Foram encontradas 390 questões.
Provas

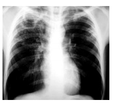
O diagnóstico provável nesse caso é
Provas
Observe a figura a seguir:

Sobre as relações familiares representadas nesse genograma, é correto afirmar que:
Provas
Provas
Considere a figura a seguir que representa a taxa de redução de HbA1c em pacientes diabéticos submetidos ao tratamento adequado.

Com base nessa figura, é correto afirmar que os níveis de HbA1c
Provas
Observe a representação do CAMP TEST na figura a seguir:
O CAMP TEST, empregado em laboratório de microbiologia, utiliza uma cepa de Staphylococcus aureus inoculada em uma única estria em placa de ágar sangue. Perpendicularmente a essa estria são semeadas estrias de outras cepas de bactérias. Assim sendo, o CAMP TEST

Provas
Eletroforese é uma técnica muito empregada em laboratórios clínicos com a finalidade de separar moléculas para caracterização e diagnóstico de inúmeras patologias. Considerando a figura ao lado, observe o resultado obtido na eletroforese de hemoglobina submetida em tampão trisborato-edta (pH 8,0) e em suporte de acetato de celulose.

Considere que os números de 1 a 4 são resultados de diferentes pacientes, P o padrão de peso molecular, sendo A, F, S e A2, anotados como referências de migração. São registrados os pólos positivo e negativo, sendo que o ponto de aplicação do hemolisado está localizado no pólo negativo.
Sobre esses resultados, analise afirmativas a seguir:
I Paciente 1: aumento de hemoglobina A2 caracterizando talassemia alfa maior com deleção de pelo menos dois loci do gene alfa.
II Paciente 2: presença de hemoglobina A e hemoglobina S caracterizando hemoglobinopatia conhecida como anemia falciforme.
III Paciente 3: presença de hemoglobina F e S caracterizando anemia falciforme com aumento de fetal.
IV Paciente 4: presença de hemoglobina A, A2 e aumento de fetal caracterizando PHHF (persistência hereditária de hemoglobina fetal).
A correta interpretação dos resultados está descrita em
Provas
Para responder a questão, considere o caso clínico a seguir.
Mulher, 82 anos, mora com um filho, seu cuidador principal. Procurou UBS com história de tontura e queda há 1 semana. Mas, durante a consulta, relatou estar se sentindo desanimada, chorando por qualquer coisa e, às vezes sem motivo, com diminuição da concentração, irritabilidade, fadiga, insônia, só conseguindo dormir com uso de clonazepam, e perda de prazer nas atividades que fazia antes. Hipertensa há cerca de 30 anos, em tratamento com losartan, 50mg/dia. Nega uso de outros medicamentos além dos citados. Na avaliação geriátrica ampla, apresentava os seguintes resultados: Atividade de vida Diária (Katz) 6/6 Atividades instrumentais de vida diária 5/9. No Mini exame do estado Mental (MEEM) obteve 28 pontos dos 30 e na Escala de Depressão Geriátrica (GDS) 11 dos 15 pontos. Realizou TimedGetUpand Go Test (TUGT) em 30 segundos com circunferência da panturrilha de 30cm. Ausculta cardíaca e pulmonar normais. Abdome sem alteração, ruídos sem alterações, PA: 120 x 70 FC – 80bcpm
Provas
Provas
Provas
Caderno Container