Foram encontradas 1.680 questões.
Paciente do sexo feminino, de 27 anos de idade, casada, técnica de enfermagem de uma unidade de pronto atendimento (UPA), comparece ao setor de emergência com queixa de dispneia havia 1 semana e indisposição, havia 1 mês. Era tabagista ativa e não fazia uso de medicações regularmente. Na história ginecológica da paciente, não havia particularidades, a anticoncepção era realizada com preservativo masculino. Ao exame físico, apresentou-se em bom estado geral, hidratada e com sinais vitais estáveis. ausculta pulmonar, o murmúrio estava abolido no terço inferior do hemitórax direito. Nos exames complementares, o hemograma estava normal, as sorologias negativas. A imagem a seguir mostra o Raio X de tórax da paciente.

Considerando o caso clínico apresentado, julgue os itens a seguir.
Provas
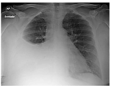
Paciente do sexo feminino, de 25 anos de idade, estudante universitária, tinha história de asma intermitente na infância, sem necessidade de uso de broncodilatador havia quase 10 anos e uso diário de medicações. Compareceu à emergência relatando mal-estar, febre e tosse produtiva havia 12 dias. Nos últimos 2 dias, tinha havido piora da tosse, febre persistente apesar do uso de antitérmicos, inapetência e início de dor torácica próxima ao mamilo direito, principalmente à inspiração profunda. Ao exame físico, havia diminuição do murmúrio vesicular no terço inferior do hemitórax esquerdo e macicez à percussão. O hemograma indicou leucocitose com 12% de formas jovens. A imagem a seguir mostra o Raio X de tórax da paciente.

Considerando o caso clínico apresentado e considerando os conhecimentos médicos a ele correlatos, julgue os itens a seguir.
Provas
Paciente do sexo feminino, de 25 anos de idade, estudante universitária, tinha história de asma intermitente na infância, sem necessidade de uso de broncodilatador havia quase 10 anos e uso diário de medicações. Compareceu à emergência relatando mal-estar, febre e tosse produtiva havia 12 dias. Nos últimos 2 dias, tinha havido piora da tosse, febre persistente apesar do uso de antitérmicos, inapetência e início de dor torácica próxima ao mamilo direito, principalmente à inspiração profunda. Ao exame físico, havia diminuição do murmúrio vesicular no terço inferior do hemitórax esquerdo e macicez à percussão. O hemograma indicou leucocitose com 12% de formas jovens. A imagem a seguir mostra o Raio X de tórax da paciente.

Considerando o caso clínico apresentado e considerando os conhecimentos médicos a ele correlatos, julgue os itens a seguir.
Provas
Paciente do sexo feminino, de 25 anos de idade, estudante universitária, tinha história de asma intermitente na infância, sem necessidade de uso de broncodilatador havia quase 10 anos e uso diário de medicações. Compareceu à emergência relatando mal-estar, febre e tosse produtiva havia 12 dias. Nos últimos 2 dias, tinha havido piora da tosse, febre persistente apesar do uso de antitérmicos, inapetência e início de dor torácica próxima ao mamilo direito, principalmente à inspiração profunda. Ao exame físico, havia diminuição do murmúrio vesicular no terço inferior do hemitórax esquerdo e macicez à percussão. O hemograma indicou leucocitose com 12% de formas jovens. A imagem a seguir mostra o Raio X de tórax da paciente.

Considerando o caso clínico apresentado e considerando os conhecimentos médicos a ele correlatos, julgue os itens a seguir.
Provas
Paciente do sexo feminino, de 25 anos de idade, estudante universitária, tinha história de asma intermitente na infância, sem necessidade de uso de broncodilatador havia quase 10 anos e uso diário de medicações. Compareceu à emergência relatando mal-estar, febre e tosse produtiva havia 12 dias. Nos últimos 2 dias, tinha havido piora da tosse, febre persistente apesar do uso de antitérmicos, inapetência e início de dor torácica próxima ao mamilo direito, principalmente à inspiração profunda. Ao exame físico, havia diminuição do murmúrio vesicular no terço inferior do hemitórax esquerdo e macicez à percussão. O hemograma indicou leucocitose com 12% de formas jovens. A imagem a seguir mostra o Raio X de tórax da paciente.

Considerando o caso clínico apresentado e considerando os conhecimentos médicos a ele correlatos, julgue os itens a seguir.
Provas
Paciente do sexo feminino, de 25 anos de idade, estudante universitária, tinha história de asma intermitente na infância, sem necessidade de uso de broncodilatador havia quase 10 anos e uso diário de medicações. Compareceu à emergência relatando mal-estar, febre e tosse produtiva havia 12 dias. Nos últimos 2 dias, tinha havido piora da tosse, febre persistente apesar do uso de antitérmicos, inapetência e início de dor torácica próxima ao mamilo direito, principalmente à inspiração profunda. Ao exame físico, havia diminuição do murmúrio vesicular no terço inferior do hemitórax esquerdo e macicez à percussão. O hemograma indicou leucocitose com 12% de formas jovens. A imagem a seguir mostra o Raio X de tórax da paciente.

Considerando o caso clínico apresentado e considerando os conhecimentos médicos a ele correlatos, julgue os itens a seguir.
Provas
Paciente do sexo masculino, de 57 anos de idade, com diagnóstico de carcinoma epidermoide de pulmão no lobo superior direito, medindo 2,5 cm x 2,3 cm, realizou estadiamento sistêmico com ressonância de crânio e PET-CT, sem evidência de lesões à distância. Na imagem do tórax, havia linfonodos no limite superior da normalidade. Realizou mediastinoscopia com biópsia de linfonodo subcarinal e paratraqueais bilateralmente, sem evidência de implantes.
No que se refere ao tratamento cirúrgico do câncer de pulmão e considerando o caso clínico apresentado, julgue os itens a seguir.
Provas
Paciente do sexo masculino, de 57 anos de idade, com diagnóstico de carcinoma epidermoide de pulmão no lobo superior direito, medindo 2,5 cm x 2,3 cm, realizou estadiamento sistêmico com ressonância de crânio e PET-CT, sem evidência de lesões à distância. Na imagem do tórax, havia linfonodos no limite superior da normalidade. Realizou mediastinoscopia com biópsia de linfonodo subcarinal e paratraqueais bilateralmente, sem evidência de implantes.
No que se refere ao tratamento cirúrgico do câncer de pulmão e considerando o caso clínico apresentado, julgue os itens a seguir.
Provas
Paciente do sexo masculino, de 57 anos de idade, com diagnóstico de carcinoma epidermoide de pulmão no lobo superior direito, medindo 2,5 cm x 2,3 cm, realizou estadiamento sistêmico com ressonância de crânio e PET-CT, sem evidência de lesões à distância. Na imagem do tórax, havia linfonodos no limite superior da normalidade. Realizou mediastinoscopia com biópsia de linfonodo subcarinal e paratraqueais bilateralmente, sem evidência de implantes.
No que se refere ao tratamento cirúrgico do câncer de pulmão e considerando o caso clínico apresentado, julgue os itens a seguir.
Provas
Paciente do sexo feminino, 54 anos de idade, tabagista (índice tabágico de 40 maços por ano), compareceu à emergência com queixa de perda de peso, dispneia progressiva havia um mês, com piora nos últimos dias, e inapetência. O Raio X do tórax evidenciou derrame pleural à direita. Foi realizada toracocentese em que se extraiu 600 mL de líquido seroso. A análise citopatológica detectou a presença de células malignas. No raio X de tórax de controle pós-procedimento, foi identificada lesão em lobo inferior.
No que se refere a derrame pleural neoplásico e considerando o caso clínico apresentado, julgue os itens a seguir.
Provas
Caderno Container