Foram encontradas 250 questões.
A hiperplasia prostatica benigna (HPB) é considerada a
neoplasia interna benigna mais comum do homem adulto.
Apesar de ser uma doença benigna, em casos mais graves,
pode exigir cirúrgico complexo. O Escore internacional de
Sintomas Prostáticos, International Prostate Symptom Score
(IPSS), classifica a intensidade dos sintomas e propõe as
modalidades de tratamentos a serem consideradas. Em
relação ao escore IPSS e ao tratamento da hiperplasia
prostática benigna, é INCORRETO afirmar.
Provas
Questão presente nas seguintes provas
A colonoscopia vem sendo cada vez mais empregada na
triagem do câncer colorretal. Para que haja um rastreio
adequado, em relação ao preparo do cólon para a realização
da colonoscopia, assinale a alternativa CORRETA.
Provas
Questão presente nas seguintes provas
O biofeedback anorretal é uma importante ferramenta para o
tratamento dos distúrbios funcionais do assoalho pélvico.
Portanto, assinale a alternativa CORRETA
Portanto, assinale a alternativa CORRETA
Provas
Questão presente nas seguintes provas
Paciente de 6 meses, feminino, encaminhado ao ambulatório
de pediatria para avaliação de alergia. A mãe menciona, desde
o primeiro mês, ter percebido que a pele do recém-nascido era
áspera e que ele tinha um sono mais difícil, com choro
frequente e muito irritado. Desde os 4 meses, iniciou com
manchas/placas eritematosas em face, na região malar e
fronte, que poupavam a região nasal, e que demoravam para
melhorar. Fez uso de várias medicações, porém persiste com a
lesão em face com frequência, sendo que foi levantada a
possibilidade de alergia à proteína de leite de vaca. A mãe
realizou a suspensão do aleitamento, por orientação do médico
do posto, e iniciou uma fórmula extensamente hidrolisada, e
após fórmula de aminoácidos, sem alteração no quadro. O
corpo, apesar da pele ser áspera, não apresenta lesões
importantes, sendo a face o local que mais apresenta eritema,
porém sem sinais de gravidade no momento.
Sobre essa criança, qual a conduta adequada neste momento:
Sobre essa criança, qual a conduta adequada neste momento:
Provas
Questão presente nas seguintes provas
Uma vez descoberto que o paciente é portador de aneurisma
de aorta toracoabdominal, a correção cirúrgica deve ser
sempre considerada, visto que as lesões são potencialmente
fatais. A complexidade do tratamento desses quadros traz uma
gama de variáveis a serem avaliadas para se definir quando e
como se deve operar esse paciente.
Considerando o diagnóstico e o tratamento dos aneurismas de aorta toracoabdominal, assinale a alternativa INCORRETA.
Considerando o diagnóstico e o tratamento dos aneurismas de aorta toracoabdominal, assinale a alternativa INCORRETA.
Provas
Questão presente nas seguintes provas
Paciente masculino, 70 anos, com queixa de dor abdominal e
diarreia com muco há dois (2) dias; evacua 5-7 vezes ao dia;
associado à febre. Hipertenso e diabético. Está em uso de
ciprofloxacino e clindamicina há cinco (5) dias para infecção em
pé direito. Realizou colonoscopia que evidenciou presença de
pseudomembranas alternando com áreas sadias em todo o
cólon
Com relação ao caso clínico e o diagnóstico mais provável, assinale a alternativa CORRETA.
Com relação ao caso clínico e o diagnóstico mais provável, assinale a alternativa CORRETA.
Provas
Questão presente nas seguintes provas
Durante a gestação, o corpo da mulher sofre muitas
modificações, principalmente causados pelo aumento da
Progesterona e do Estrogênio.
Considerando a ação fisiológica da progesterona sobre a
gestante, são achados compatíveis com o aumento deste
hormônio na gestação, EXCETO:
Provas
Questão presente nas seguintes provas
O megacólon congênito, também conhecido como doença de
Hirschsprung, é um distúrbio do desenvolvimento caracterizado
pela ausência de células ganglionares nos plexos mioentérico
(Auerbach) e submucoso (Meissner).
Sobre a doença de Hirschsprung, assinale a alternativa CORRETA.
Sobre a doença de Hirschsprung, assinale a alternativa CORRETA.
Provas
Questão presente nas seguintes provas
O atendimento médico ao paciente politraumatizado é
sistematizado pelo curso de suporte avançado de vida, no
trauma Advanced Trauma Life Support (ATLS), desenvolvido
pelo Colégio Americano de Cirurgiões, American College of
Surgeons (ACS). O manejo inicial adequado desses pacientes
é fundamental para sobrevida, a curto e longo prazo, e evita
complicações e sequelas iatrogênicas. A decisão de passagem
de cateter urinário, no paciente politraumatizado, é realizada
como medida auxiliar à avaliação primária.
Sobre o exposto, assinale a alternativa CORRETA.
Provas
Questão presente nas seguintes provas
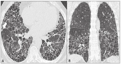
Paciente 56 anos, tabagista (35 anos/maços), refere dispneia e
tosse seca, há 9 meses, de caráter progressivo, associado à
perda ponderal de 3 kg. Relata ser hipertenso, em uso de
captopril 25 mg, 3x ao dia, e fazer tratamento para doença do
refluxo gastroesofágico, há 2 anos. Tem histórico de trabalhar
na lavoura, por 15 anos, e exposição prévia a mofo, em sua
residência. Ao exame físico, apresenta baqueteamento digital
e, na ausculta, tem crepitações em terço médio bilateral.

Disponível em: www.rb.org.br
Diante do quadro clinico e associado às imagens da tomografia de tórax, qual o diagnóstico mais provável?

Disponível em: www.rb.org.br
Diante do quadro clinico e associado às imagens da tomografia de tórax, qual o diagnóstico mais provável?
Provas
Questão presente nas seguintes provas
Cadernos
Caderno Container