Foram encontradas 1.580 questões.
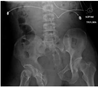
Mulher, 29 anos, sofreu queda de moto, evoluindo com perda de consciência e instabilidade hemodinâmica. Foi submetida à intubação orotraqueal e o e-FAST foi negativo em todos os pontos estudados. Realizou a radiografia demonstrada na imagem.

De acordo com os dados apresentados, assinale a alternativa correta.
Provas
Homem, 67 anos, é atendido no PS com quadro de dor abdominal com início há 06 hs, em pressão, de localização inicial em hipogástrio com posterior migração para fossa ilíaca esquerda (FIE), de forte intensidade. Apresenta febre aferida de 37,8 ºC, sem vômitos. Nega episódios anteriores. Ao exame físico, apresenta sensibilidade dolorosa em todo abdome inferior, mais acentuada em FIE, onde apresenta descompressão brusca positiva.
A hipótese diagnóstica é
Provas
Homem, 40 anos, com queixa de dor epigástrica tipo queimação e a sensação de vazio na região do estômago, foi encaminhado para endoscopia digestiva alta. Durante o exame, foi identificada na pequena curvatura gástrica uma úlcera pré-pilórica de 12 mm de diâmetro, de fundo branco e limpo, margens bem delimitadas e pregas de convergência uniforme para a borda da lesão. Pesquisa para H. Pylori positiva.
Qual a conduta recomendada para o caso?
Provas
Homem, 64 anos, com queixa de disfagia há 3 meses com piora progressiva e engasgos até com líquidos na última semana. Refere que apresenta queixa de pirose e regurgitação há muitos anos, porém, como os sintomas não eram tão intensos, nunca procurou um médico. Nega etilismo ou tabagismo. Ao exame físico: REG, desnutrido, corado, hidratado, peso 92 kg, altura 1,71 m. Tórax e abdome sem alterações. Solicitados exames laboratoriais sem alterações. Realizada endoscopia digestiva alta que evidenciou lesão estenosante em esôfago a 39 cm da ADS, impossibilitando a passagem do aparelho. Realizada passagem de sonda nasoenteral para nutrição e biopsias da lesão.
Em relação ao caso, é correto afirmar:
Provas
Mulher, 74 anos, queixa-se de disfagia há 1 ano com sensação de “bolo na garganta”, que piora a partir da metade da refeição que a faz interrompê-la. Acompanhando o quadro, apresenta halitose e “barulho” na região cervical durante a deglutição. Nega tabagismo e etilismo. Nega anorexia, perda de peso, odinofagia e rouquidão. Exame físico geral e específico sem alterações. Qual a principal hipótese diagnóstica e o exame padrão- -ouro para a doença em questão?
Provas
Homem, 54 anos, com megaesôfago secundário chagásico, sintomático, emagrecido (IMC=20 kg/m2), diagnosticado há um ano pela manometria e esofagograma, classificando o megaesôfago em grau II, sendo indicada cardiomiotomia extramucosa associada à fundoplicatura. Assinale a alternativa correta para a conduta desse paciente antes da intervenção cirúrgica.
Provas
Homem, 27 anos, obeso, refere azia que piora com alimentos condimentados há 5 meses, acompanhado de 3 episódios de impactação alimentar e regurgitação. Refere ter eczema de difícil controle. Foi solicitada uma endoscopia digestiva alta (EDA), cujos achados foram: anéis concêntricos fixos, exsudato granular, estrias verticais, edema com apagamento da trama vascular, estreitamento do calibre esofágico, estenoses e fragilidade da mucosa tipo “papel crepom”. Tais achados sugerem o diagnóstico de
Provas
Mulher, 32 anos, sobrepeso, atendente de telemarketing, tem queixas de sangramento às evacuações (ela visualiza sangue na água do vaso sanitário) e prurido. Refere também ter um nódulo, prolapsado durante as evacuações, porém que reduz sozinho. Refere que esses sintomas se exacerbaram durante a última gravidez há 2 anos e, no período de pandemia, relacionam-se com maior tempo sentada. Hábito intestinal: refere ser obstipada com evacuação a cada 3 a 5 dias. Nega etilismo e tabagismo. Pais vivos com saúde, sem história de neoplasia na família. De acordo com o enunciado, a principal hipótese diagnóstica é
Provas
Homem de 66 anos foi submetido à ressecção de lesão vegetante em base de língua à direita de 4,0 cm extensão. O exame histopatológico detectou extravasamento capsular do tumor, invasão perineural, invasão vascular, fixação a estruturas adjacentes e múltiplos linfonodos positivos. Diante desse resultado, o tratamento complementar a que o paciente deverá ser submetido é
Provas
Mulher, 46 anos, com nódulo tireoidiano incidental em ultrassom de rotina solicitado pela ginecologista há 1 mês. AP: nega comorbidades e alergias. HF: Nega histórico familiar de neoplasias. AP: nega tabagismo e etilismo. Ao Exame físico: bom estado geral, lúcida e orientada, hidratada, eupneica, corada. Cabeça e pescoço: tireoide tópica, fibroelástica, de volume habitual. Nota-se, à palpação de lobo esquerdo, a presença de nódulo de consistência endurecida, medindo cerca de 2,5 cm, móvel e indolor. Ultrassonografia de tireoide: presença de nódulo sólido, hipoecoico, com halo incompleto, mais alto do que largo, com vascularização central e microcalcificações de permeio medindo 2,5 x 1,4 cm em 1/3 médio do lobo esquerdo. Em relação ao caso relatado, assinale a alternativa correta.
Provas
Caderno Container