Foram encontradas 611 questões.
A estrutura anatômica não acometida pela moléstia de Dupuytren é:
Provas
Em relação uso do ácido tranexâmico, é correto afirmar:
Provas
Em relação ao transplante de órgãos abdominais um grande avanço foi obtido com o advento das soluções de preservação, possibilitando que os órgãos mantenham sua viabilidade por algumas horas até o momento do implante no receptor eleito. Em relação à cirurgia para retirada de órgãos abdominais, quais são as 2 estruturas canuladas, assinaladas por A e B respectivamente, utilizadas para infusão da solução de preservação?

Provas
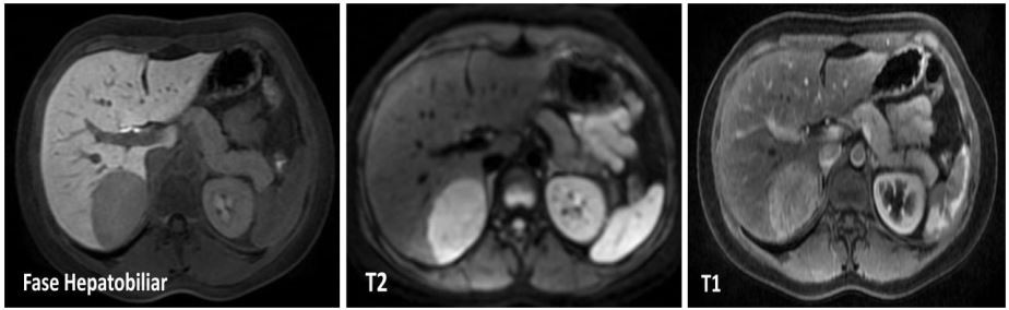
Homem, 42a, previamente hígido, inicia quadro dor abdominal, de leve intensidade, sem outros comemorativos. Realizou ultrassonografia de abdome com achado de lesão hipoecogênica, de 6cm, em segmento VI. Solicitada tomografia de abdome com achado de fígado sem sinais de hepatopatia e lesão homogênea, de limites bem definidos, medindo 4,9cm no maior eixo, localizada em segmento VI, com vascularização homogênea em fase portal sem cicatriz central, no entanto, não podendo descartar o diagnóstico de hiperplasia nodular focal.
Frente a este quadro, é solicitada ressonância magnética nuclear de abdome com contraste hepatobiliar especifico (PrimovistR ), com as seguintes imagens:

Qual o diagnóstico e a conduta?
Provas
Homem, 17a, tem os testículos palpáveis nos respectivos canais inguinais. Ele deseja ter filhos no futuro. Realizou dois espermogramas que revelaram azoospermia. Testosterona sérica é de 410ng/dL e o hormônio folículo-estimulante é de 10UI/L. Não tem expectativa de constituir família nos próximos 10 anos. A melhor conduta no presente momento é:
Provas
Paciente com neoplasia de reto foi submetido à retossigmoidectomia. A foto a seguir foi realizada após a retirada do espécime cirúrgico. As estruturas assinaladas (1, 2, 3 e 4) são, respectivamente:

Provas
Homem, 84a, acamado e institucionalizado por doença de Alzheimer, é trazido ao ambulatório com quadro de disfagia e emagrecimento há um ano. Traz endoscopia digestiva alta que mostra estenose concêntrica do esôfago distal que não permite a passagem do aparelho. Biópsias realizadas na área da estenose não mostram sinais de neoplasia maligna. A hipótese diagnóstica foi estenose péptica de esôfago. O tratamento da estenose deve ser:
Provas
O músculo que deve ser seccionado durante a cirurgia do divertículo de Zenker com o objetivo de tratar o distúrbio motor subjacente chama-se:
Provas
A Síndrome do Desconforto Respiratório Agudo (SDRA) grave pode ser definida quando o índice de oxigenação (PaO2/FiO2) estiver menor que:
Provas
Na cirurgia aberta de correção do aneurisma de aorta abdominal foi realizada uma imagem pré-correção, após o reparo das estruturas principais para o pinçamento arterial. Quais as estruturas anatômicas assinaladas com os números 1, 2, 3 e 4 ?

Provas
Caderno Container