Foram encontradas 60 questões.
Analise o caso abaixo para responder às questões 59 e 60.
Menino, 13 anos, admitido no pronto socorro devido a febre, palidez e sangramento gengival, realizado hemograma e esfregaço de sangue periférico com os seguintes achados: Hb 8 (normocítica/normocrômica) Leucócitos 2350 (80% linfócitos, 7% segmentados, 4% monócitos e 9% células jovens) Plaquetas 35.000

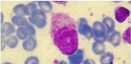
Assinale a alternativa que apresenta qual o achado encontrado no esfregaço que auxiliou no diagnóstico morfológico.
Provas
Analise o caso abaixo para responder às questões 59 e 60.
Menino, 13 anos, admitido no pronto socorro devido a febre, palidez e sangramento gengival, realizado hemograma e esfregaço de sangue periférico com os seguintes achados: Hb 8 (normocítica/normocrômica) Leucócitos 2350 (80% linfócitos, 7% segmentados, 4% monócitos e 9% células jovens) Plaquetas 35.000

Sobre a principal hipótese diagnóstica é correto afirmar:
Provas
São indicações precisas para Transplante de medula óssea nas leucemias em primeira remissão, exceto:
Provas
Sobre o Retinoblastoma, assinale a alternativa correta.
Provas
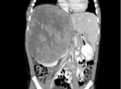
Menino, 5 anos, negro, admitido no Pronto Socorro com a queixa de aumento do volume abdominal, sem dor ou demais sintomas associados. Realizada Tomografia Computadorizada de abdome que evidencia a seguinte imagem:

Coletadas catecolaminas urinárias com VMA=10 e VMA=15.
Sobre a principal hipótese diagnóstica, assinale a afirmativa incorreta.
Provas
Sobre o Meduloblastoma, é correto afirmar:
Provas
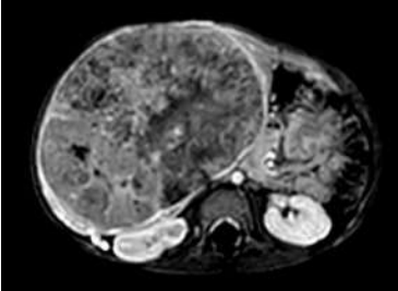
Menino, 2 anos e 6 meses, com aumento de tamanho do abdominal há meses, maior em hipocôndrio e flanco direitos. Ao exame físico: circulação colateral evidente e hepatomegalia endurecida a 8cm do rebordo costal direito.

Em relação ao diagnóstico de sua principal hipótese, é correto afirmar:
Provas
A Síndrome de Lise Tumoral é um dos eventos mais temidos na Oncologia. Sobre o tema é correto afirmar:
Provas
Sobre a Medicina de precisão e aplicação de drogas alvo em Oncologia, faça a correlação entre as drogas e alterações genéticas correspondentes:
1. Crizotinib
2. Nivolumab
3. Trametinib
4. Bevacizumab
5. Pembrolizumab
A. Anti PDL1
B. Anti VEGF
C. Anti PD1
D. Inibidor de ALK
E. Inibidor MEK
Provas
Sobre a quimioterapia combinada, é correto escolher entre as drogas:
Provas
Caderno Container