Foram encontradas 1.670 questões.
Um paciente de 65 anos de idade, com boa reserva funcional avaliada pela espirometria (VeF1 > 2 L), é candidato a pneumonectomia. Apresenta um carcinoma epidermoide de pulmão justa-hilar à esquerda, de 3,2 cm, que invade a carena interlobar. Constatam-se estadiamentos a distância negativos para metástase e mediastinoscopia pré-operatória com linfonodos normais.
Com base nesse caso clínico e nos conhecimentos médicos correlatos, julgue os itens a seguir.
Trata-se de um tumor classificado como T2 por invadir o brônquio, mas não a carena traqueal.
Provas
Um paciente de 65 anos de idade, com boa reserva funcional avaliada pela espirometria (VeF1 > 2 L), é candidato a pneumonectomia. Apresenta um carcinoma epidermoide de pulmão justa-hilar à esquerda, de 3,2 cm, que invade a carena interlobar. Constatam-se estadiamentos a distância negativos para metástase e mediastinoscopia pré-operatória com linfonodos normais.
Com base nesse caso clínico e nos conhecimentos médicos correlatos, julgue os itens a seguir.
O sistema de drenagem balanceada pós-pneumonectomia foi desenvolvido com o objetivo de manter o mediastino permanentemente em posição ideal mediante o controle contínuo das pressões nos frascos.
Provas
Um paciente de 65 anos de idade, com boa reserva funcional avaliada pela espirometria (VeF1 > 2 L), é candidato a pneumonectomia. Apresenta um carcinoma epidermoide de pulmão justa-hilar à esquerda, de 3,2 cm, que invade a carena interlobar. Constatam-se estadiamentos a distância negativos para metástase e mediastinoscopia pré-operatória com linfonodos normais.
Com base nesse caso clínico e nos conhecimentos médicos correlatos, julgue os itens a seguir.
Em relação aos cuidados no pós-operatório imediato desse caso, deve-se colocar o dreno em aspiração contínua.
Provas
Um paciente de 65 anos de idade, com boa reserva funcional avaliada pela espirometria (VeF1 > 2 L), é candidato a pneumonectomia. Apresenta um carcinoma epidermoide de pulmão justa-hilar à esquerda, de 3,2 cm, que invade a carena interlobar. Constatam-se estadiamentos a distância negativos para metástase e mediastinoscopia pré-operatória com linfonodos normais.
Com base nesse caso clínico e nos conhecimentos médicos correlatos, julgue os itens a seguir.
Durante o período pós-operatório da cirurgia proposta, o paciente deve começar com fisioterapia motora e respiratória precocemente, visando diminuir o risco de complicações pós-operatórias.
Provas
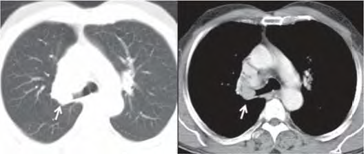
Uma paciente de 47 anos de idade, não tabagista, apresenta episódio de tosse e hemoptise. A tomografia computadorizada de tórax, realizada para investigação, evidenciou um nódulo pulmonar, com densidade de partes moles, de 2,1 cm, com obstrução do brônquio lobar superior direito, demonstrada nas imagens a seguir. Não há linfonodos mediastinais aumentados. A fibrobroncoscopia para investigação evidenciou uma lesão sólida em brônquio lobar superior direito, com obstrução total do brônquio, e aspecto em “dedo de luva”. As tomografias computadorizadas de abdome e de crânio não identificaram lesões metastáticas a distância. A biópsia endobrônquica demonstrou ser um carcinoide típico.
A espirometria permite ressecção pulmonar (lobectomia e pneumonectomia), e a avaliação clínica pré-operatória permite cirurgia de grande porte.

Acervo Pessoal.
Em relação a esse caso clínico e com base nos conhecimentos médicos correlatos, julgue os itens a seguir.
De acordo com a classificação da Organização Mundial da Saúde (OMS), as principais categorias dos tumores neuroendócrinos incluem carcinoma de pequenas células, carcinoma neuroendócrino de grandes células (CNEGC), carcinoide típico e carcinoide atípico.
Provas
Uma paciente de 47 anos de idade, não tabagista, apresenta episódio de tosse e hemoptise. A tomografia computadorizada de tórax, realizada para investigação, evidenciou um nódulo pulmonar, com densidade de partes moles, de 2,1 cm, com obstrução do brônquio lobar superior direito, demonstrada nas imagens a seguir. Não há linfonodos mediastinais aumentados. A fibrobroncoscopia para investigação evidenciou uma lesão sólida em brônquio lobar superior direito, com obstrução total do brônquio, e aspecto em “dedo de luva”. As tomografias computadorizadas de abdome e de crânio não identificaram lesões metastáticas a distância. A biópsia endobrônquica demonstrou ser um carcinoide típico.
A espirometria permite ressecção pulmonar (lobectomia e pneumonectomia), e a avaliação clínica pré-operatória permite cirurgia de grande porte.

Acervo Pessoal.
Em relação a esse caso clínico e com base nos conhecimentos médicos correlatos, julgue os itens a seguir.
Os tumores carcinoides pulmonares são tumores bem diferenciados, com origem nas células neuroendócrinas do pulmão.
Provas
Uma paciente de 47 anos de idade, não tabagista, apresenta episódio de tosse e hemoptise. A tomografia computadorizada de tórax, realizada para investigação, evidenciou um nódulo pulmonar, com densidade de partes moles, de 2,1 cm, com obstrução do brônquio lobar superior direito, demonstrada nas imagens a seguir. Não há linfonodos mediastinais aumentados. A fibrobroncoscopia para investigação evidenciou uma lesão sólida em brônquio lobar superior direito, com obstrução total do brônquio, e aspecto em “dedo de luva”. As tomografias computadorizadas de abdome e de crânio não identificaram lesões metastáticas a distância. A biópsia endobrônquica demonstrou ser um carcinoide típico.
A espirometria permite ressecção pulmonar (lobectomia e pneumonectomia), e a avaliação clínica pré-operatória permite cirurgia de grande porte.

Acervo Pessoal.
Em relação a esse caso clínico e com base nos conhecimentos médicos correlatos, julgue os itens a seguir.
Trata-se de um estadiamento clínico IA3: T1cN0M0.
Provas
Uma paciente de 47 anos de idade, não tabagista, apresenta episódio de tosse e hemoptise. A tomografia computadorizada de tórax, realizada para investigação, evidenciou um nódulo pulmonar, com densidade de partes moles, de 2,1 cm, com obstrução do brônquio lobar superior direito, demonstrada nas imagens a seguir. Não há linfonodos mediastinais aumentados. A fibrobroncoscopia para investigação evidenciou uma lesão sólida em brônquio lobar superior direito, com obstrução total do brônquio, e aspecto em “dedo de luva”. As tomografias computadorizadas de abdome e de crânio não identificaram lesões metastáticas a distância. A biópsia endobrônquica demonstrou ser um carcinoide típico.
A espirometria permite ressecção pulmonar (lobectomia e pneumonectomia), e a avaliação clínica pré-operatória permite cirurgia de grande porte.

Acervo Pessoal.
Em relação a esse caso clínico e com base nos conhecimentos médicos correlatos, julgue os itens a seguir.
A paciente tem indicação de terapia alvo adjuvante.
Provas
Uma paciente de 47 anos de idade, não tabagista, apresenta episódio de tosse e hemoptise. A tomografia computadorizada de tórax, realizada para investigação, evidenciou um nódulo pulmonar, com densidade de partes moles, de 2,1 cm, com obstrução do brônquio lobar superior direito, demonstrada nas imagens a seguir. Não há linfonodos mediastinais aumentados. A fibrobroncoscopia para investigação evidenciou uma lesão sólida em brônquio lobar superior direito, com obstrução total do brônquio, e aspecto em “dedo de luva”. As tomografias computadorizadas de abdome e de crânio não identificaram lesões metastáticas a distância. A biópsia endobrônquica demonstrou ser um carcinoide típico.
A espirometria permite ressecção pulmonar (lobectomia e pneumonectomia), e a avaliação clínica pré-operatória permite cirurgia de grande porte.

Acervo Pessoal.
Em relação a esse caso clínico e com base nos conhecimentos médicos correlatos, julgue os itens a seguir.
Os tumores carcinoides típicos apresentam células com cromatina pontilhada e uma quantidade moderada de citoplasma. Têm menos mitoses e uma baixa necrose (maiores do que 4 mm em sua maior dimensão).
Provas
Uma paciente de 47 anos de idade, não tabagista, apresenta episódio de tosse e hemoptise. A tomografia computadorizada de tórax, realizada para investigação, evidenciou um nódulo pulmonar, com densidade de partes moles, de 2,1 cm, com obstrução do brônquio lobar superior direito, demonstrada nas imagens a seguir. Não há linfonodos mediastinais aumentados. A fibrobroncoscopia para investigação evidenciou uma lesão sólida em brônquio lobar superior direito, com obstrução total do brônquio, e aspecto em “dedo de luva”. As tomografias computadorizadas de abdome e de crânio não identificaram lesões metastáticas a distância. A biópsia endobrônquica demonstrou ser um carcinoide típico.
A espirometria permite ressecção pulmonar (lobectomia e pneumonectomia), e a avaliação clínica pré-operatória permite cirurgia de grande porte.

Acervo Pessoal.
Em relação a esse caso clínico e com base nos conhecimentos médicos correlatos, julgue os itens a seguir.
Dos tipos de tumores carcinoides, a paciente apresenta o menos agressivo. Os carcinoides de pulmão são classificados em típicos e atípicos, sendo os atípicos considerados mais agressivos.
Provas
Caderno Container