Foram encontradas 1.119 questões.
Com relação às diretrizes do PALICC-2 de 2023 para suporte ventilatório na síndrome do desconforto respiratório agudo
pediátrico (PARDS), assinale a alternativa que corresponde corretamente às diretrizes mais recentemente publicadas.
Provas
Questão presente nas seguintes provas
De acordo com as diretrizes mais recentes (PALICC-2, 2023), qual dos critérios a seguir é mais crítico para o diagnóstico
de PARDS (síndrome do desconforto respiratório agudo pediátrico), em uma criança ventilada de forma não invasiva?
Provas
Questão presente nas seguintes provas
Uma lactente de 3,5 meses, pesando 6 kg e com uma superfície corpórea de 0,42 m2, deu entrada na UTI pediátrica com
um quadro de insuficiência respiratória franca decorrente de uma pneumonia. Optou-se pela intubação, e foi iniciada pré-oxigenação.
Com relação à pré-oxigenação nessa criança, assinale a alternativa correta.
Com relação à pré-oxigenação nessa criança, assinale a alternativa correta.
Provas
Questão presente nas seguintes provas
De acordo com as diretrizes da AHA 2020, assinale a alternativa que apresenta corretamente a abordagem mais adequada para o manejo de uma criança com insuficiência respiratória aguda e hipoxemia persistente, apesar do uso de oxigênio
suplementar em alto fluxo.
Provas
Questão presente nas seguintes provas
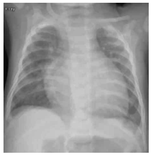
Uma lactente de 5 meses, do sexo feminino, foi internada na UTI com uma hipótese diagnóstica de choque séptico.
Apresenta síndrome de Down e defeito do septo atrioventricular com moderada repercussão. Está em uso de carvedilol,
captopril e furosemida. Aguarda agendamento cirúrgico para correção total da cardiopatia. Vem apresentando febre, há
três dias, de até 38 ºC. Realizou-se raio-X do tórax (figura a seguir), administrou-se a primeira dose de ceftriaxona, e a
paciente foi encaminhada para a UTI.

(Arquivo pessoal; imagem usada com autorização)
Ao exame físico, encontra-se sonolenta, mas abre os olhos ao chamado. Frequência respiratória: 65; batimento de aleta nasal; retração intercostal e subdiafragmática; saturação de 91% com máscara não reinalante 15 L/minuto; FC: 175; tempo de enchimento capilar de 5 segundos; pressão arterial: 75 x 55. Ausculta cardíaca: bulhas rítmicas normofonéticas com sopro sistólico +++. Ausculta pulmonar: murmúrio vesicular presente bilateralmente com estertoração crepitante bilateral nas bases. Abdome: globoso, flácido, doloroso à palpação do hipocôndrio direito, com fígado palpável a 4 cm do rebordo costal direito.
Com relação à hipótese diagnóstica e à conduta adequada, é correto afirmar que se trata de choque

(Arquivo pessoal; imagem usada com autorização)
Ao exame físico, encontra-se sonolenta, mas abre os olhos ao chamado. Frequência respiratória: 65; batimento de aleta nasal; retração intercostal e subdiafragmática; saturação de 91% com máscara não reinalante 15 L/minuto; FC: 175; tempo de enchimento capilar de 5 segundos; pressão arterial: 75 x 55. Ausculta cardíaca: bulhas rítmicas normofonéticas com sopro sistólico +++. Ausculta pulmonar: murmúrio vesicular presente bilateralmente com estertoração crepitante bilateral nas bases. Abdome: globoso, flácido, doloroso à palpação do hipocôndrio direito, com fígado palpável a 4 cm do rebordo costal direito.
Com relação à hipótese diagnóstica e à conduta adequada, é correto afirmar que se trata de choque
Provas
Questão presente nas seguintes provas
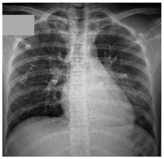
Uma criança de 11 anos deu entrada no pronto-socorro com cefaleia e dor torácica associadas à temperatura de 38,5 ºC.
Clinicamente, apresentava uma ausculta com diminuição do murmúrio vesicular na base esquerda, tempo de enchimento
capilar de 4 segundos e pressão arterial de 90 x 55. Foi puncionado acesso venoso, foram iniciadas expansões volêmicas
de 20 mL/kg por duas vezes no pronto-socorro, e a criança foi encaminhada para a UTI. Foram solicitados exames laboratoriais e raio-X de tórax (figura a seguir). Na entrada na UTI, constatou-se PA igual a 66 x 40.
Hemograma: Hb: 14,3; Ht: 42,5; leucócitos: 9.500 (3 metamielócitos; 7 bastonetes; 73 segmentados; 1 eosinófilo; 0 basófilo; 14 linfócitos; 2 monócitos); plaquetas: 200.000; PCR: 13,9 mg/dL (normal: abaixo de 0,5 mg/dL); TGO: 15; TGP: 15; CPK: 64; D-dímero: 226; troponina T de alta sensibilidade: 7,27 ng/L (normal: inferior a 14 ng/L).

(Arquivo pessoal; imagem usada com autorização)
Com relação à hipótese diagnóstica, à conduta realizada no pronto-socorro (PS) e à conduta a ser realizada na UTI, assinale a alternativa correta.
Hemograma: Hb: 14,3; Ht: 42,5; leucócitos: 9.500 (3 metamielócitos; 7 bastonetes; 73 segmentados; 1 eosinófilo; 0 basófilo; 14 linfócitos; 2 monócitos); plaquetas: 200.000; PCR: 13,9 mg/dL (normal: abaixo de 0,5 mg/dL); TGO: 15; TGP: 15; CPK: 64; D-dímero: 226; troponina T de alta sensibilidade: 7,27 ng/L (normal: inferior a 14 ng/L).

(Arquivo pessoal; imagem usada com autorização)
Com relação à hipótese diagnóstica, à conduta realizada no pronto-socorro (PS) e à conduta a ser realizada na UTI, assinale a alternativa correta.
Provas
Questão presente nas seguintes provas
O escore de Phoenix é uma ferramenta utilizada para
avaliar a gravidade do choque séptico em pacientes
pediátricos.
Assinale a alternativa que descreve corretamente um valor avaliado por esse escore e sua possível implicação clínica.
Assinale a alternativa que descreve corretamente um valor avaliado por esse escore e sua possível implicação clínica.
Provas
Questão presente nas seguintes provas
Um bebê de 1 mês de vida, internado na unidade de
terapia intensiva por uma bronquiolite desencadeada
pelo vírus sincicial respiratório, está no quarto dia de evolução da doença, recebendo nebulização de oxigênio.
O médico é chamado pela enfermagem para avaliá-lo,
pois o paciente se encontra muito cansado. Ao entrar no
leito, o médico encontra o bebê sonolento, com respiração lenta (uma respiração a cada doze segundos) e cianótico. No monitor cardíaco, a frequência cardíaca é de
51, e a saturação não mostra nenhum valor.
Assinale a alternativa que apresenta corretamente a conduta a ser tomada de forma imediata.
Assinale a alternativa que apresenta corretamente a conduta a ser tomada de forma imediata.
Provas
Questão presente nas seguintes provas
Durante a ressuscitação cardiopulmonar em uma criança
com ritmo chocável, qual é a sequência recomendada de
ações após a primeira desfibrilação, incluindo o uso de
medicamentos, conforme as diretrizes da American Heart
Association de 2020?
Provas
Questão presente nas seguintes provas
Como deve ser interpretada a coleta de urina na infecção
do trato urinário na infância?
Provas
Questão presente nas seguintes provas
Cadernos
Caderno Container