Foram encontradas 611 questões.
Homem, 60 anos, negro, acaba de chegar à unidade de emergência consciente, com história de cefaleia nucal, escotomas e tonturas. Exame físico: PA 184/126 mmHg; FC112 bpm. Exame neurológico normal. Refere tomar corretamente quatro anti-hipertensivos. Fundoscopia:

Considerando o quadro clínico e os achados na fundoscopia, é correto:
Provas
Homem, 30 anos, procura serviço de emergência com cefaleia, febre e vômitos há 1 dia. Antecedentes pessoais: diabetes tipo 1 desde os 7 anos. Exame físico: Regular estado geral, eupneico; T 38,2ºC; PA 130/80 mmHg; FC 90 bpm. Exame segmentar normal, rigidez de nuca presente. Exames laboratoriais: hemoglobina 13 g/dL; leucócitos 15.600/mm3 (12% bastões, 82% segmentados). Liquor: leucócitos: 1.454/mm3 (88% neutrófilos), proteína 140 mg/dL; glicose 34mg/dL. Bacterioscopia: presença de diplococos gram positivos.
A conduta é:
Provas
Homem, 49 anos, internado em Unidade de Terapia Intensiva por insuficiência respiratória aguda. Familiar refere aparecimento de úlceras em membros inferiores há três semanas, além de edema e dor em articulações das mãos. Exame físico: intubado em ventilação mecânica com FIO2 50%; saturação de O2 94%, presença de sangue na aspiração do tubo orotraqueal. PA 121/82 mmHg; sinais de artrite em punhos e enterfalanges proximais; úlceras necróticas em ambas as pernas. Auscultura pulmonar com estertores finos em bases. Exames laboratoriais: hemoglobina 8,9 g/dL, leucócitos 15.200/mm³ (80% segmentados), plaquetas 250.00/mm³, creatina 3,4 mg/dL. Exame de urina: proteína ++/4, hemácias 55/campo, leucócitos 50/campo, dismorfismo eritrocitário ausente.
A hipótese diagnóstica e o exame confirmatório são:
Provas
Mulher, 26 anos, avaliada por diarreia aquosa, distensão abdominal e perda de 4 kg em oito meses. Sem outros sintomas. Não faz uso de nenhuma medicação. Antecedentes familiares: irmã com diabetes mellitus tipo 1 e hipotireoidismo. Exame físico: peso 55 kg; alt 1,7m; PA 120/70 mmHg; FC 82 bpm. Exame segmentar normal. Exames laboratoriais: hemoglobina 11,2 g/dL; AST (TGO) 42 UI/L; ALT (TGP) 64 UI/L; bilirrubina total 0,8 mg/dL; ferritina 8 ng/mL.
A pesquisa do anticorpo que confirma a principal hipótese diagnóstica é:
Provas
Mulher, 52 anos, lavadeira, queixa-se de sensações de dormência e alfinetadas na palma da mão direita do primeiro ao terceiro dedos, iniciadas há 4 meses, com piora progressiva. Refere que frequentemente, acorda de madrugada por causa desses sintomas. Relata ainda que o desconforto piora quando ela faz alguma atividade com a mão, e isto está atrapalhando seu trabalho. Antecedentes pessoais: diabetes tipo 2, em uso de metformina. Exame físico: PA 122/82 mmHg, FC 76bpm, exame segmentar normal.
A hipótese diagnóstica e conduta são:
Provas
Na escolha de sítio para passagem de cateter de duplo lúmen em paciente crítico, assinale a alternativa que mostra a principal vantagem de cada local:
Provas
Com relação ao uso de vasopressores no choque séptico, é correto afirmar que: a. Norepinefrina é a escolha para alcançar a meta pressórica, e em alguns casos, pode ser associada a vasopressina.
Provas
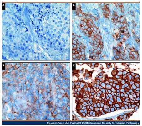
As lâminas abaixo representam o escore do status HER2 de tumores de mama. Quais os dois subtipos moleculares que correspondem ao escore indicado na lâmina D?

Provas
Mulher de 42 anos, G4P3A1, IMC= 24 Kg/m2 , traz resultado de biópsia de carcinoma ‘invasor’ do colo do útero, com colo tumoral e infiltrado, com 35 mm ao exame clínico, e paramétrio direito espessado, encurtado e nodular. A proposta de tratamento é:
Provas
Paciente de 33 anos, nuligesta, com quadro de infertilidade conjugal há dois anos. A propede utica revelou presenc a de mioma submucoso, com <50% intramural, medindo 3 cm. O marido tem 41 anos e dois filhos de relacionamento anterior. A conduta adequada é:
Provas
Caderno Container