Foram encontradas 45 questões.
Homem de 32 anos, sabidamente portador do HIV, em uso profilático de SMZ+TMP, entretanto, sem
controle ambulatorial há mais de dois anos, evolui com quadro súbito de diminuição da força muscular em
membro superior esquerdo. Está muito emagrecido e não sabe dizer sobre sua contagem de leucócitos
ou carga viral. Ao dar entrada na emergência do hospital, nota-se, além de plegia em MSE, discreta
alteração da marcha associada à leve diminuição da força motora também em MIE. No momento, não há
disponibilidade de exames de imagem como ressonância magnética ou tomografia computadorizada.
Em relação a esse quadro, a conduta imediata consiste em
Em relação a esse quadro, a conduta imediata consiste em
Provas
Questão presente nas seguintes provas
Paciente sabidamente com diagnóstico de AIDS, em uso antirretrovirais de forma irregular, com passado
de várias intercorrências da doença, dá entrada na urgência do hospital com quadro confusional agudo,
ataxia e diarréia. Está desnutrido, anêmico, hidratado, afebril. O exame neurológico não evidencia sinais
focais. A tomografia computadorizada não revela lesão expansiva ou formação de edema.
Do ponto de vista da urgência, é CORRETO afirmar que consistem em medidas imediatas a serem adotadas:
Do ponto de vista da urgência, é CORRETO afirmar que consistem em medidas imediatas a serem adotadas:
Provas
Questão presente nas seguintes provas
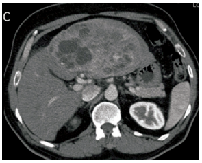
Paciente de 61 anos, sexo feminino, apresenta quadro de dor abdominal incaracterística há cerca de
2 meses, acompanhado de vermelhidão facial eventual, emagrecimento. O exame físico do abdome
parecia normal, com discreto aumento indolor do fígado. Sem sinais clínicos ou laboratoriais de icterícia.
Chega ao hospital já com propedêutica avançada, porém, ainda sem diagnóstico. Entre os exames,
há vários marcadores tumorais (CEA e CA 19-9 normais, cromogranina A elevada, e Ácido 5-Hidroxi
indolacético aumentado), enzimas hepáticas normais e uma tomografia computadorizada que gerou a
imagem abaixo:

Em relação a esse caso, o diagnóstico mais provável é

Em relação a esse caso, o diagnóstico mais provável é
Provas
Questão presente nas seguintes provas
Homem de 64 anos, com história de ser hipertenso de longa data, dislipidêmico, ex-tabagista, afirma
internação prévia por infarto agudo do miocárdio. Chega à emergência do hospital com palpitações e
história de palpitações e tonteiras recentes, porém, no momento, sem tonteiras. Ao exame, está estável
hemodinamicamente, sem dispneia. É realizado um eletrocardiograma, cujo resultado segue abaixo.
Em relação ao caso descrito, é CORRETO afirmar que
Em relação ao caso descrito, é CORRETO afirmar que
Provas
Questão presente nas seguintes provas
Paciente de 38 anos chega a emergência com quadro séptico, rapidamente evoluindo no hospital para
insuficiência respiratória e colocado sob ventilação mecânica. Como vivia sozinho e em zona rural,
não há mais informações, exceto o fato de apresentar febre dias antes da internação. Já deu entrada
no CTI com quadro de insuficiência renal e estava sendo submetido a diálise. No exame físico, havia
creptações mesoteleinspiratórias basais bilateralmente, além de discreto sopro mesotelessistólico
mitral. Foram encontradas as lesões impressas na fotos abaixo (pontos hemorrágicos em conjuntiva e
em extremidades das mãos e pés). Havia ainda leucocitose com desvio para esquerda e VHS elevado.
O Rx mostrava infiltrado intersticial bilateral, com formação de consolidação na base esquerda.

De acordo com o diagnóstico presumível, assinale a afirmativa CORRETA.

De acordo com o diagnóstico presumível, assinale a afirmativa CORRETA.
Provas
Questão presente nas seguintes provas
Mulher de 53 anos, tabagista e hipertensa, apresentou breves episódios de parestesia em seu lado
direito do corpo com melhora expontânea. Meses mais tarde, apresenta subitamente quadro de afasia e
hemiparesia direita, que se resolveu em 48 horas. Angiografia por tomografia computadorizada mostrou
estenose da carótida interna esquerda de 70% próximo à bifurcação das carótidas. Ressonância
magnética confirmou infarto frontotemporal esquerdo, sem transformação hemorrágica ou edema
cerebral.
Em relação a essa paciente, é INCORRETA a seguinte conduta:
Em relação a essa paciente, é INCORRETA a seguinte conduta:
Provas
Questão presente nas seguintes provas
Mulher de 51 anos, com longa história de lombalgia, apresenta quadro súbito de intensa dor lombar à
direita com irradiação para nádegas e para região látero-posterior da coxa, progredindo até face látero-anterior da perna do mesmo lado. Ao exame, não apresenta sinais de anemia, sem emagrecimento
ou relato de febre. Sinal de lasègue positivo, sem alterações dos reflexos aquileu e do joelho, como,
também, sem sinais de alteração sensitiva.
Quanto à abordagem inicial dessa paciente, é CORRETO afirmar que
Quanto à abordagem inicial dessa paciente, é CORRETO afirmar que
Provas
Questão presente nas seguintes provas
É CORRETO afirmar que são causas de hipercalcemia:
Provas
Questão presente nas seguintes provas
Quanto aos quadros confusionais agudos no adulto, é INCORRETO afirmar que
Provas
Questão presente nas seguintes provas
Homem de 54 anos, com dor retroesternal acompanhada de sudorese, confusão mental e dispneia.
Ao exame, extremidades frias, jugulares ingurgitadas, FC 116, PA sistólica 60, FR 32, crepitações
pulmonares até o ápice bilateralmente, sat 78%. Ritmo sinusal ao ECG com supradesnivelamento de
ST de V1 a V5. E colocado em suporte ventilatório.
Em relação ao caso descrito, a conduta terapêutica inicial deve incluir:
Em relação ao caso descrito, a conduta terapêutica inicial deve incluir:
Provas
Questão presente nas seguintes provas
Cadernos
Caderno Container