Foram encontradas 34.004 questões.
A correta descrição do modo ventilatório Ventilação Proporcional Assistiva (PAV) é:
Provas
A miopatia do doente grave é extremamente complexa e envolve várias alterações a nível inflamatório, metabólico e bioenergético. Sobre a fisiopatologia dessa condição, assinale a alternativa incorreta.
Provas
A imagem abaixo demonstra traçados da Capacidade Vital Forçada a partir de gráficos volume-tempo de um espirômetro. Assinale a alternativa que apresenta a quais comprometimentos pulmonares os traçados identificados com as letras A, B, C correspondem respectivamente.

Fonte: EGAN Fundamentos da Terapia Respiratória, 9° Edição, Editora Elsevier, 2009.
Provas
Leia o trecho abaixo:
Paciente com apresenta aumento da pressão nas vias aéreas relacionado com o aumento da pressão resistiva, sendo a pressão alveolar baixa.
Assinale a alternativa que preencha corretamente a lacuna
Provas
Na prática clínica é possível calcular a eficiência da transferência de oxigênio pulmonar por meio de cálculos feitos à beira do leito. Um cálculo comumente utilizado é a diferença entre a PO2 alveolar e a PO2 arterial, escrito como P(A-a) O2.
Dado a seguinte condição: Mulher de 40 anos de idade, que respira à 80% de oxigênio ao nível do mar, com os seguintes dados gasométricos: PaO2= 60 mmHg; PaCO2 =50 mmHg.
Calcule e interprete o gradiente alvéolo arterial de O2 da paciente acima e assinale a alternativa correta.
Provas
A paciente da imagem abaixo apresenta equimoses periorbitárias (Sinal do Guaxinim), assinale a alternativa que apresenta para qual conduta fisioterapêutica esse sinal é uma importante contra indicação.

Fonte: Guimarães HP; Assunção MSC; Carvalho FB; Japiassú AM; Veras KN; Nácul FE; Reis HJL; Azevedo RP. Manual de medicina intensiva: AMIB. São Paulo : Editora Atheneu, 2014.
Provas
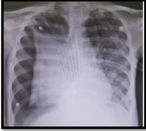
Analise a radiografia abaixo e responda

Fonte: acervo do autor
Assinale a alternativa que apresenta o tratamento imediato que deve ser proposto para este caso.
Provas
Paciente vítima de acidente de moto, foi admitido na Unidade de Terapia Intensiva com diagnóstico de trauma cranioencefálico, na passagem de plantão foi relatado que na cena do acidente ele apresentava abertura ocular à dor, descerebração bilateral e gemência.
Assinale a alternativa que apresenta o valor da escala de coma de Glasgow na admissão.
Provas
Sobre a atuação da fisioterapia respiratória aplicada a cardiologia, analise as afirmativas abaixo.
I. Pacientes submetidos à cirurgia cardíaca desenvolvem, em sua maioria, disfunção pulmonar pós-operatória com redução importante dos volumes pulmonares, prejuízos na mecânica respiratória, aumento na complacência pulmonar e redução do trabalho respiratório.
II. A redução dos volumes e capacidades pulmonares contribui para alterações nas trocas gasosas, resultando em hipoxemia e diminuição na capacidade de difusão.
III. Atelectasia e hipoxemia encontram-se entre as principais complicações pulmonares no pós-operatório de cirurgia cardíaca, porém, outras complicações como, tosse seca ou produtiva, dispnéia, broncoespasmo, hipercapnia, derrame pleural, pneumonia, pneumotórax, reintubação e insuficiência ventilatória também são observadas.
IV. A fisioterapia respiratória é frequentemente utilizada na prevenção e tratamento de complicações pósoperatórias como: retenção de secreções, atelectasias e pneumonia. A duração e frequência da fisioterapia respiratória para pacientes cirúrgicos são variadas, dependendo das necessidades individuais, preferência terapêutica e prática institucional.
Estão corretas as afirmativas:
Provas
A Síndrome do Desconforto Respiratório (SDR) no recém-nascido é uma doença respiratória comum da prematuridade. Diante do exposto, assinale a alternativa correta.
Provas
Caderno Container