Foram encontradas 1.580 questões.
Homem, 30 anos, com antecedente de doença ulcerosa péptica, há 3 semanas, passa a apresentar quadro de vômitos, tardios em relação às refeições, ocorrendo 3 a 6 horas após a alimentação, cujo conteúdo é de restos alimentares e líquido, sem bile. Foi atendido em unidade de urgência com desidratação acentuada, oligúrico, pulso elevado e hipotenso. Qual o distúrbio hidroeletrólico apresentado por esse paciente, e o correspondente pH urinário?
Provas
Mulher, 42 anos, dá entrada no setor de emergência apresentando quadro de dor abdominal no hipocôndrio direito, iniciada há 4 horas, após jantar em churrascaria, associada a náuseas e vômitos biliosos. Ao exame: corada, anictérica, PA: 120 X 80 mmHg, F: 90 bpm, Temp: 38 ºC, e verifica-se dor em hipocôndrio direito, junto ao rebordo costal, com interrupção da inspiração pela dor durante a palpação. O provável diagnóstico e o melhor exame a ser solicitado para início da investigação desse quadro atual são:
Provas
Mulher, 47 anos, obesa, G3P3A0, portadora de Diabetes Mellitus tipo 2, em uso de metformina, procura o pronto- -socorro com queixa de icterícia, colúria e hipocolia fecal há cerca de 48 horas, associada a dor em hipocôndrio direito (HCD), febre e calafrios. Ao exame físico: desidratada ++, febril, pouco sonolenta, PA: 80/40 mmHg, FC: 120 bpm, abdome flácido, pouco doloroso em HCD e epigástrio, DB negativo. Considerando o caso e a provável hipótese diagnóstica, quais dos sinais e sintomas estão relacionados à pêntade de Reynolds?
Provas
Homem, 55 anos, apresenta diagnóstico de cirrose alcoólica descompensada Child-Pugh B, com abstenção de ingesta etílica há 1 ano. No seguimento ambulatorial, foi solicitada uma endoscopia de controle para avaliação de varizes de esôfago. Considerando o caso apresentado e possíveis achados na endoscopia, quais sinais e parâmetros clínicos são considerados preditivos de alto risco de sangramento e determinam iniciar profilaxia primária?
Provas
Homem, 27 anos, chega ao pronto-socorro com história de descarga elétrica de alta voltagem com queimaduras de terceiro grau na região palmar da mão direita (porta de entrada) e na região do hálux esquerdo (porta de saída). Ao exame físico, apresentava palidez na região anterior do antebraço direito, com ausência dos pulsos arteriais radial e ulnar direitos, redução do nível de consciência e fraturas da tíbia e fíbula direitas. Qual procedimento deve ser realizado, após o atendimento inicial?
Provas
Mulher de 69 anos é submetida à excisão cirúrgica de um carcinoma basocelular ulcerado, gerando um defeito, com 2,5 cm x 3,0 cm, abrangendo toda a espessura do dorso nasal. Devido ao grau de infiltração da lesão neoplásica, foi necessário ressecar o periósteo do osso nasal que, por sua vez, ficou exposto. Qual o método de escolha recomendado para a reconstrução do defeito nesse caso clínico?
Provas
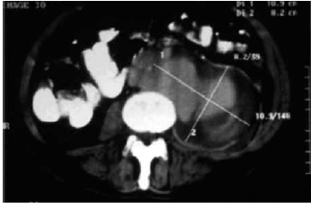
Homem, 63 anos, dislipidêmico e tabagista (50 maços/ ano), obeso, sem sintomas prévios, apresentou dor abdominal súbita e intensa, localizada em região do flanco esquerdo, irradiada para a região lombar esquerda, acompanhada de hipotensão arterial, sudorese e palidez, além de dor à elevação da coxa esquerda. Descompressão brusca abdominal negativa, palpação dificultada pelo abdome volumoso. Houve melhora da dor com analgésico, porém sem recuperação dos níveis pressóricos. Foi submetido à tomografia computadorizada de abdome, demonstrada na imagem.

Qual o diagnóstico provável e o tratamento indicado?
Provas
Em um homem de 64 anos, durante exame de rotina, detectou-se ao toque retal um nódulo em lobo prostático à esquerda, endurecido e indolor. Apresenta PSA total (T) de 0,5 ng/mL e densidade PSA T: 0,02. Qual deverá ser o próximo passo na abordagem desse paciente?
Provas
Homem de 32 anos, vítima de atropelamento, foi encaminhado pela equipe de resgaste ao pronto-socorro. Durante o exame físico, constatou-se fratura de quadril e uretrorragia. Assinale a alternativa que contempla a topografia da possível lesão uretral e o melhor exame para confirmação diagnóstica.
Provas
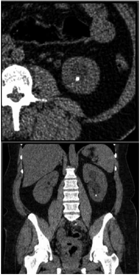
Mulher de 48 anos apresenta quadro de dor recorrente em região lombar à esquerda. Realizado tomografia de abdome total sem contraste (imagem demonstrada), que evidenciou cálculo em cálice inferior de 0,7 cm (400 UH). A análise da via de saída do cálice inferior demonstrou: ângulo infundíbulo-pielico de 95 graus e infundíbulo com comprimento de 1,0 cm.

Qual a melhor proposta para a paciente?
Provas
Caderno Container