Foram encontradas 1.265 questões.
A asma é a doença crônica mais comumente associada a morbidade e mortalidade significativas, havendo cerca de 241 milhões de pessoas acometidas globalmente. Nas crianças, a prevalência é maior em meninos (razão homem-mulher de 2:1), com uma tendência para maior prevalência em mulheres na vida adulta. Em alguns pacientes, a asma melhora quando o paciente chega à vida adulta, podendo reaparecer mais tarde.
Dentre as opções de tratamento medicamentoso, deve-se considerar a terapia anti-IgE, que atua contra a porção Fc da molécula de IgE impedindo sua ligação aos mastócitos e basófilos, e causa redução na produção de IgE, por meio de mecanismos de retroalimentação.
A alternativa que representa medicação do tipo Anti-IgE é:
Provas
Existem várias causas comuns de doença hepática crônica, que pode evoluir para cirrose. Nesses distúrbios, as manifestações da cirrose são semelhantes, com algumas pequenas variações em relação àquelas observadas em pacientes com outras causas de cirrose.
Dentre as causas das doenças hepáticas crônicas, está a doença relacionada com mutação do gene HFE, com aumento do ferro sérico, da ferritina e da saturação de transferrina, causando fibrose hepática por depósito de ferro.
Essa doença é conhecida como:
Provas
A morbidade e a mortalidade por obstrução intestinal aguda têm diminuído nas últimas décadas. Contudo, o diagnóstico ainda é difícil e os tipos de complicações que o paciente sofre não mudaram muito.
A maior incidência nas obstruções agudas do intestino delgado e cólon se dá em casos de:
Provas
Paciente masculino, 58 anos, etilista crônico, vem apresentando nos últimos meses quadro de diarreia volumosa com fezes claras e odor intenso, com presença de gotas de gordura. Queixa-se também de perda de peso significativa no período. Apresentou exames realizados recentemente, que evidenciaram osteopenia e hipovitaminose D.
O tratamento adequado para o paciente é:
Provas
O lúpus eritematoso sistêmico (LES) é uma doença autoimune multissistêmica caracterizada pela produção de autoanticorpos e formação e deposição de imunocomplexos, com consequente inflamação em diversos órgãos, o que pode resultar em dano tecidual e disfunção de órgãos. As manifestações clínicas são polimórficas e a evolução costuma ser crônica, com períodos de exacerbação e remissão.
A alternativa que identifica um critério diagnóstico para LES é:
Provas
O tratamento de pacientes adultos com Síndrome Nefrótica (SN) é amplo e inclui o tratamento do edema nefrótico, o controle da pressão arterial e da dislipidemia, a profilaxia de infecções e a prevenção dos fenômenos tromboembólicos, por meio de medidas medicamentosas e não medicamentosas.
O diurético de primeira escolha para o tratamento do edema nefrótico é:
Provas
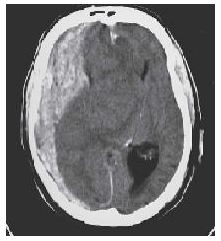
Paciente de 70 anos, diabético, hipertenso e portador de fibrilação atrial, apresentou síncope com queda no banheiro em casa há 2 horas e deu entrada no pronto-socorro queixando-se de dor na cabeça. Estava confuso, com Glasgow 12, PA 100/70 mmHg, FC 90 bpm, SPO2 96% e glicemia capilar 183 mg/dl. Evoluiu nas horas seguintes com rebaixamento do nível de consciência e necessidade de entubação e suporte hemodinâmico. Após estabilização, realizou TC de crânio sem contraste, com a seguinte imagem:

O diagnóstico para o caso acima é:
Provas
Um fator de risco, com base na população, para morte súbita cardíaca é:
Provas
Paciente é atendido na unidade básica de saúde com queixas de febre, calafrios, cefaleia, náusea, vômitos, dor abdominal e mialgia. Foi tratado com sintomáticos e retornou para novo atendimento após 3 dias com piora do estado geral, confusão mental e sufusão de conjuntivas, apresentando-se anictérico, hipocorado 1+/4+, com hepatomegalia e esplenomegalia, dispneia, dor torácica, congestão pulmonar, tosse e hemoptise.
Exames complementares revelaram: leucocitose com tromocitopenia, aumento da velocidade de hemossedimentação, azotemia, hipopotassemia; radiografia de tórax com padrão alveolar bilateral esparso e áreas de hemorragia pleural.
O provável diagnóstico é:
Provas
Paciente de 16 anos deu entrada em serviço de pronto atendimento municipal com queixas de dor na garganta há 24 horas, febre não aferida, estridor respiratório e prostração.
Ao exame: temperatura 38,3 °C, FC 100 bpm, orofaringe com hiperemia intensa e presença de pseudomembrana tonsilofaringea e edema cervical intenso bilateral com aumento dos linfonodos cervicais anteriores e submandibulares.
O diagnóstico provável para o caso acima é:
Provas
Caderno Container