizar parte de dentina descalcificada remanescente e estimular a formação de dentina terciária. Ao retornar no prazo estipulado o paciente apresentou dente assintomático e com vitalidade pulpar, estando apto para a continuidade do tratamento com realização de restauração definitiva.
Qual deve ser o prazo indicado para o retorno acima mencionado?
Provas
Leia o caso a seguir.
Paciente chega ao consultório relatando sensibilidade dentinária na região cervical e que suas restaurações de resina composta se deslocam com facilidade. Ao exame clínico verifica-se também restaurações de amálgama salientes, ausência de placa bacteriana, bem como a perda dos contornos de dente hígidos.
Este paciente apresenta dentes com características clínicas de
Provas
Provas
Leia o caso a seguir:
Paciente adulto com todos os dentes posteriores apresenta lesão de cárie ocluso/distal no primeiro pré-molar inferior. Devido à hiperplasia gengival para o interior da lesão cariosa, sem comprometimento do tecido ósseo e do espaço biológico, ou seja, com suficiente distância entre a extensão cervical da lesão e a crista óssea alveolar.
Qual a conduta a ser adotada, antes do procedimento restaurador, neste caso?
Provas
Provas
Provas
Provas
Provas
Caderno Container