Foram encontradas 4.021.062 questões.
Mulher de 44 anos refere dor mamária bilateral, cíclica, há vários meses, associada à tensão pré-menstrual. Exame físico: mamas densas, sem nódulos palpáveis ou descarga papilar.
Em relação à conduta inicial, assinale a alternativa correta.
Provas
Paciente de 39 anos, tabagista de 20 cigarros/dia, portadora de enxaqueca com aura, deseja contracepção eficaz.
O método mais adequado é
Provas
Paciente de 42 anos, com menorragia há 6 meses, sem alterações hormonais detectáveis. Ultrassonografia transvaginal mostra espessura endometrial de 14 mm e mioma submucoso tipo 1 de 2,5 cm.
A conduta mais adequada é
Provas
Mulher de 26 anos, sem antecedentes, nota nódulo firme, móvel, indolor em mama direita há 2 meses. Ultrassonografia mostra lesão sólida oval, margens regulares, hipoecoica, medindo 1,8 cm (BI-RADS 3).
A conduta mais adequada é
Provas
Mulher de 33 anos, sem queixas, comparece para exame preventivo de rotina. Não há histórico de lesões cervicais prévias e o último exame citopatológico foi há 3 anos, com resultado normal.
Segundo as recomendações atuais, qual deve ser a conduta?
Provas
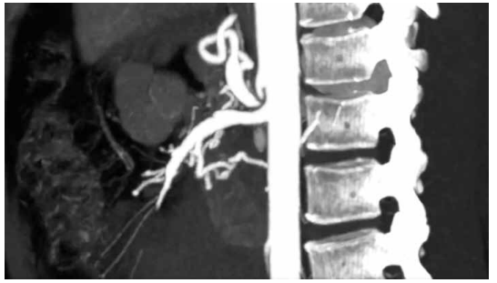
(Arquivo pessoal; imagem usada com autorização)
Analisando a imagem e a apresentação clínica, qual é o diagnóstico mais provável?
Provas
Observe a figura a seguir, que apresenta uma referência anatômica em visão laparoscópica do tratamento da hérnia inguinal:

(Arquivo pessoal; imagem usada com autorização)
Em qual área numerada localiza-se o triângulo da dor?
Provas
Paciente do sexo masculino, de 45 anos, foi submetido a derivação gástrica em Y de Roux há quatro anos e mantém IMC em 38 kg/m² (perda de apenas 15% do peso inicial). Apresenta dor epigástrica intensa e refratária à terapia máxima com inibidores de bomba de prótons e sucralfato. A endoscopia serial demonstra úlcera marginal recorrente na anastomose gastrojejunal, com pouch gástrico medindo 10 cm de comprimento e anastomose de 3,5 cm de diâmetro. Houve falha de dois ciclos de injeção endoscópica de triancinolona.
Considerando a refratariedade do quadro e os achados anatômicos, qual é a conduta definitiva de escolha correta?
Provas
Paciente de 45 anos, vítima de traumatismo cranioencefálico grave, é admitido na UTI com monitorização multimodal. A pressão intracraniana (PIC) é de 25 mmHg. Sua pressão arterial é de 120 × 80 mmHg.
Considerando a fisiologia da circulação cerebral, qual é o valor correto da pressão de perfusão cerebral (PPC)?
Provas
Paciente de 42 anos sofreu laceração profunda no antebraço direito por vidro, com secção completa da artéria radial. O teste de Allen demonstra preenchimento palmar adequado pela artéria ulnar em menos de cinco segundos.
Considerando o quadro apresentado, qual é a conduta mais adequada em relação à lesão arterial?
Provas
Caderno Container