Magna Concursos

Foram encontradas 1.060 questões.

3654794 Ano: 2025
Disciplina: Medicina
Banca: VUNESP
Orgão: UNIFESP
Provas:
Um homem de 64 anos com hipertensão e diabetes mellitus é encontrado com hemiparesia direita e afasia ao acordar, às 7h da manhã. Ele estava neurologicamente normal ao dormir às 23h do dia anterior. A tomografia de crânio sem contraste realizada às 8h não mostra sinais de hemorragia ou hipodensidade precoce. Uma ressonância magnética com difusão (DWI) e flair demonstra restrição de difusão no território da artéria cerebral média esquerda sem alteração correspondente no flair. O tempo de trânsito médio prolongado (TTP) na perfusão indica um grande volume de penumbra isquêmica. Qual é a melhor estratégia terapêutica para esse paciente, considerando os achados clínicos e de imagem?
 

Provas

Questão presente nas seguintes provas
3654793 Ano: 2025
Disciplina: Medicina
Banca: VUNESP
Orgão: UNIFESP
Provas:
Um homem de 52 anos apresenta declínio cognitivo progressivo, alterações comportamentais significativas (irritabilidade, apatia e impulsividade) e movimentos involuntários coreiformes que têm piorado ao longo dos últimos dois anos. Ele também apresenta disartria e bradicinesia progressivas. Há história familiar de sintomas semelhantes: sua mãe faleceu aos 54 anos com quadro clínico compatível. A ressonância magnética de crânio evidencia atrofia proeminente nos núcleos da base. Testes de função tireoidiana e vitamina B12 estão normais. Não há relato de exposição a toxinas ou medicamentos que expliquem os sintomas. Com base nesse cenário, assinale a alternativa que apresenta o próximo passo mais apropriado para confirmar o diagnóstico e orientar o manejo.
 

Provas

Questão presente nas seguintes provas
3654792 Ano: 2025
Disciplina: Medicina
Banca: VUNESP
Orgão: UNIFESP
Provas:
Uma mulher de 45 anos apresenta cefaleia súbita e intensa, descrita como “a pior da vida”, iniciada há cerca de 6 horas enquanto realizava atividades físicas. A dor é acompanhada de rigidez de nuca, náuseas, vômitos e fotofobia. No exame físico, a paciente está consciente e orientada, mas refere piora da cefaleia com movimentos bruscos da cabeça. Os sinais meníngeos são positivos. A pressão arterial é de 160/100 mmHg, e não há déficits neurológicos focais. A TC de crânio sem contraste realizada 4 horas após o início dos sintomas não revela anormalidades. O histórico médico da paciente inclui hipertensão controlada com inibidor da ECA, e ela relata uso ocasional de anti-inflamatórios para dores musculares. Diante desse quadro, qual o próximo passo mais adequado na abordagem diagnóstica?
 

Provas

Questão presente nas seguintes provas
3654791 Ano: 2025
Disciplina: Medicina
Banca: VUNESP
Orgão: UNIFESP
Provas:
Uma mulher de 56 anos apresenta tremor unilateral em repouso na mão direita, rigidez muscular progressiva e bradicinesia nos últimos 2 anos. Após iniciar levodopa, ela relata melhora dos sintomas motores, mas desenvolve movimentos involuntários anormais nos membros superiores após 6 meses de tratamento. O exame revela discinesias orofaciais e coreiformes em momentos de pico da dose do medicamento. Qual dos mecanismos fisiopatológicos a seguir está diretamente relacionado a essas complicações motoras induzidas por levodopa, e qual seria a abordagem terapêutica mais apropriada para controlar os sintomas?
 

Provas

Questão presente nas seguintes provas
3654790 Ano: 2025
Disciplina: Medicina
Banca: VUNESP
Orgão: UNIFESP
Provas:
Um homem de 38 anos apresenta crises recorrentes de cefaleia unilateral severa, descritas como excruciantes, com duração de 30 a 90 minutos, acompanhadas de lacrimejamento ipsilateral, congestão nasal e ptose palpebral. As crises ocorrem diariamente por semanas, frequentemente durante a noite. No serviço de emergência, ele relata dor intensa com início há 15 minutos. Assinale a alternativa que apresenta a conduta mais apropriada nesse momento.
 

Provas

Questão presente nas seguintes provas
3654789 Ano: 2025
Disciplina: Medicina
Banca: VUNESP
Orgão: UNIFESP
Provas:
Uma mulher de 40 anos apresenta um histórico de fraqueza muscular flutuante que iniciou nos músculos extraoculares, manifestada por ptose palpebral bilateral e diplopia. Os sintomas pioram no final do dia e melhoram com repouso. Durante a avaliação, o teste de edrofônio foi positivo, e os anticorpos contra o receptor de acetilcolina (AChR) foram detectados em altos títulos. Não há sinais de comprometimento respiratório, e o exame físico não revela fraqueza bulbar significativa. A paciente relata cansaço generalizado após esforço físico prolongado. Ela também tem histórico de hipertensão controlada com bloqueadores do receptor de angiotensina. Os exames laboratoriais de rotina são normais, exceto por leve elevação da CK. Uma radiografia de tórax realizada previamente não mostrou alterações significativas. Qual é o próximo passo mais apropriado no manejo dessa paciente?
 

Provas

Questão presente nas seguintes provas
3654788 Ano: 2025
Disciplina: Medicina
Banca: VUNESP
Orgão: UNIFESP
Provas:
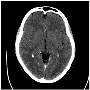
Um homem de 72 anos, hipertenso e portador de fibrilação atrial (FA) não valvar, apresenta início súbito de hemiparesia direita, afasia e desvio do olhar para a esquerda. Ele é admitido no pronto-socorro 2 horas após o início dos sintomas. A avaliação inicial revela um NIHSS de 15. A tomografia computadorizada de crânio com contraste encontra-se a seguir.

Enunciado 4377659-1
(https://radiopaedia.org/. Disponível em: https://prod-images-static.radiopaedia.org/images/4169564/65a780977632d0e771466c905c2195_gallery.jpg)

Após excluir contraindicações, o paciente é submetido a trombólise intravenosa com alteplase. Após 24 horas, uma nova tomografia não evidencia transformação hemorrágica, mas o paciente permanece com NIHSS de 12. Considerando as características do caso e o risco de transformação hemorrágica, assinale a alternativa que apresenta a melhor estratégia antitrombótica para prevenir eventos recorrentes.
 

Provas

Questão presente nas seguintes provas
3654787 Ano: 2025
Disciplina: Medicina
Banca: VUNESP
Orgão: UNIFESP
Provas:
Uma mulher de 60 anos com histórico de câncer de mama apresenta, subagudamente, ataxia de marcha, dismetria e disartria. Com base no quadro clínico e laboratorial, qual é o diagnóstico mais provável e qual anticorpo relacionado a este diagnóstico?
 

Provas

Questão presente nas seguintes provas
3654786 Ano: 2025
Disciplina: Medicina
Banca: VUNESP
Orgão: UNIFESP
Provas:
O arco-reflexo patelar avalia a integridade de qual nível medular?
 

Provas

Questão presente nas seguintes provas
3654785 Ano: 2025
Disciplina: Medicina
Banca: VUNESP
Orgão: UNIFESP
Provas:
Um homem de 65 anos, hipertenso e diabético, apresenta início súbito de hemiparesia direita e afasia de expressão. Qual a artéria mais provavelmente envolvida no evento?
 

Provas

Questão presente nas seguintes provas