Foram encontradas 510 questões.
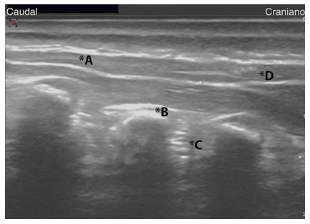
A figura a seguir representa a visão ultrassonográfica do plano do músculo eretor da espinha, na qual há indicação de diferentes pontos, representados pelas letras A, B, C e D.

O ponto correto de administração do anestésico local para realização do bloqueio do plano do eretor da espinha (ESP) está representado, na imagem, pela letra:
Provas
Homem de 40 anos, 150kg e 1,70m (IMC = 51), é submetido à cirurgia bariátrica videolaparoscópica sob anestesia geral venosa total com propofol e remifentanil em infusão alvo controlada, conforme o protocolo de Marsh. O anestesiologista utilizou o peso real do paciente para programação da bomba. A cirurgia teve duração de três horas, entretanto o paciente teve uma recuperação muito prolongada da anestesia. Considerando que essa recuperação é determinada pelos princípios farmacocinéticos, o principal motivo para esse prolongamento é o(a):
Provas
Homem de 70 anos, 60kg e 1,70m, hipertenso e diabético, submetido à anestesia geral venosa total com remifentanil, propofol e rocurônio para implante coclear, foi monitorizado com o índice bispectral (BIS) para avaliação e adequação da profundidade anestésica. Durante a anestesia, apresentou um período com alteração do espectrograma, como mostrado pela seta na imagem a seguir.

O principal diagnóstico para esse episódio é o(a):
Provas
O nervo craniano que possui função exclusivamente motora é o:
Provas
Na realização de uma anestesia venosa, interações medicamentosas interferem na potência de um medicamento, mudando a resposta à administração de uma segunda droga. Essa interação pode ser aditiva, supra-aditiva (sinérgica) ou infra-aditiva (antagonista). O isobolograma é o gráfico estatístico para representar essas interações.

De acordo com o isobolograma exposto, os pontos A e B indicam, respectivamente, uma interação medicamentosa:
Provas
Paciente de 75 anos, diabético e hipertenso compensado, com exames pré-operatórios normais, foi indicado para realizar uma ressecção transuretral de próstata por adenoma de 120g de peso aproximado, medido pela ultrassonografia. Foi realizada raquianestesia hiperbárica. A cirurgia ocorreu com bisturi monopolar e teve glicina como líquido de irrigação. Após uma hora de procedimento, o paciente desenvolveu sinais de síndrome de ressecção transuretral (RTU), além de visão turva. A conduta correta para o caso é:
Provas
Paciente submetido a anestesia para clampeamento de aneurisma cerebral (grau III, Hunt-Hess) sob hipocapnia para redução da pressão intracraniana foi monitorizado por gasometrias arteriais seriadas. Nessas condições, além da necessidade de diminuir o nível de PaCO2(mmHg), para diminuir a carga isquêmica iminente no cérebro, é recomendado:
Provas
A figura a seguir representa a curva da pressão invasiva de um paciente com balão intra-aórtico, em frequência de assistência 1:2.

O momento em que o balão é insuflado com o aumento da pressão diastólica está representado, na figura, pela letra:
Provas
Homem de 54 anos, 68kg e 1,70m, apresentando tumor do lobo superior de pulmão direito, é programado para realização de lobectomia superior direita por via robótica. Anestesia venosa total foi realizada com dexamedetomidina, propofol e rocurônio. Para tal cirurgia, o paciente ficou em decúbito lateral esquerdo em 90º. Para melhorar o campo cirúrgico, insuflação de CO2 foi utilizada extensamente. A cirurgia demorou mais do que o normal, e a anestesia não apresentou qualquer tipo de complicação. O bloqueio neuromuscular foi revertido completamente com sugamadex. Ao término da cirurgia e após extubação, o paciente apresentou muita dificuldade de ventilar, com queda de saturação. A causa mais provável do evento é:
Provas
Homem de 60 anos, 98kg e 1,79m, diabético tipo 2 controlado com metformina, será submetido à prostatectomia robótica. Com a medicação suspensa 24 horas antes da cirurgia, o procedimento foi realizado em decúbito dorsal e cefalodeclive acentuado, com os dois braços ao longo do corpo fixados com uma faixa única ao redor do tórax, sem levar à compressão ou à restrição da ventilação. A cirurgia levou 240 minutos, e o paciente recebeu 200μg de fentanil, propofol em infusão alvo controlada, remifentanil em infusão contínua e rocurônio num total de 120mg, revertido com 200mg de sugamadex. Foram administrados 3.500mL de solução de ringer com lactato. Ao término da cirurgia, acordou sem sinais de bloqueio neuromuscular residual, porém com dificuldade respiratória alta e edema periocular intenso. A causa mais provável do evento é:
Provas
Caderno Container