Magna Concursos

Foram encontradas 130 questões.

3951200 Ano: 2025
Disciplina: Medicina
Banca: FUVEST
Orgão: USP
Mulher, 33 anos de idade, vítima de colisão entre motocicleta e automóvel, é atendida no pré-hospitalar com vias aéreas pérvias, boa expansibilidade torácica e palidez cutaneomucosa importante. Ao exame físico, apresentou FC de 132 bpm, PA de 82x55 mmHg, Sat. O2 de 98% e TEC de 4s. A equipe deve
 

Provas

Questão presente nas seguintes provas
3951199 Ano: 2025
Disciplina: Medicina
Banca: FUVEST
Orgão: USP
Homem, 33 anos de idade, procura pronto atendimento após importante esforço evacuatório, seguido de muita dor anal há 3 dias. Ao exame clínico, apresentou nodulação arroxeada na anoderma, endurecida e bastante dolorosa. Em relação ao caso descrito, assinale a alternativa que apresenta a melhor conduta nesse momento.
 

Provas

Questão presente nas seguintes provas
3951198 Ano: 2025
Disciplina: Medicina
Banca: FUVEST
Orgão: USP
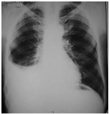
Homem, 48 anos de idade, tabagista de longa data, comparece na Unidade Básica de Saúde (UBS) por estar mais cansado que o habitual em esforços cotidianos. Em radiografia realizada após a primeira consulta, o médico percebe o achado apresentado a seguir:

Enunciado 4806630-1

Em relação ao caso descrito, a melhor conduta é:
 

Provas

Questão presente nas seguintes provas
3951197 Ano: 2025
Disciplina: Medicina
Banca: FUVEST
Orgão: USP
Homem, 62 anos de idade, é admitido com relato de fezes em fita e sangramento evacuatório recorrente nos últimos 2 meses. Colonoscopia evidenciou lesão vegetante a 5 cm da borda anal, friável ao toque e laudo de anatomopatológico confirma adenocarcinoma. Exames de estadiamento não evidenciaram lesões secundárias. Assinale a alternativa que apresenta o melhor tratamento indicado ao paciente.
 

Provas

Questão presente nas seguintes provas
3951196 Ano: 2025
Disciplina: Medicina
Banca: FUVEST
Orgão: USP
Mulher, 34 anos de idade, com queixas recorrentes de epigastralgia, retorna com endoscopia que descreve lesão elevada em antrogástrico. Anatomopatológico confirma adenocarcinoma gástrico pouco diferenciado. Realizadas tomografias de tórax e abdome, sem evidência de adenomegalia ou lesões à distância. Assinale a alternativa que apresenta a melhor conduta no momento.
 

Provas

Questão presente nas seguintes provas
3951195 Ano: 2025
Disciplina: Medicina
Banca: FUVEST
Orgão: USP
Homem, 22 anos de idade, apresenta regurgitação e pirose como queixas recorrentes nos últimos dois anos. Após endoscopia digestiva alta normal, realizou tratamento com IBP nos últimos 6 meses com resolução dos sintomas, porém recidiva quando suspende medicação, mesmo com todas as medidas dietéticas e comportamentais orientadas, além de perda ponderal (IMC de 26 kg/m2). Procura atendimento para orientação quanto aos próximos passos no seu tratamento. Assinale a alternativa que apresenta a conduta adequada para essa orientação.
 

Provas

Questão presente nas seguintes provas
3951194 Ano: 2025
Disciplina: Medicina
Banca: FUVEST
Orgão: USP
Mulher, 48 anos de idade, é admitida com dor no hipocôndrio direito há 1 dia e icterícia. Ao exame físico, apresenta-se febril, temperatura axilar de 38,8 °C, ictérica 3/4+ e com dor à palpação do hipocôndrio direito, com Murphy negativo. É realizada ultrassonografia na admissão que evidencia múltiplos cálculos no interior da vesícula biliar e dilatação do hepatocolédoco, sem identificar fator obstrutivo. Em relação ao achado, a melhor conduta na urgência é
 

Provas

Questão presente nas seguintes provas
3951193 Ano: 2025
Disciplina: Medicina
Banca: FUVEST
Orgão: USP
Mulher, 28 anos de idade, refere dores epigástricas recorrentes e episódios frequentes de vômito. Realizou várias endoscopias que evidenciavam úlcera péptica persistente no antrogástrico, justa ao piloro. A despeito de tratamento adequado até terceira linha para Helicobacter pylori, mantém teste de urease positivo no último exame. A melhor proposta terapêutica diante do caso apresentado é:
 

Provas

Questão presente nas seguintes provas
3951192 Ano: 2025
Disciplina: Medicina
Banca: FUVEST
Orgão: USP
Mulher, 46 anos de idade, apresentou trauma torácico em acidente com queda da motocicleta. Foi realizada a tomografia computadorizada de tórax, conforme imagem a seguir:

Enunciado 4806624-1

Em relação ao caso descrito, assinale a alternativa que apresenta os sinais/sintomas clínicos típicos dos achados da tomografia apresentada.
 

Provas

Questão presente nas seguintes provas
3951191 Ano: 2025
Disciplina: Medicina
Banca: FUVEST
Orgão: USP
Qual dos seguintes tipos de sutura consegue um fechamento profundo e superficial e é ideal para dar maior resistência e evitar abertura precoce de feridas?
 

Provas

Questão presente nas seguintes provas