Foram encontradas 1.119 questões.
Com relação aos procedimentos terapêuticos realizados
na UTI pediátrica e aos seus riscos, assinale a alternativa
correta.
Provas
Questão presente nas seguintes provas
Visando à estabilização e ao bem-estar físico e psicológico
de uma criança admitida na UTI devido a maus-tratos, o
manejo inicial adequado envolve a conduta essencial de
Provas
Questão presente nas seguintes provas
Assinale a alternativa que descreve corretamente a melhor
abordagem clínica recomendada para o diagnóstico e o
tratamento de acidentes comuns envolvendo crianças.
Provas
Questão presente nas seguintes provas
Assinale a alternativa que descreve corretamente um dos
principais fatores que influenciam os índices de morbimortalidade relacionados aos acidentes com crianças no
Brasil.
Provas
Questão presente nas seguintes provas
Em uma unidade de terapia intensiva pediátrica, observou-se um aumento da incidência de infecções relacionadas à assistência à saúde, especialmente aquelas causadas por organismos multirresistentes.
A estratégia que apresenta maior eficácia na prevenção de infecções hospitalares nessas condições consiste
A estratégia que apresenta maior eficácia na prevenção de infecções hospitalares nessas condições consiste
Provas
Questão presente nas seguintes provas
Uma criança de 10 meses foi internada devido a uma
pneumonia causada por Streptococcus pneumoniae,
associada a infecção por covid-19, e evoluiu com síndrome de desconforto respiratório agudo pediátrico, choque séptico, disfunção de múltiplos órgãos e sistemas e
hemorragia cerebral intraparenquimatosa bilateral com
evolução para pupilas médio-fixas. A criança, portadora
da síndrome de Down e da síndrome de West, vinha em
uso de altas doses de corticosteroide para o controle da
síndrome de West. Foi realizado USG de SNC com doppler, que mostrou ausência de fluxo cerebral, e a criança
evoluiu a óbito.
Com base nesse contexto, assinale a alternativa que apresenta a ordem correta de colocação das causas do óbito no preenchimento do atestado de óbito.
Com base nesse contexto, assinale a alternativa que apresenta a ordem correta de colocação das causas do óbito no preenchimento do atestado de óbito.
Provas
Questão presente nas seguintes provas
Uma criança de 6 anos foi submetida à retirada de um
tumor cerebral (provável meduloblastoma), sem intercorrências. Agora se encontra no pós-operatório imediato.
Qual das estratégias a seguir é mais crítica para prevenir complicações neurológicas no período pós-operatório?
Qual das estratégias a seguir é mais crítica para prevenir complicações neurológicas no período pós-operatório?
Provas
Questão presente nas seguintes provas
Lactente de 8 meses, que era portador de cirrose hepática por atresia das vias biliares sem cirurgia prévia, foi submetido
a um transplante hepático com doador vivo aparentado (pai). O transplante transcorreu sem intercorrências, com peso do
enxerto 3%, anastomoses boas de artéria hepática e veia porta, dreno abdominal com saída de secreção serossanguínea,
sonda nasogástrica aberta, sonda vesical de demora, pressão arterial invasiva na artéria radial esquerda, cateter de duplo
lúmen na jugular interna direita. O anestesista informa que realizou bloqueios abdominais no final da cirurgia. O lactente
chega à UTI sedado, recebendo noradrenalina (0,02 mcg/kg/min), com PA estável, em ventilação mecânica controlada,
saturando 99% em FiO2
de 35%, pressão controlada de 10 sobre PEEP de 6 com volume corrente adequado.
Assinale a alternativa correta com relação aos cuidados de pós-operatório e às metas assistenciais a serem alcançadas.
Assinale a alternativa correta com relação aos cuidados de pós-operatório e às metas assistenciais a serem alcançadas.
Provas
Questão presente nas seguintes provas
Uma criança de 3 anos, 15 kg, portadora de leucemia linfoide aguda, recebeu quimioterapia ambulatoriamente há sete
dias e está internada na UTI pediátrica, proveniente do ambulatório, por quadro de neutropenia febril. Ao exame clínico
de entrada na UTI, encontra-se sonolenta e só reagindo a estímulos dolorosos; sem abertura ocular; gemente; com
retirada inespecífica a dor; descorada; com frequência respiratória igual a 55; retração intercostal, subdiafragmática e
de fúrcula; saturação de 81% em máscara não reinalante; ausculta pulmonar com roncos esparsos; pressão arterial de
72 x 35; frequência cardíaca igual a 175; pulsos finos; tempo de enchimento capilar de 0,5 segundo; hiperemia em
região do tórax anterior, onde tem um cateter implantado; petéquias e sufusões hemorrágicas nos membros; temperatura
de 38,8 ºC. Foi transferida recebendo segunda expansão de 20 mL/kg de soro fisiológico, 30 minutos após entrada no
centro de oncologia.
Assinale a alternativa que apresenta corretamente os diagnósticos e o tratamento inicial adequado.
Assinale a alternativa que apresenta corretamente os diagnósticos e o tratamento inicial adequado.
Provas
Questão presente nas seguintes provas
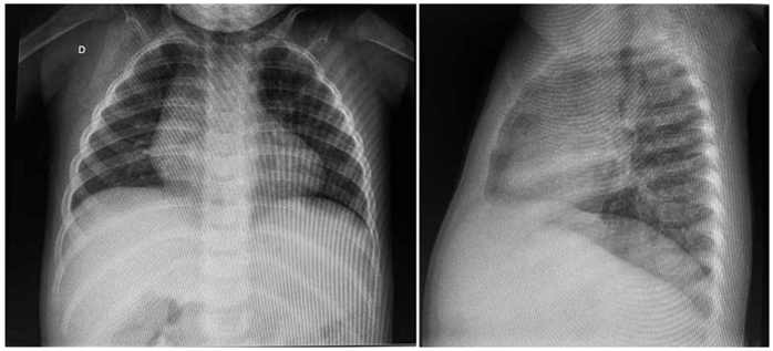
Criança de 1 ano e 11 meses, 12 kg, com histórico de tosse persistente há cerca de 15 dias, deu entrada no pronto-socorro. A partir da hipótese diagnóstica de estado de mal asmático, a criança recebeu salbutamol em nebulização três
vezes sem melhora, metilprednisolona 2 mg/kg e sulfato de magnésio 50 mg/kg em 30 minutos. Como não houve melhora,
optou-se por instalar cateter nasal de alto fluxo, 20 litros/minuto com FiO2
de 50%; com isso, manteve-se saturação de
oxigênio de 92%. O paciente foi encaminhado para a UTI com desconforto respiratório moderado, frequência respiratória
de 55, retração intercostal e subdiafragmática, estável hemodinamicamente. A família nega broncoespasmo pregresso e
infecção de vias aéreas superiores – mas a irmã mais velha, de 5 anos, teve gripe há uma semana – e relata que a criança
teria melhorado após uso de prednisolona por cinco dias, mas depois voltou a tossir e, de ontem para hoje, apresentou
piora do desconforto respiratório. Relata ainda que a criança sofreu um engasgo durante o almoço há cerca de 15 dias,
comendo arroz integral. Já havia passado em consulta com o pediatra e também fez uma avaliação com um pneumologista, que a medicou com salbutamol e prednisolona .
A figura a seguir apresenta a radiografia de tórax dessa paciente:

(Arquivo pessoal; imagem usada com autorização)
Nesse caso, a hipótese diagnóstica e a conduta corretas são, respectivamente:
A figura a seguir apresenta a radiografia de tórax dessa paciente:

(Arquivo pessoal; imagem usada com autorização)
Nesse caso, a hipótese diagnóstica e a conduta corretas são, respectivamente:
Provas
Questão presente nas seguintes provas
Cadernos
Caderno Container