Foram encontradas 120 questões.
Certo paciente de 75 anos de idade comparece à unidade básica de saúde com queixa de episódios de fadiga, desânimo, insônia e esquecimento, iniciados há seis meses. Refere também apresentar formigamentos e fraqueza em membros inferiores, o que já lhe causou várias quedas da própria altura. Faz uso crônico de omeprazol para gastrite e não há outras comorbidades.
Tendo em vista esse caso clínico e os conhecimentos médicos correlatos, julgue os itens a seguir.
O número de indivíduos da faixa etária do paciente está diminuindo ao longo dos anos.
Provas
Determinada paciente de 50 anos de idade comparece à unidade básica de saúde (UBS) com queixa de febre de 38 °C, há dois dias, e tosse produtiva com secreção purulenta. Hipertensa, em uso de hidroclorotiazida 25 mg/dia, apresentou controles de pressão arterial com valores acima de 150 mmHg x 90 mmHg. Relata também história pessoal de febre reumática na infância, tendo realizado profilaxia a cada 21 dias até seus 21 anos de idade, mas não manifestou nenhuma alteração no coração. Ao exame físico, verificaram-se pressão arterial = 145 mmHg x 90 mmHg, frequência cardíaca = 90 bpm, frequência respiratória = 22 irpm, ausculta cardíaca normal e ausculta pulmonar com redução discreta dos murmúrios vesiculares bilaterais.
A respeito desse caso clínico, julgue os itens a seguir.
Não é necessário alterar o esquema anti-hipertensivo da paciente.
Provas
Uma paciente de 18 anos de idade, nuligesta, procurou o consultório de um ginecologista referindo amenorreia há cerca de seis meses. Refere menarca espontânea aos 14 anos de idade e ciclos menstruais irregulares. Ao exame físico, observaram-se peso = 56 kg, altura = 1,65 m, índice de Ferriman 8 e ausência de acne.
Com base nesse caso clínico e nos conhecimentos médicos correlatos, julgue os itens a seguir.
A paciente possui critérios suficientes para diagnóstico de síndrome dos ovários policísticos, após excluídos distúrbios relacionados.
Provas
Um paciente de 18 anos de idade iniciou com discurso de perseguição, afirmando que a polícia federal norte-americana (FBI) estava caçando-o no Brasil. Na época, foi tratado com antipsicóticos típicos. Durante esse período, começou a apresentar afeto embotado e comportamento antissocial, contudo não manifestava mais caráter agressivo. Tentou-se administrar inúmeros medicamentos, até que houve uma boa resposta com clozapina. Após duas semanas, o hemograma do paciente demonstrava neutropenia.
Acerca desse caso clínico e considerando os conhecimentos médicos correlatos, julgue os itens a seguir.
O paciente passou a apresentar sintomas atípicos da doença, sendo a clozapina um medicamento de ótima resposta ao tratamento.
Provas
Um paciente de 35 anos de idade iniciou com lamotrigina 25 mg e, três dias depois, aumentou para 100 mg seu uso diário, com o objetivo de melhorar o controle das crises convulsivas dele. Entretanto, evoluiu com mal-estar, febre e lesões corporais. Foi avaliado pelo médico neurologista, que identificou uma reação chamada Stevens-Johnson.
Em relação a esse caso clínico e com base nos conhecimentos médicos correlatos, julgue os itens a seguir.
A progressão do medicamento foi muito rápida, podendo ser fator da causa da síndrome de Stevens-Johnson.
Provas
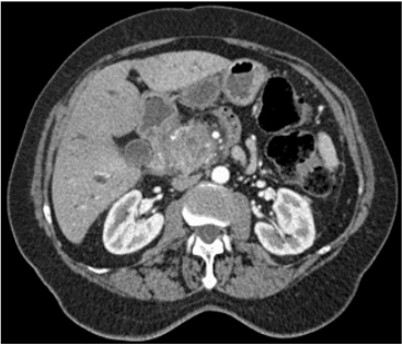
Um paciente de 55 anos de idade iniciou com quadro de icterícia, dor abdominal, colúria e acolia. Perdeu 35 kg em seis meses. Durante o processo de tratamento com quimioterapia, o paciente apresentou, após duas sessões, febre e mal-estar geral, e o hemograma do seguimento do tratamento demonstrava 75 neutrófilos e seu escore de MAASC foi de 15 pontos. A tomografia do paciente, apresentada a seguir, foi inserida para auxiliar no diagnóstico.

Disponível em:<https://www.uptodate.com/>. Acesso em: 27 dez. 2020.
Considerando esse caso clínico, os conhecimentos médicos correlatos e a imagem apresentada, julgue os itens a seguir.
O paciente provavelmente apresenta aumento de bilirrubina indireta.
Provas
Um paciente de 55 anos de idade, tabagista, compareceu à consulta por apresentar mal-estar e náuseas de longa data. Foi realizada uma pesquisa e identificou-se que o paciente apresentava hipertensão arterial pulmonar. Durante a investigação, ele foi submetido a cateterismo cardíaco direito que demonstrou uma pressão arterial média pulmonar de 60 mmHg. Sua resistência vascular pulmonar era de 5 woods. Ao realizar teste com bloqueador de canal de cálcio, houve resposta positiva. Após esses dados, foi feito ecocardiograma que não evidenciou comprometimento das câmaras cardíacas à esquerda. Realizou-se também angiotomografia de tórax que não identificou trombos e nem doenças no parênquima. Após toda a investigação clínica e familiar, o paciente foi classificado com hipertensão arterial pulmonar primária idiopática.
Tendo em vista esse caso clínico e os conhecimentos médicos correlatos, julgue os itens a seguir.
Em cinco anos, o prognóstico desse paciente será melhor, se comparado a pacientes com hipertensão pulmonar por HIV
Provas
O tratamento cirúrgico é considerado o padrão-ouro para diversas doenças. A evolução das técnicas permitiu o aperfeiçoamento dos tratamentos, porém a atenção do cirurgião aos detalhes que antecedem a cirurgia (pré-operatório) e em relação às possíveis complicações do pós-operatório deve ser constante para melhor resultado.
Quanto aos aspectos relacionados ao pré e ao pós-operatório, julgue os itens a seguir.
Antibióticos que bloqueiam a DNA-girase não apresentam boa atividade no tratamento de infecção por anaeróbios.
Provas
O tratamento cirúrgico é considerado o padrão-ouro para diversas doenças. A evolução das técnicas permitiu o aperfeiçoamento dos tratamentos, porém a atenção do cirurgião aos detalhes que antecedem a cirurgia (pré-operatório) e em relação às possíveis complicações do pós-operatório deve ser constante para melhor resultado.
Quanto aos aspectos relacionados ao pré e ao pós-operatório, julgue os itens a seguir.
Febre nas 48 primeiras horas de pós-operatório normalmente é de causa não infecciosa.
Provas
Um paciente de 55 anos de idade compareceu ao ambulatório com queixa de disfagia progressiva, inicialmente para sólidos e atualmente para líquidos também. O paciente relata história de tabagismo há 30 anos, é ex-etilista, abstêmio há cerca de sete anos e apresentou perda de 15 kg nos últimos quatro meses. O paciente nega comorbidades.
No que concerne a esse caso clínico e com base nos conhecimentos médicos correlatos, julgue os itens a seguir.
Doença do refluxo gastroesofágico é fator de risco para a ocorrência da patologia em questão, mormente quando a anatomia patológica mostra padrão espinocelular.
Provas
Caderno Container