Magna Concursos

Foram encontradas 273.833 questões.

3924118 Ano: 2025
Disciplina: Medicina
Banca: FUNDATEC
Orgão: UFRGS
A imunofenotipagem de linfócitos é essencial no diagnóstico de neoplasias linfoides e seus diferenciais. Relacione a Coluna 1 à Coluna 2, associando os tipos celulares aos seus respectivos marcadores. 

Coluna 1
1. Linfócito T. 2. Linfócito B. 3. Todos os leucócitos (panleucócitos). 4. Células-tronco hematopoiéticas.
Coluna 2
( ) CD5. ( ) CD34. ( ) PAX5. ( ) CD3. ( ) CD18. ( ) CD79a.
A ordem correta de preenchimento dos parênteses, de cima para baixo, é:
 

Provas

Questão presente nas seguintes provas
3924117 Ano: 2025
Disciplina: Medicina
Banca: FUNDATEC
Orgão: UFRGS
A hematologia de animais silvestres é cada vez mais comum no laboratório de patologia clínica veterinária devido ao crescente aumento de pets não convencionais, além da avaliação sanitária dos programas de bioconservação. No hemograma de répteis, por exemplo, a avaliação do esfregaço sanguíneo, com enfoque na morfologia, deve ser criteriosamente realizada considerando as particularidades das espécies e dos grupos taxonômicos. Analise a imagem abaixo referente a um esfregaço:


Enunciado 4918029-1


Fotomicrografia de um esfregaço de sangue periférico de Boa constrictor constrictor. Corante Wright-Giemsa, objetiva de 1000x em imersão. Fonte: arquivo pessoal.


Qual é o significado da célula apontada pela seta no esfregaço de sangue periférico de uma jiboia-comum (Boa constrictor constrictor)?
 

Provas

Questão presente nas seguintes provas
3924113 Ano: 2025
Disciplina: Medicina
Banca: FUNDATEC
Orgão: UFRGS
Em algumas anemias não regenerativas, a citologia da medula óssea (mielograma) deve ser realizada para determinar a causa da anemia. Algumas condições medulares não apresentam alterações exatamente específicas na medula óssea, e por isso devem ser interpretadas pelo conjunto das alterações na medula. Com base nisso, um cão de 5 anos de idade apresentando anemia normocítica normocrômica persistente foi submetido à coleta de medula óssea (úmero direito). No exame, foram observados os seguintes achados: celularidade de 40 a 45%, estoques de ferro (Fe) discretamente elevados, maturação ordenada e completa das linhagens mieloide e megacariocítica, hiperplasia relativa da linhagem eritroide, linhagem eritroide com desvio à esquerda, contagem de blastos de 10%, relação M:E normal, hiperplasia plasmocítica e linfocítica, fagocitose de rubrícitos e de ocasionais eritrócitos maduros. Com base nas alterações observadas na medula, qual é o provável diagnóstico?
 

Provas

Questão presente nas seguintes provas
3924112 Ano: 2025
Disciplina: Medicina
Banca: FUNDATEC
Orgão: UFRGS
A análise do liquor é uma importante ferramenta para auxiliar no diagnóstico de enfermidades que afetam o Sistema Nervoso Central (SNC). Sobre esse assunto, assinale a alternativa INCORRETA.
 

Provas

Questão presente nas seguintes provas
3924109 Ano: 2025
Disciplina: Medicina
Banca: FUNDATEC
Orgão: UFRGS
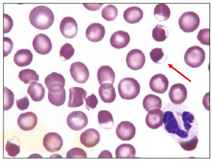
Chega ao laboratório clínico uma amostra de sangue de um cão. No esfregaço sanguíneo, é observada a imagem abaixo:



Enunciado 4918021-1


Identifique a célula sinalizada pela seta vermelha.
 

Provas

Questão presente nas seguintes provas
3924108 Ano: 2025
Disciplina: Medicina
Banca: FUNDATEC
Orgão: UFRGS
Sobre os produtos de degradação de fibrina ou fibrinogênio (PDFs) e D-dímeros, é correto afirmar que:
 

Provas

Questão presente nas seguintes provas
3924107 Ano: 2025
Disciplina: Medicina
Banca: FUNDATEC
Orgão: UFRGS
Sobre a citopatologia de neoplasias cutâneas e subcutâneas, é INCORRETO afirmar que:
 

Provas

Questão presente nas seguintes provas
3924105 Ano: 2025
Disciplina: Medicina
Banca: FUNDATEC
Orgão: UFRGS
A acurácia dos ensaios para avaliação da função hemostática depende bastante da colheita e do processamento das amostras. Sobre o tema, é INCORRETO afirmar que:
 

Provas

Questão presente nas seguintes provas
3924102 Ano: 2025
Disciplina: Medicina
Banca: FUNDATEC
Orgão: UFRGS
Aumentos na CTCN do líquido cefalorraquidiano são denominados pleocitose, que é ainda definida pelo tipo de célula predominante, isto é, pleocitose neutrofílica, eosinofílica, mononuclear ou mistas. Entre as alternativas abaixo, qual doença de origem viral é uma causa comum de pleocitose neutrofílica no gato?
 

Provas

Questão presente nas seguintes provas
3924100 Ano: 2025
Disciplina: Medicina
Banca: FUNDATEC
Orgão: UFRGS
A Leucemia Linfocítica Crônica (LLC) é considerada uma das doenças medulares neoplásicas mais comuns em cães e gatos. Essa é caracterizada pela proliferação de linfócitos maduros na medula óssea que mantêm sua morfologia normal, além de curso indolente. Entretanto, cães podem apresentar tardiamente uma progressão da doença caracterizada por transformação blástica dos linfócitos, transformando-se em uma leucemia aguda ou linfoma de alto grau. Essa transformação recebe o nome de síndrome de:
 

Provas

Questão presente nas seguintes provas