Foram encontradas 611 questões.
Homem, 65 anos, é trazido à Emergência pelo SAMU por quadro de afasia, hemianopsia homônima D, hemiplegia e hemi-hipoestesia D há 1 hora. Antecedente pessoais: acidente vascular cerebral (AVC) há quatro anos, sem sequelas. Fibrilação atrial crônica em uso de varfarina. Exame físico: PA 154/112 mmHg, NHISS 21. Exames laboratoriais: glicemia 108 mg/dL; INR 2,8. Tomografia computadorizada de crânio: ausência de sangramentos, escore Aspects 9. A contraindicação para trombólise endovenosa, neste caso é:
Provas
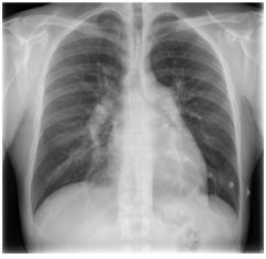
Homem, 42 anos, refere dispneia aos esforços há cinco meses, com sensação de opressão no tórax há uma semana. Nega tosse, expectoração ou chiado. Nega tabagismo. Exame físico: PS 120/79 mmHg; FC 86 bpm; saturação de O2 (ar ambiente) 91%. Ausculta cardíaca: hierfonese e desdobramento de segunda bulha em foco pulmonar. Turgência jugular bilateral. Pulmões limpo. Exames laboratoriais: hemoglobina 12,2 g/dL; leucocitos 8.500/mm³ plaquetas 152.000/mm³. Radiograma de toráx:

O exame indicado para iniciar a investigação da dispneia desta paciente é:
Provas
Mulher, 45 anos, apresenta dor abdominal progressiva há 4 meses e edema de membros inferiores há três semanas. Antecedentes pessoais: tireoidectomia por bócio há 6 anos. Anatomopatológico tireoide: fibrose extensa. Medicamentos em uso: levotiroxina 75mcg/dia. Exame físico: PA 152/99mmHg, FC 92 bpm, edema (2+/4) de membros inferiores. Ausculta cardiopulmonar normal. Exames laboratoriais: creatinina 2,4mg/dL; exame de urina: proteína ausente, hemácias 4/campo, leucócitos 12/campo. Tomografia computadorizada de abdome:
Imagem abaixo.

A hipótese diagnóstica e conduta são:
Provas
Homem, 45 anos, comparece em consulta de rotina, assintomático. Antecedentes pessoais: diabete melito tipo 1 desde os 27 anos, em uso de insulina basal/bolo. Fototerapia em ambos os olhos. Exames laboratoriais: hemoglobina glicada 7,6%; Colesterol total 210mg/dL; HDL52mg/dL; LDL137mg/dL; VLDL21mg/dL; NHDL 128mg/dL; triglicérides 118mg/dL; creatina 1,1mg/dL; relação albumina/creatinina urinária 65 mg/g. Realizada mdeida do ITB= 0,7.
A conduta para reduzir risco cardiovascular é:
Provas
Mulher, 26 anos, adquiriu o hábito de provocar vômitos após as refeições para não engordar. Após os vômitos, tem muita sede e toma água, “porque água não engorda”.
As alterações laboratoriais esperadas são
Provas
Assinale a alternativa que inclui doenças que tem sua carcinogênese associada à infecções crônica pelo vírus Epstein - Barr (EBV).
Provas
Home, 52 anos, diabético tipo 2, 5 anos em tratamento com insulina NPH 20U/dia. Apresenta fraqueza progressiva, com hipoglicemias frequentes e necessidade de redução das doses de insulina há 2 meses. Conta dor abdominal intermitente. Há um mês esposa notou escurecimento da pele. Exame físico: Regular estado geral, PA: 90/60 mmHg, FC= 101 bpm.

Cavidade oral:
Para confirmar o diagnóstico, os exames necessários são:
Provas
Homem, 73 anos, portador de HIV com carga viral indetectável há 15 anos, acompanhado por pré-diabetes e dislipidemia mista. Medicação em uso: HAART, metformina XR 1 g/dia, atorvastatina 40 mg/dia e ciprofibrato 100 mg/dia. Em julho/20 apresentou quadro gripal com febre e tosse seca, com diagnóstico de infecção pelo Sars-Cov 2. Tomografia de tórax apresentava padrão de vidro fosco em menos de 25% dos pulmões. Afebril e com Saturação O2 95 % (ar ambiente), realizou quarentena domiciliar. Duas semanas após a resolução do quadro viral iniciou poliúria, polidipsia e emagreceu 3 kg em uma semana. Procurou novamente atendimento. Exame físico: desidratado, PA 100/60 mmHg, FC 90bpm, glicemia capilar > 500 mg/dL. Gasometria venosa: pH 7,32; HCO3 24mmol/L; glicemia 584 mg/dL, hemoglobina glicada 11,2%
A conduta é:
Provas
Homem, 59 anos, avaliado por dispneia aos pequenos esforços. Antecedentes pessoais: diagnóstico de DPOC há 5 anos, com um episódio de exacerbação no último ano. Ex-tabagista 90 anos-maço. Medicação em uso: formoterol/budesonida (12/400 mcg), tiotrópio e salbutamol de demanda. Exame físico: PA 132/76 mmHg; FC 92 bpm; FR 18 irpm; Saturação de O2 (ar ambiente) 88%. Ausculta pulmonar: murmúrio vesicular reduzido globalmente. Exames laboratoriais: hemoglobina 15,2 g/dL. Gasometria arterial (ar ambiente): pH 7,37; paO2 54 mmHg; paCO2 55 mmHg; HCO3 28mmol/l, SatO2 86%. Espirometria: FEV1 55%, FEV1/CVF 0,65.
A conduta é:
Provas
Na hormonioterapia do câncer de mama, são efeitos colaterais do anastrozol, EXCETO:
Provas
Caderno Container