Foram encontradas 361 questões.
Um paciente de 45 anos de idade, previamente hígido, passa a apresentar, de caráter progressivo, disfagia para sólidos e líquidos. Eventualmente, manifesta alguns episódios de dor torácica, motivo que o levou á investigação cardiológica , que afastou causa cardíaca da dor. A endoscopia digestiva alta mostra-se normal. Em exame radiológico contrastado , constata-se esôfago distal afunilado, com configuração de "bico de pássaro", dilatação proximal do órgão, algumas vezes, com níveis hidroaéreos e ausência da bolha gástrica. Com base nesse caso clínico e nos conhecimentos médicos correlatos, julgue os itens a seguir.
Na manometria esofágica desse paciente, espera-se encontrar aperistalse no terço distal do esôfago, acompanhada de hipotonia do esfíncter esofágico inferior.
Provas
Um paciente de 45 anos de idade, previamente hígido, passa a apresentar, de caráter progressivo, disfagia para sólidos e líquidos. Eventualmente, manifesta alguns episódios de dor torácica, motivo que o levou á investigação cardiológica , que afastou causa cardíaca da dor. A endoscopia digestiva alta mostra-se normal. Em exame radiológico contrastado , constata-se esôfago distal afunilado, com configuração de "bico de pássaro", dilatação proximal do órgão, algumas vezes, com níveis hidroaéreos e ausência da bolha gástrica. Com base nesse caso clínico e nos conhecimentos médicos correlatos, julgue os itens a seguir.
Espasmo esofagiano difuso é o diagnóstico provável.
Provas
Um paciente de 49 anos de idade é vítima de acidente automobilístico. Era ciclista e foi atropelado por um carro. Após avaliação primária no serviço de emergência da cidade, constatou-se não haver indício de lesões intratorácicas ou intra-abdominais graves. O paciente estava conversando , com pontuação = 15 na escala de c01na de Glasgow, sendo afastadas hipóteses de ferimentos no tórax. Foram identificadas, no entanto, fratura de pelve em livro aberto e fratura exposta da perna direita, além de conteúdo hemático na uretra. O paciente está com os sinais vitais estáveis no momento da admissão, com FC = 99 bpm, PA = 120 mmHg x 60 mmHg, FR = 20 irpm e Sat02 = 98% com óculos nasal a dois L/min. Após a chegada, apresentou he1natúria macroscópica.
Em relação a esse caso clínico e aos conhecimentos médicos correlatados, julgue os itens a seguir.
O paciente desse caso clínico deve ser submetido, no preparo pré-operatório , á sondagem vesical de demora.
Provas
Um paciente de 49 anos de idade é vítima de acidente automobilístico. Era ciclista e foi atropelado por um carro. Após avaliação primária no serviço de emergência da cidade, constatou-se não haver indício de lesões intratorácicas ou intra-abdominais graves. O paciente estava conversando , com pontuação = 15 na escala de c01na de Glasgow, sendo afastadas hipóteses de ferimentos no tórax. Foram identificadas, no entanto, fratura de pelve em livro aberto e fratura exposta da perna direita, além de conteúdo hemático na uretra. O paciente está com os sinais vitais estáveis no momento da admissão, com FC = 99 bpm, PA = 120 mmHg x 60 mmHg, FR = 20 irpm e Sat02 = 98% com óculos nasal a dois L/min. Após a chegada, apresentou he1natúria macroscópica.
Em relação a esse caso clínico e aos conhecimentos médicos correlatados, julgue os itens a seguir.
Em razão da fratura exposta, além de lavagem exaustiva do membro fraturado, indica-se antibioticoterapia.
Provas
Um paciente de 49 anos de idade é vítima de acidente automobilístico. Era ciclista e foi atropelado por um carro. Após avaliação primária no serviço de emergência da cidade, constatou-se não haver indício de lesões intratorácicas ou intra-abdominais graves. O paciente estava conversando , com pontuação = 15 na escala de c01na de Glasgow, sendo afastadas hipóteses de ferimentos no tórax. Foram identificadas, no entanto, fratura de pelve em livro aberto e fratura exposta da perna direita, além de conteúdo hemático na uretra. O paciente está com os sinais vitais estáveis no momento da admissão, com FC = 99 bpm, PA = 120 mmHg x 60 mmHg, FR = 20 irpm e Sat02 = 98% com óculos nasal a dois L/min. Após a chegada, apresentou he1natúria macroscópica.
Em relação a esse caso clínico e aos conhecimentos médicos correlatados, julgue os itens a seguir.
Esse paciente tem indicação de fixação da pelve no bloco cirúrgico.
Provas
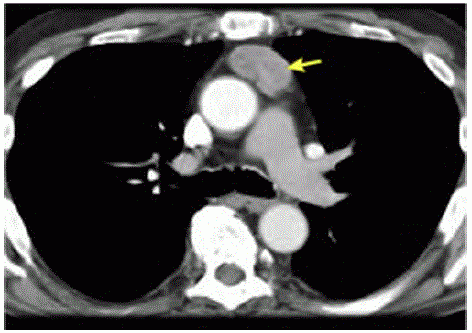
Ulna paciente de 47 anos de idade, com sint01nas gripais agudos, realizou exames de imagem de tórax por suspeita de Covid-19. A hipótese não se confirmou, porém a tomografia computadorizada de tórax, representada pela imagem a seguir, evidenciou uma massa heterogênea de contornos bem definidos em topografia de mediastino anterior, em localização de timo, de aproximadamente 4,5 cm x 2,9 cm. Não apresentava linfonodos aumentados no exame de imagem. Realizaram-se , ainda, tomografias computadorizadas de encéfalo e de abdome, que não mostraram alterações.

Acervo Pessoal
Tendo em vista esse caso clínico e os conhecimentos médicos correlatados, julgue os itens a seguir.
Espera-se, na investigação pré-operatória, presença elevada de alfafetoproteína e beta-HGC.
Provas
Ulna paciente de 47 anos de idade, com sint01nas gripais agudos, realizou exames de imagem de tórax por suspeita de Covid-19. A hipótese não se confirmou, porém a tomografia computadorizada de tórax, representada pela imagem a seguir, evidenciou uma massa heterogênea de contornos bem definidos em topografia de mediastino anterior, em localização de timo, de aproximadamente 4,5 cm x 2,9 cm. Não apresentava linfonodos aumentados no exame de imagem. Realizaram-se , ainda, tomografias computadorizadas de encéfalo e de abdome, que não mostraram alterações.

Acervo Pessoal
Tendo em vista esse caso clínico e os conhecimentos médicos correlatados, julgue os itens a seguir.
Para diagnóstico diferencial de linfoma de mediastino anterior, a conduta é biópsia transtorácica guiada por tomografia de tórax. Caso se confirme, o tratamento deverá ser feito com quimioterapia no primeiro momento , ficando a cirurgia de ressecção apenas para tumor residual.
Provas
Ulna paciente de 47 anos de idade, com sint01nas gripais agudos, realizou exames de imagem de tórax por suspeita de Covid-19. A hipótese não se confirmou, porém a tomografia computadorizada de tórax, representada pela imagem a seguir, evidenciou uma massa heterogênea de contornos bem definidos em topografia de mediastino anterior, em localização de timo, de aproximadamente 4,5 cm x 2,9 cm. Não apresentava linfonodos aumentados no exame de imagem. Realizaram-se , ainda, tomografias computadorizadas de encéfalo e de abdome, que não mostraram alterações.

Acervo Pessoal
Tendo em vista esse caso clínico e os conhecimentos médicos correlatados, julgue os itens a seguir.
A lesão em apresentada na imagem pode estar associada a doenças autoimunes, como lúpus eritematoso sistémico, artrite reumatoide , anemia perniciosa e tireoidite.
Provas
Ulna paciente de 47 anos de idade, com sint01nas gripais agudos, realizou exames de imagem de tórax por suspeita de Covid-19. A hipótese não se confirmou, porém a tomografia computadorizada de tórax, representada pela imagem a seguir, evidenciou uma massa heterogênea de contornos bem definidos em topografia de mediastino anterior, em localização de timo, de aproximadamente 4,5 cm x 2,9 cm. Não apresentava linfonodos aumentados no exame de imagem. Realizaram-se , ainda, tomografias computadorizadas de encéfalo e de abdome, que não mostraram alterações.

Acervo Pessoal
Tendo em vista esse caso clínico e os conhecimentos médicos correlatados, julgue os itens a seguir.
Em pacientes portadores de miastenia gravis, deve ser evitado o uso de relaxantes musculares no momento da indução anestésica para ressecção dos tumores de mediastino associados.
Provas
Ulna paciente de 47 anos de idade, com sint01nas gripais agudos, realizou exames de imagem de tórax por suspeita de Covid-19. A hipótese não se confirmou, porém a tomografia computadorizada de tórax, representada pela imagem a seguir, evidenciou uma massa heterogênea de contornos bem definidos em topografia de mediastino anterior, em localização de timo, de aproximadamente 4,5 cm x 2,9 cm. Não apresentava linfonodos aumentados no exame de imagem. Realizaram-se , ainda, tomografias computadorizadas de encéfalo e de abdome, que não mostraram alterações.

Acervo Pessoal
Tendo em vista esse caso clínico e os conhecimentos médicos correlatados, julgue os itens a seguir.
A paciente descrita pode ser portadora de miastenia gravis.
Provas
Caderno Container