Foram encontradas 1.265 questões.
Paciente do sexo feminino, de 60 anos, deu entrada no hospital com queixas de palpitações há 45 minutos, vertigem, desconforto torácico, sensação de dispneia e pré-síncope; tem diagnóstico prévio de insuficiência mitral e teve IAM há 4 anos.
Ao exame: Glasgow 15, hemodinamicamente estável, PA 110/75, eupneica, SPO2 96% em ar ambiente.
Feito ECG na sala de emergência, que evidenciou a seguinte imagem na derivação III:

Conforme os dados clínicos e o traçado do ECG, o diagnóstico é:
Provas
Paciente do sexo masculino com 15 anos de idade atendido no pronto-socorro com quadro de hemartrose importante no tornozelo direito após tropeço na calçada de casa. A mãe informa que, desde a infância, sempre apresentou equimoses grandes nos membros após pequenos traumas. Realizados hemograma, com plaquetas normais, e coagulograma, que identificou atividade de coagulação em 30% do normal.
Posteriormente à realização dos exames, a mãe informou histórico familiar de doença genética nos homens da família materna.
De acordo com essas informações, o diagnóstico mais provável para o caso acima é:
Provas
O Código de Ética Médica (CEM) contém as normas que devem ser seguidas pelos médicos no exercício de sua profissão, inclusive nas atividades relativas a ensino, pesquisa e administração de serviços de saúde, bem como em quaisquer outras que utilizem o conhecimento advindo do estudo da medicina.
A fiscalização do cumprimento das normas estabelecidas nesse Código é atribuição dos Conselhos de Medicina, das comissões de ética e dos médicos em geral.
Em relação ao Código de Ética Médica, analise as afirmativas a seguir.
I. É vedado ao médico permitir que sua participação na divulgação de assuntos médicos, em qualquer meio de comunicação de massa, deixe de ter caráter exclusivamente de esclarecimento e educação da sociedade.
II. É vedado ao médico participar de anúncios de empresas comerciais, qualquer que seja sua natureza, valendo-se de sua profissão.
III. É vedado ao médico incluir, em anúncios profissionais de qualquer ordem, seu nome, seu número no Conselho Regional de Medicina, com o estado da Federação no qual foi inscrito, e seu Registro de Qualificação de Especialista (RQE) quando anunciar a especialidade.
Está correto o que se afirma em:
Provas
A triagem é uma ferramenta de decisões sistemática utilizada para classificar as vítimas de acordo com a prioridade de atendimento, dadas as necessidades da vítima, recursos e situação. O objetivo da triagem é fazer o “melhor para a maioria”, em vez de “tudo para todos”. A triagem efetiva é um processo interativo feito em todas as fases dos cuidados às vítimas.
Considere o seguinte caso: cenário de colisão entre ônibus e caminhão em rodovia com múltiplas vítimas politraumatizadas, motoristas do caminhão e do ônibus em óbito no local, múltiplas equipes de SAMU e resgate do Corpo de Bombeiros na cena prestando atendimento. Ao parar no local para auxiliar no atendimento e triagem dos pacientes, um médico inicia a avaliação de paciente adulto jovem, Glasgow 3, fratura de crânio com exposição de massa encefálica, PA inaudível, pulso fino, FC 30, respiração agônica (gasping).
Analisando o caso acima e conforme classificação de triagem de SALT, essa vítima se enquadra na categoria:
Provas
Paciente masculino de 58 anos, diabético tipo I e tabagista, deu entrada no serviço de emergência com quadro de dor subesternal em opressão e dispneia de início há 1 hora, que pioram com esforços, náuseas, 1 episódio de vômito, diaforese, vertigem e sensação de fraqueza.
Ao exame: PA 130/80, pulso rítmico, murmúrio vesicular universalmente audível sem ruídos adventícios, sem dor à palpação abdominal e torácica.
Realizada radiografia de tórax, que não evidenciou alterações, e ECG com o traçado a seguir.

Conforme os dados clínicos e analisando o traçado do ECG, o diagnóstico mais provável é:
Provas
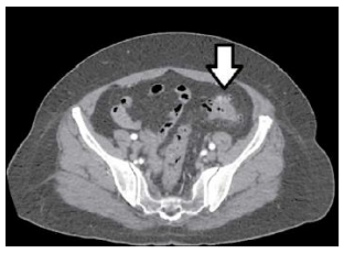
Paciente do sexo feminino, 45 anos, deu entrada no prontosocorro com queixa de dor abdominal baixa de início há 6 horas no hipogastro, com pouca resposta ao uso de analgésico em casa. Ao exame, apresentou-se estável hemodinamicamente, afebril, com dor à palpação no hipogastro e fossa ilíaca E, sem sinais de peritonite, sem massas palpáveis no abdômen. Realizada tomografia computadorizada, que produziu a imagem a seguir.

Com base nos dados apresentados, o diagnóstico para o caso em tela é:
Provas
Lesões térmicas são uma das principais causas de morbidade e mortalidade, mas a adesão aos princípios básicos da reanimação do trauma inicial e a oportuna aplicação de medidas simples de emergência podem ajudar a minimizar seu impacto. Os maiores princípios da abordagem da lesão térmica incluem manter um alto índice de suspeita da presença de comprometimento da via aérea após inalação de fumaça e o consequente edema causado pela queimadura; identificar e abordar as lesões mecânicas associadas; manter a normalidade hemodinâmica com reposição de volume; controlar a temperatura; e remover o doente do ambiente hostil.
A conduta que pertence ao grupo de avaliação e medidas secundárias no doente grande queimado é:
Provas
A anemia é uma complicação frequente e importante da doença renal crônica (DRC), associando-se com aumento de morbidade e mortalidade.
Um critério para diagnóstico de deficiência absoluta de ferro em pacientes com DRC, em tratamento conservador ou em diálise, é:
Provas
Paciente de 16 anos em atendimento pré-hospitalar pela equipe do SAMU após queda de bicicleta ao saltar de rampa de 1 m de altura. Ao exame: Glasgow 15, sentado no chão, queixando-se de dor abdominal com irradiação para o ombro E, abdômen distendido, PA 100x65, hipocorado 1+/4+, FC 110 bpm.
A principal hipótese diagnóstica para o caso é ruptura:
Provas
Paciente de 20 anos é atendida no ambulatório de ginecologia com queixas de corrimento grumoso, prurido e ardência vaginal. Apresenta placas brancas aderidas à parede vaginal, edema, eritema e escoriações/fissuras na parede vulvar.
O agente etiológico mais provável nesse caso é:
Provas
Caderno Container