Foram encontradas 510 questões.
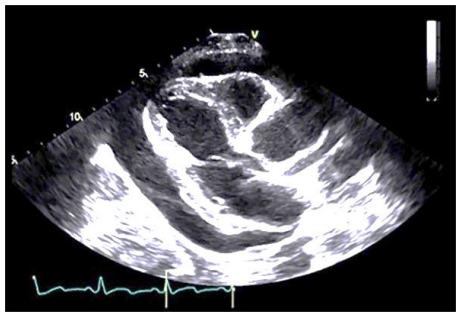
Homem de 78 anos, 75kg e 1,70m, hipertenso e diabético, se apresenta na emergência cardiológica com dor torácica forte, sendo indicada cineangiocoronariografia. Exames laboratoriais evidenciaram ureia de 200mg/dL-1, creatinina de 3,2mg/dL-1, potássio de 5,5mEq/L-1 e hemoglobina de 9,2g/dL-1. O ecocardiograma revela a seguinte imagem:

Durante o transporte para a radioscopia, o paciente evoluiu com baixa da consciência, sudorese e hipotensão arterial. O uso de vasopressores não melhorou a situação cardiovascular. Diante desse quadro, a conduta a ser tomada deve ser:
Provas
Ao realizar anestesia subaracnoidea ou raquianestesia com solução de anestésico local hiperbárico, é correto afirmar que, nessas condições, o anestésico local administrado:
Provas
Em relação à toxicidade cardíaca que ocorre durante a toxicidade sistêmica de anestésico local, é correto afirmar que é:
Provas
Leia o caso a seguir e responda às questões de números 26 e 27.
Paciente do sexo masculino, 38 anos, índice de massa corporal (IMC) de 52, diabético, hipertenso, com história de apneia do sono, será submetido à gastroplastia redutora por videolaparoscopia (by-pass com Y de Roux). Após início do pneumoperitônio, apresentou diminuição da saturação de oxigênio de 97% para 89% e ETCO2 de 32 para 41.
A medida para melhoria desses parâmetros deve ser:
Provas
A desarticulação do tornozelo com remoção dos dois maléolos corresponde ao nível de amputação:
Provas
Existem vários tipos de distúrbios da comunicação que podem afetar o ser humano. Quando há alteração da pronúncia causada por certas lesões neurológicas, essa alteração é denominada:
Provas
A insuficiência dos músculos abdutores do quadril é determinante para o padrão de marcha patológica:
Provas
Em relação à propedêutica ortopédica, para o diagnóstico de lesão do ligamento colateral medial no cotovelo e luxação congênita no quadril, devem ser realizados, respectivamente:
Provas
Quando a amputação de coxa é realizada acima da inserção do músculo ilíaco, como consequência, haverá:
Provas
Sobre o tratamento de ondas de choque na tendinopatia calcária do ombro, é correto afirmar que:
Provas
Caderno Container