Foram encontradas 1.119 questões.
Paciente do sexo feminino, com 25 anos de idade, gestante de 20 semanas, iniciará o tratamento de tuberculose pulmonar bacilífera.
O esquema de tratamento de primeira escolha é
Provas
Leia o excerto a seguir:
O exame de PET-CT (tomografia por emissão de pósitrons – tomografia computadorizada) com fluordesoxiglicose marcado com Flúor-18 (PET-CT FDG), que combina imagens funcionais e anatômicas, é o padrão de atendimento de pacientes com câncer de pulmão, desempenhando papel importante no estadiamento clínico, na avaliação de resposta e planejamento do tratamento, bem como na detecção de doença recorrente, acompanhamento oncológico e previsão de prognóstico desses pacientes.
(Silmara Segala Gouveia – “PET-CT FDG no estadiamento do câncer de pulmão”. In: Pulmão RJ, 2023)
Entre os fatores que podem levar a um resultado falso-negativo do PET-CT na investigação de neoplasia pulmonar, está a
Provas
Analise o caso clínico a seguir para responder à questão.
Paciente do sexo feminino, de 40 anos de idade, procura atendimento de pneumologista, com queixa principal de tosse sem expectoração e dispneia progressiva, mais acentuada há 3 meses, sem melhora com antibióticos para germes comunitários e tratamento empírico para asma. Nega eventos anteriores, viagens e contactantes tossidores. A paciente está em investigação com reumatologista de fraqueza progressiva da cintura escapular e pélvica, fenômeno de Raynaud e mãos de mecânico. Ao exame, apresenta-se em bom estado geral, apesar de emagrecida, eupneica em repouso, murmúrio vesicular preservado e estertores crepitantes em bases pulmonares, com saturação periférica de oxigênio de 92% em ar ambiente, mas com dessaturação para 85% ao final do teste de caminhada de 6 minutos. Força grau IV em braços e coxas, manobra de Mingazzini positiva e mãos de mecânico. Restante do exame sem alterações. A paciente trouxe exames laboratoriais recentes: hemograma, função renal e eletrólitos sem alterações significativas, dosagem de creatinofosfoquinase de 310 U/L (normal < 192 U/L); anticorpos anti PL12 e anti JO positivos.
Provas
Analise o caso clínico a seguir para responder à questão.
Paciente do sexo feminino, de 40 anos de idade, procura atendimento de pneumologista, com queixa principal de tosse sem expectoração e dispneia progressiva, mais acentuada há 3 meses, sem melhora com antibióticos para germes comunitários e tratamento empírico para asma. Nega eventos anteriores, viagens e contactantes tossidores. A paciente está em investigação com reumatologista de fraqueza progressiva da cintura escapular e pélvica, fenômeno de Raynaud e mãos de mecânico. Ao exame, apresenta-se em bom estado geral, apesar de emagrecida, eupneica em repouso, murmúrio vesicular preservado e estertores crepitantes em bases pulmonares, com saturação periférica de oxigênio de 92% em ar ambiente, mas com dessaturação para 85% ao final do teste de caminhada de 6 minutos. Força grau IV em braços e coxas, manobra de Mingazzini positiva e mãos de mecânico. Restante do exame sem alterações. A paciente trouxe exames laboratoriais recentes: hemograma, função renal e eletrólitos sem alterações significativas, dosagem de creatinofosfoquinase de 310 U/L (normal < 192 U/L); anticorpos anti PL12 e anti JO positivos.
Provas
Analise o caso clínico a seguir para responder à questão.
Paciente do sexo feminino, de 40 anos de idade, procura atendimento de pneumologista, com queixa principal de tosse sem expectoração e dispneia progressiva, mais acentuada há 3 meses, sem melhora com antibióticos para germes comunitários e tratamento empírico para asma. Nega eventos anteriores, viagens e contactantes tossidores. A paciente está em investigação com reumatologista de fraqueza progressiva da cintura escapular e pélvica, fenômeno de Raynaud e mãos de mecânico. Ao exame, apresenta-se em bom estado geral, apesar de emagrecida, eupneica em repouso, murmúrio vesicular preservado e estertores crepitantes em bases pulmonares, com saturação periférica de oxigênio de 92% em ar ambiente, mas com dessaturação para 85% ao final do teste de caminhada de 6 minutos. Força grau IV em braços e coxas, manobra de Mingazzini positiva e mãos de mecânico. Restante do exame sem alterações. A paciente trouxe exames laboratoriais recentes: hemograma, função renal e eletrólitos sem alterações significativas, dosagem de creatinofosfoquinase de 310 U/L (normal < 192 U/L); anticorpos anti PL12 e anti JO positivos.
Provas
Provas
Provas
Com o fácil acesso à tomografia de tórax em serviços de saúde, achados como nódulos pulmonares e calcificações têm sido frequentes, mesmo em pacientes saudáveis e sem histórico de tabagismo.
A apresentação de calcificação pulmonar que sugere malignidade é
Provas
É considerado abandono do tratamento para tuberculose quando o paciente, após ter iniciado o tratamento, deixa de comparecer à unidade de saúde por mais de 30 dias consecutivos após a data aprazada para seu retorno. Os fatores mais citados como motivadores do abandono do tratamento são melhora dos sintomas, abuso de drogas e álcool, falta de conhecimento sobre a doença, problemas financeiros e familiares.
Qual a conduta inicial indicada pelo Ministério da Saúde para reingressos após abandono, com suspeita de recidiva de tuberculose pulmonar ou laríngea, tendo como referência o Manual de Recomendações para o Controle da Tuberculose no Brasil?
Provas
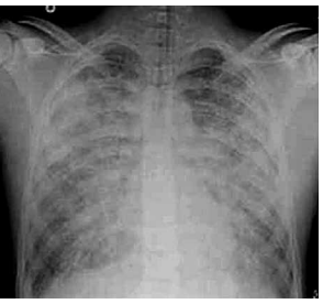
Analise o caso clínico a seguir para responder à questão.
Você é chamado para discutir o caso de um paciente internado na UTI há 3 dias, com diagnóstico de síndrome do desconforto respiratório agudo (SDRA), em ventilação mecânica de difícil manejo. Histórico: Paciente masculino, de 27 anos de idade, hipertenso e dislipidêmico, busca atendimento hospitalar devido a febre, tosse e dispneia há 3 dias. Na admissão, apresentava-se com sinais de choque séptico e franca insuficiência respiratória. Na ausculta pulmonar, estertores creptantes presentes difusamente. O paciente foi encaminhado à UTI e submetido à ventilação mecânica, além de suporte clínico e prescrição farmacológica.
Parâmetros da ventilação mecânica atual: modo: ventilação assistida controlada; ciclagem: volume controlada; volume corrente: 6 mL/Kg; PEEP: 12 cm H2 O; FiO2 : 70%; FR: 30 ipm;relação. Inspiração: expiração: 1:1; pressão de Platô: 30 cm H2 O. Última gasometria: pH 7,22; PaO2 62 mmHg; PaCO2 69 mmHg; BE: –1,4 mmol/L; SaO2 86%; bicarbonato 20 mEq/L.
Exame de imagem:

(Disponível em: https://resources.wfsahq.org/ atotw/sindrome-do-desconforto-respiratorio-agudo/)
Provas
Caderno Container