Foram encontradas 611 questões.
Mulher de 69 anos tabagista é admitida no serviço de emergência com quadro súbito de dor forte torácica após receber a notícia da morte da sua mãe. Ao exame físico apresentava pulmões limpos, pulsos simétricos, FC: 90, pressão arterial: 122 x 78 mmHg e ausculta cardíaca normal. ECG da admissão é representado a seguir:

Realizou ecocardiograma com acinesia anterior e o cateterismo foi negativo para lesões coronárias obstrutivas.
Qual é o diagnóstico mais adequado:
Provas
Ainda sobre o enunciado da questão 25, qual o melhor regime de medicamentos após a alta para evitar quadros semelhantes.
Provas
Mulher, 28 anos, refere palpitações intermitentes acompanhadas ocasionalmente de falta de ar e tonturas. Estes episódios duram de 30 a 60 minutos. Relata que há 6 anos, teve sintomas similares que a fizeram ser levada à sala de emergência, onde foi diagnosticada taquicardia supraventricular. O exame físico é normal. Traz um ecocardiograma recente que não mostrou indício de cardiopatia estrutural, e o seguinte ECG:

Qual a conduta mais apropriada a ser tomada neste caso?
Provas
Mulher, 75 anos, refere dispneia progressiva aos esforços há 6 meses e dispneia paroxística noturna há 1 semana. Nega dor precordial, palpitações ou edema periférico. Refere infarto do miocárdio há 6 anos e diagnóstico de insuficiência cardíaca há 4 anos. Está em uso de carvedilol 50 mg/dia, losartana 100 mg/dia, espironolactona 25 mg/dia, furosemida 120 mg/dia, aspirina 100 mg/dia e rosuvastatina 120 mg/dia há 1 ano. Pressão arterial – 102X64 mmHg, frequência cardíaca – 64 bpm. O exame físico mostra um ictus cordis desviado para a esquerda e um sopro sistólico 2+/6+ em foco mitral. A propedêutica pulmonar é normal, assim como o restante do exame físico. Traz exames recentes: Ecocardiograma com fração de ejeção de 28% com acinesia da parede anterior; creatinina – 1,4 mg/dL; Potássio – 4,8 mEq/L. Qual é a medida mais adequada para esta paciente?
Provas
Mulher, 66 anos, tem diagnóstico de hipertensão arterial, insuficiência cardíaca com fração de ejeção preservada e angina estável. Refere dispneia e dor precordial aos grandes esforços. Está em uso de furosemida 80 mg/dia, anlodipina 10 mg/dia e enalapril 20 mg/dia. Relata história pregressa de alguns episódios de asma leve. No momento, pressão arterial = 132X86 mmHg, frequência cardíaca = 98 bpm. O médico assistente decide iniciar um betabloqueador. Considerando-se a cardiosseletividade, qual a medicação abaixo teria maior chance de desencadear crise asmática?
Provas
Paciente de 33 anos admitido no nosso Pronto socorro com quadro de dor torácica aguda de forte intensidade, sem relação com atividade física, com duração prolongada (> 20 min). Os marcadores de lesões miocárdica coletados na entrada foram positivos. ECG é representado a seguir:

Na sequencia realizou ecocardiograma e Ressonância Magnética Cardíaca que não evidenciou os seguintes achados:
Ecocardiograma transtorácico:
AE: 38 mm, Ao: 30 mm VEd: 50 mm, VEs: 30 mm
FEVE pelo método Simpson: 66%
Alteração segmentar da contratilidade do VE na parede lateral do VE.
Ressonância Magnética (RM) Cardíaca:
Átrios de morfologia preservada
Função sistólica global do VE preservada com FEVE 68%
Dimensões do VE dentro da normalidade
Presença de hipocinesia na parede lateral do VE
Edema acometendo a parede lateral do VE
Realce tardio com padrão epicárdico acometendo a parede lateral do VE
Em relação ao caso é correto afirmar:
Provas
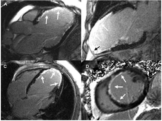
Paciente com 58 anos, hipertenso, diabético e ex-tabagista, transferido de outro serviço para nossa unidade clínica com infarto anterior evoluído com início dos sintomas há mais de 7 dias. Realizou cateterismo cardíaco que evidenciou oclusão proximal da A.DA. Ecocardiograma evidenciou disfunção segmentar acometendo toda parede anterior com afilamento do miocárdio nos segmentos acometidos. A equipe clinica optou por pesquisar viabilidade miocárdica com Ressonância Magnética (RM) Cardíaca, com as imagens representadas a seguir:

É correto afirmar:
Provas
Sobre o transplante cardíaco, indique quais afirmações estão corretas.
I. IC refrataria e VO2 de pico ≤ 50% do previsto em pacientes < 50 anos e mulheres constitui indicação IIb para transplante cardíaco.
II. A cateterizacão da artéria pulmonar ainda é necessário para a inclusão do paciente na fila de transplante cardíaco.
III. A classificacão “Interagency Registry for Mechanically Assisted Circulatory Support” (INTERMACS) classe 1, 2 e 3 configuram situações em que o risco perioperatório para transplante é muito desfavorável.
IV. IC refrataria e VO2 de pico ajustado para massa magra ≤ 19 mL/kg/minuto em pacientes com índice de massa corporal > 30 constitui indicação IIb para transplante cardíaco.
V. Apesar do micofenolato sódico ser o antiproliferativo de escolha, em pacientes chagásicos, azatioprina apresentou menor taxa de reativacão da doenca.
Provas
Caso clínico para questões 3 e 4:
Paciente do sexo masculino de 37 anos, natural e procedente de Campinas, previamente hígido e assintomático, procura atendimento cardiológico após seu irmão mais jovem de 27 anos ter falecido subitamente. Na entrevista inicial o paciente negava uso de substancias ilícitas, álcool ou medicações, informando que nunca havia passado em consulta com cardiologista e que praticava atividade física de moderada intensidade por 40 min 4 x por semana. Relatava também que seu pai foi diagnosticado com “doença no coração” quando era adolescente, tendo implantado cardiodesfibrilador (CDI) há 5 anos em outro serviço. Ao exame físico apresentava ausculta pulmonar e cardíacas normais, pressão arterial no membro superior esquerdo 118/72 mmHg, FC: 65bpm, pulsos simétrico, seu eletrocardiograma apresentava ritmo sinusal, FC: 67bpm, eixo do QRS normal, sobrecargas atrial esquerda e ventricular esquerda. O ecocardiograma bidimensional transtorácico demonstrou os seguintes achados: aumento discreto do átrio esquerdo, função biventricular preservada, massa do ventrículo esquerdo 248g, espessura do septo 31 mm, espessura da parede posterior 12 mm, trabeculação miocárdica normal, valva aórtica sem anormalidades, insuficiência mitral discreta, ausência de obstrução da via de saída do ventrículo esquerdo com arco aórtico sem alterações. Realizou também estudo de monitorização eletrocardiográfica com 3 canais por 24 hs (sistema Holter) que revelou ritmo de base sinusal com raras extra sístoles supra ventricular e ventricular isoladas sem demais amoralidades.
Indique quais são os fatores de risco do paciente em questão para morte súbita.
Provas
Recentemente um estudo fase-3 randomizado e duplo-cego publicado no NEJM mostrou que o tratamento com tafamidis pode alterar favoravelmente o prognóstico de um tipo especifico de amiloidose cardíaca (AC) caracterizada pela mutação no gene da transtirretina (TTR). Sobre a amiloidose cardíaca tipo TTR é incorreto afirmar:
Provas
Caderno Container