Foram encontradas 60 questões.
Menino de 7 anos com dor abdominal importante do tipo cólica há 15 dias, difusa, associada a vômitos. Procurou Pronto Atendimento e foi realizado USG Abdome que evidenciou massa ileocecal com invaginação. Assinale a alternativa que apresenta o diagnóstico mais provável.
Provas
No Brasil, segundo INCA, a estimativa de novos casos de câncer infanto-juvenil é de 7.930 para cada ano do triênio, de 2023 a 2025. A incidência de câncer em crianças menores de 15 anos, por ordem de frequência é de:
Provas
A Norma Operacional de Controle Disciplinar da Empresa Brasileira de Serviços Hospitalares (EBSERH) tem como objetivo estabelecer os procedimentos relativos à apuração de possível irregularidade. De acordo com a mencionada norma operacional, assinale a alternativa que apresenta uma circunstância atenuante:
Provas
Segundo o Regulamento de Pessoal da EBSERH, licença é o afastamento de empregado do serviço ativo assegurado por lei ou autorizado pela Empresa. Sobre o assunto, assinale a alternativa que apresenta corretamente a modalidade e prazo da licença prevista do regulamento.
Provas
De acordo com o Estatuto Social da Empresa Brasileira de Serviços Hospitalares (EBSERH), assinale a alternativa que apresenta incorretamente um dos objetos sociais da EBSERH.
Provas
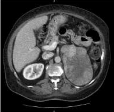
Menino de 1 ano e 3 meses, procura pediatra devido a aumento do tamanho peniano, pilificação escrotal e acne em face. A colega solicita uma RM Crânio que não evidencia alterações e TC abdome com a seguinte imagem:

Sobre a sua hipótese diagnóstica, é incorreto afirmar:
Provas
Em relação aos tumores de células germinativas extra-cranianos, analise as afirmativas abaixo.
I. Tem apresentação bimodal mas é um dos mais comuns entre adolescentes/adultos jovens, representando 15% dos tumores nesta faixa etária.
II. A alfa fetoproteína é marcador de TCG do tipo seio endodérmico e deve ser avaliado com base nos dias de vida da criança.
III. Nos tumores testiculares a biópsia deve ser feita via transescrotal.
IV. Paciente com Síndrome de Klinefelter tem risco 18 vezes maior de apresentar TCG extragonadais e normalmente são diagnosticadas com idade 10 vezes menor que a habitual.
V. Os TCG mediastinais predominam nos meninos na fase pré púbere e são localizados no mediastino posterior.
Estão corretas as afirmativas:
Provas
Rabdomiossarcoma é o sarcoma de partes moles mais frequente na infância e adolescência. O estadiamento adequado é essencial para o correto tratamento, são sítios favoráveis, exceto:
Provas
Sobre o estadiamento PRETEXT (Pretreatment Extent of Disease) do Hepatoblastoma, é incorreto afirmar:
Provas
São princípios importantes no tratamento quimioterápico, exceto:
Provas
Caderno Container