Foram encontradas 611 questões.
Mulher, 64 anos, comparece a consulta regular com queixa de cansaço aos pequenos esforços, impedindo-a de autonomia nos cuidados pessoais e na realização de pequenas atividades doméstica, além de presença de petéquias esparsas em membros inferiores (dorso do pé), sem outras manifestações hemorrágicas. Tem diagnóstico de anemia aplástica grave em terapêutica imunossupressora com ciclosporina combinada com imunoglobulina antitimócito. Não tem doador de medula óssea compatível. Refere quadro de reação alérgica leve em transfusão anterior. Exames laboratoriais: hemoglobina 5,6g/dL, plaquetas 22.000/mm3 .
A conduta transfusional adequada é:
Provas
Mulher, 62 anos, comparece à consulta médica com queixa de eritema, lesões vesicadas e muito prurido nos membros inferiores há duas semanas. Nega febre ou queda do estado geral. Antecedentes pessoais: diabetes há 25 anos. Exame físico: peso 85kg, altura 1,55m, edema de membros inferiores 2+/4+, presença de varizes tronculares, eritema difuso, descamação e vesículas agrupadas nos 2/3 distais do membro inferior direito, sem calor local.
A hipótese diagnóstica e a conduta adequada são:
Provas
Mulher, 24 anos, sexo feminino, encaminhada para acompanhamento especializado em ambulatório de HIV. Exames laboratoriais: sorologia HIV (+); linfócitos CD4: 800/mm³. Antecedentes pessoais: Não sabe se recebeu vacinas na infância. Não te, carteira vacinal.
A recomendação é:
Provas
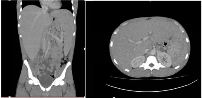
Mulher, 23 anos, procura atendimento referindo febre diária, astenia e perda de 8kg em um mês, além de aumento do volume abdominal com empachamento pós-prandial. Exame físico: Regular estado geral, emagrecida descorada (+2/4); micropoliadenopatia cervical bilateral. Abdômen: fígado palpável a 8cm do RCD, baço a 8cm RCE, doloroso à palpação. Exames laboratoriais: hemoglobina 8,7g/dL; leucócitos 43.320/mm³ (60% eosinófilos), plaquetas 98.00/mm³. Tomografia computadorizada de abdômen: imagem abaixo.
Realizada punção esplênica: presença de estruturas com parede dupla birrefringente e brotamentos.

Considerando a principal hipótese diagnóstica, é correto:
Provas
Mulher, 30 anos, história de infecção urinária de repetição desde a infância, tratada com vários ciclos de antibiótico. Exames laboratoriais: creatinina 0,9 mg/dL; exame de urina: hemácias 4/campo, leucócitos 12/campo, proteína ausente. Urocultura negativa. Investigação metabólica para litíase negativa. Medicação atual: hidroclorotiazida 12,5 mg, amitriptilina 25 mg, nitrofurantoína 100 mg e contraceptivo oral. Ultrassonografia abdominal: rins tópicos, dimensões normais. Urodinâmica: hiperatividade de detrusor
Uretrocistografia (fase miccional):

A conduta é:
Provas
Homem, 30 anos, é trazido a unidade de emergência após trauma cranioencefálico com indicação cirúrgica. Tem antecedente de embolia pulmonar há 5 meses, em uso de dabigatrana, mas familiares informam que o paciente frequentemente se esquece de tomar o medicamento. Exames laboratoriais: hemoglobina 11,6g/dL; leucócitos 6.700/mm3 (diferencial normal); plaquetas 156.000/mm3 ; Tempo de protrombina (INR) 1,3; tempo de tromboplastina total ativada (R) 1,1 e tempo de trombina 11 segundos (normal < 14 s).
A conduta para manejo da anticoagulação neste contexto é:
Provas
Mulher, 16 anos, procura atendimento com queixa de dor e inchaço dos lábios, lesões na pele e fraqueza há quatro dias. Há três semanas, usou medicação prescrita na rede básica cujo nome não se lembra. Antecedentes pessoais: amigdalite de repetição. Exame físico: PA 120/78mmHg; FC 112 bpm; FR 26 irpm; T 37,5ºC. Exame físico geral sem alterações, exceto por exame tegumentar, ilustrado abaixo.

Frente à hipótese diagnóstica, a conduta é:
Provas
Homem, 32 anos, é avaliado na unidade de emergência por dor em região epigástrica, de forte intensidade, irradiada para dorso, com início há dois dias. Refere também náuseas e vômitos. Antecedentes pessoais: diabetes tipo 2 há 6 anos, etilista (12 latas cerveja/dia) há dois anos. Medicação em uso: metformina, gliclazida e sinvastatina, mas interrompeu o uso há 2 meses. Exame físico: peso 100 kg; altura 1,7m; PA 120/84 mmHg; FC 101 bpm; FR 16 irpm. Abdômen: doloroso à palpação em região epigástrica, fígado palpável a 3 cm rebordo costal direito, indolor, descompressão brusca dolorosa negativa, ruídos hidroaéreos presentes. Exames laboratoriais: hemoglobina 11,4 g/dL; leucócitos 12.000/mm3 ; plaquetas 262.000/mm3 ; amilase 300 U/L; lipase 500 U/L; triglicerídeos 12.000 mg/dL; hemoglobina glicosilada 12%; cálcio 7,2mg/dL.
Além de prescrever reposição volêmica e analgesia, a conduta neste momento é:
Provas
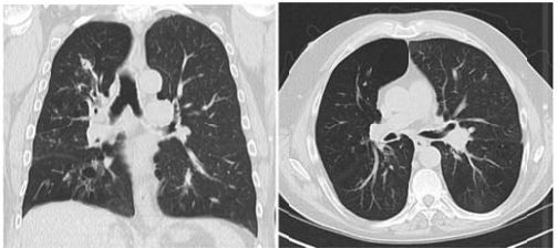
Mulher, 51 anos, caminhada para investigação de pneumonia de repetição. Relata crises compatíveis com asma brônquica, com tosse persistente. Há oito meses apresentou sintomas de dor pleurítica no lado esquerdo, tosse e discreta expectoração, tratada com antibióticos. Há seis meses, radiograma de tórax mostrou infiltrado peri-hilar no pulmão direito e sinais de broqictasia central, tratava com lavofloxacina por 21 dias. Após dois meses, novo estudo radiológico mostrava que o infiltrado permanecia . Antecedentes pessoais: alergia a vitamina B, otite crônica supurativa e hipotireoidismo subclínico. Pneumonia de pulmão D aos 29 anos. Nega tabagismo ou etilismo. Exame físico: sem alterações. Exames laboratoriais: Hemograma: hemoglobina 11 g/dL; hematócrito 35%; leucócitos 9.300/mm³ (60% segmentados, 20 % linfócitos, 7% monócitos, 13% eosinófilos); VHS 53mm. Imunoglobulinas: total 146 mg/dL; IgA 134mg/dL; IgM 153mg/dL; IgG 817mg/dL. Sub-classes de IgG: IgG3 no limite inferior de normalidade. Espirometria: CVF 3.700mL (116%), VEF1 2.600mL (103%), índice de tiffenau de 70%. Tomografia computadorizada de tórax:

A hipótese diagnostica e tratamento são:
Provas
Homem, 48 anos, procura atendimento com queixa de fraqueza, dispneia progressiva aos esforços há 3 semanas e episódios de febre de até 39º C. Antecedentes pessoais: febre reumática com prótese biológica em valva mitral há 8 anos. Exame físico: regular estado geral, descorado +2/4, presença de petéquias em conjuntiva e leito ungueal. Ausculta cardíaca: sopro sistólico em foco mitral. Ausculta pulmonar: estertores finos até campos médios bilateralmente. Exames laboratoriais: hemoglobina 10,3 g/dL; leucócitos 13.560/mm3 (10% bastões); fator reumatoide 87UI/L; exame de urina: proteína +/4; hemácias 30/campo; leucócitos 12/campo, presença de acantócitos.
Para a hipótese diagnóstica de endocardite bacteriana, é correto:
Provas
Caderno Container