Foram encontradas 1.580 questões.
Homem de 70 anos refere em consulta sentir, há, aproximadamente, 3 meses, dor abdominal em fossa ilíaca esquerda, perda de sangue em pequena quantidade pelo ânus, afinamento das fezes e aumento do muco às evacuações. Perda de peso de 3 kg no período. Nega comorbidades. Exame físico: sinais vitais normais; abdome: dor de pequena intensidade em fossa ilíaca esquerda; toque retal: sem alterações e sem presença de sangue ao exame. A hipótese mais provável e o exame mais indicado para elucidação diagnóstica são, respectivamente:
Provas
Mulher, 30 anos, procura o pronto-socorro por estar sentindo dor intensa e espasmos esfincterianos precipitados por evacuações há mais de 2 meses. Menciona ainda manchas de sangue no papel higiênico e fezes com raias de sangue vivo ocasionalmente. Ao exame físico, observa- se ulceração linear na comissura anal posterior, plicoma anal e papila hipertrofiada (imagem demonstrada).

Desse modo, a alternativa que apresenta o diagnóstico mais provável para o caso descrito é:
Provas
Mulher, 62 anos, sem comorbidades, procura consultório médico com história de que foi submetida a uma colecistectomia videolaparoscópica eletiva por pólipo de vesícula biliar. A análise anatomopatológica da peça cirúrgica revelou um adenocarcinoma moderadamente diferenciado em pólipo adenomatoso da vesícula com infiltração da lesão restrita à mucosa, sem invasão da camada muscular (pT1a). Os exames de estadiamento não demonstram evidências de doença metastática ou locorregional. Qual a melhor recomendação para esse caso?
Provas
Homem, 68 anos, assintomático, comparece ao ambulatório de cirurgia trazendo exame de imagem, solicitado pelo seu urologista para controle da hiperplasia benigna da próstata, para avaliação. Realizou tomografia de abdome superior com contraste, evidenciando uma lesão cística de 1,8 cm, localizada na cabeça de pâncreas, com comunicação com o ducto pancreático secundário, sem envolvimento do ducto pancreático principal, com paredes finas, sem septos, sem conteúdo sólido intralesional. A hipótese diagnóstica e conduta inicial para o caso é:
Provas
Mulher, 46 anos, sobrepeso (IMC: 32 kg/m2) com antecedente de colelitíase, dá entrada na sala de urgência com quadro de icterícia ++/4+ e dor abdominal em mesogástrio, com irradiação para flancos e região dorsal. Ultrassonografia abdominal demonstrando dilatação de vias biliares. Baseado no diagnóstico etiológico da síndrome ictérica, foram solicitados exames. Quais resultados são esperados para o caso?
Provas
Mulher de 66 anos deu entrada na emergência com quadro de dor abdominal em fossa ilíaca esquerda há 2 dias, associada à febre baixa. Ao exame físico, encontra- se em regular estado geral, febril (37,8 ºC), estável hemodinamicamente. Apresenta abdome flácido, com dor localizada em fossa ilíaca esquerda com descompressão brusca positiva local. Assinale a alternativa que contempla a conduta mais adequada para com a paciente, nesse momento do seu atendimento.
Provas
Homem, 36 anos, vítima de múltiplos ferimentos por projéteis de arma de fogo, foi admitido no pronto-socorro de um hospital terciário após 20 minutos da ocorrência, apresentando: vias aéreas pérvias; semiologia torácica: MV diminuído em bases, Sat. = 94%; FC = 102 bpm, FR = 24 mrpm; PA = 98 x 68 mmHg; contactando, apesar de bastante agitado, ECG = 14. Orifício de entrada (OE) no 7º espaço intercostal esquerdo, linha axilar anterior, sem orifício de saída (OS); OE no hipocôndrio direito, com OS na região dorsal direita, na mesma altura. Abdome distendido, hiper timpânico, doloroso difusamente, DB +. A sequência no atendimento ao paciente deverá ser
Provas
Homem de 20 anos sofreu um acidente em competição de equitação (queda de cavalo). Dá entrada na emergência consciente, com paraplegia flácida de MMSS e MMII, abolição de todos os reflexos profundos do abdome e dos membros inferiores. PA=90/65 mmHg; P=56 bpm; perfusão < 2 seg.; pele quente e vermelha; constata-se paralisia completa dos membros, e perda de todas as modalidades de sensibilidade. E-FAST negativo em todos os focos. Pelve normal. Não há fraturas de extremidades. O diagnóstico do paciente relatado é choque
Provas
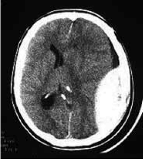
Homem de 43 anos dá entrada na emergência consciente e orientado, apresentando ferimento lacerocontuso em região parietal esquerda após sofrer queda da própria altura. Trazido pelo SAMU 192 (suporte básico) ao hospital, relatou que estava se sentindo bem, mas que não lembrava do que havia acontecido. Duas horas após sua admissão, enquanto aguardava realização de exames, o paciente perdeu a consciência. Na reavaliação do paciente, abertura ocular aos estímulos dolorosos, resposta verbal com sons incompreensíveis e resposta motora com reflexo de retirada; pupilas anisocóricas. Tomografia de crânio demonstrada.

Qual o provável diagnóstico e a topografia anatômica da lesão?
Provas
Homem de 25 anos chega ao hospital em choque hipovolêmico após ferimento por projétil de arma de fogo em abdome (hipocôndrio direito). Seu tipo sanguíneo é desconhecido. Após infusão rápida de 1 L de Ringer Lactato aquecido a 39 ºC por 2 veias antecubitais através de cateter jelco nº 14, o quadro de choque não se altera e é indicada laparotomia exploradora imediata. O que pode ser administrado ao paciente para reposição volêmica adequada antes da cirurgia?
Provas
Caderno Container