Foram encontradas 447 questões.
São contraindicações absolutas ao aleitamento materno, EXCETO,
Provas
- Microbiologia dos Alimentos
- Higiene e Vigilância SanitáriaPrincípios Gerais de Conservação dos AlimentosMicrorganismos em Alimentos.
Assinale a opção CORRETA sobre a bactéria psicrotrófica que pode ser encontradas nos alimentos refrigerados de origem animal e provocam enterite, ileíte terminal e linfadenite mesentérica:
Provas
As sondas nasogástricas são normalmente inseridas pelos enfermeiros. Todas as assertivas abaixo estão corretas, EXCETO,
Provas
No planejamento alimentar deve-se escolher alimentos e ou preparações de forma a diminuir o consumo de gorduras e açúcares e aumentar o consumo de frutas, hortaliças, alimentos integrais e lácteos desnatados. Essa abordagem refere-se a um novo conceito que corresponde à:
Provas
Os tecidos do corpo possuem uma capacidade admirável de recuperação quando lesionados. O corpo imediatamente tenta reparar o dano e cicatrizar a ferida, segundo Timby (2007), o processo de reparo das feridas segue três fases sequenciais: inflamação, proliferação e reconstituição. O enfermeiro deve estar apto a reconhecer essas fases. Considerando esse conhecimento, assinale a opção CORRETA.
Provas
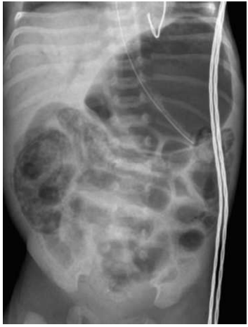
A enterocolite necrosante (NEC), mostrada na figura abaixo, é uma doença de origem desconhecida que afeta principalmente recém-nascidos prematuros (80% dos casos). As manifestações cobrem amplo espectro, de distensão abdominal leve com hematoquezia a choque séptico fulminante com necrose transmural de todo o trato gastrointestinal. Com relação a essa patologia, analise as afirmativas a seguir.

http://www.adhb.govt.nz/newborn/TeachingResources/Radiology/AXR/NEC/NECwithPortalGasAP1.jpg
1) Ocorre tipicamente em recém-nascidos com uma idade gestacional corrigida de 30-32 semanas, um momento em que a maioria dos prematuros está em progressão de dieta enteral.
2) O leite materno pode reduzir o risco de NEC. Uma das ações seria favorecer o crescimento de Lactobacillus bifidus, promovendo o desenvolvimento de um microbioma intestinal saudável.
3) O estagiamento da NEC é realizado com base em sinais sistêmicos e radiológicos.
4) O tratamento deve ser conservador, apenas com vigilância rigorosa e antibioticoterapia nos casos de pneumoperitônio, devido à instabilidade clínica e a gravidade do paciente.
5) A ausência de NEC intrauterina sugere uma necessidade absoluta de colonização intestinal em sua patogênese.
Estão CORRETAS:
Provas
O cardápio é uma ferramenta que inicia o processo produtivo e serve como instrumento gerencial para administração de uma Unidade de Alimentação e Nutrição. As instituições podem estabelecer uma oferta de cardápios nas categorias básica, intermediária e superior, de acordo com o tipo de usuário. Nesse sentido, marque a opção INCORRETA.
Provas
As precauções para controle das infecções são medidas físicas designadas a reduzir a disseminação de doenças infecciosas. Considerando que essas medidas precisam serem adotadas pelos profissionais de enfermagem, analise as seguintes afirmativas e assinale a INCORRETA.
Provas
As etapas que envolvem a produção de preparações alimentícias compõem um processo detalhado, cujo resultado final reflete a qualidade dos produtos e processos. Nesse sentido, assinale a opção CORRETA.
Provas
Os sinais vitais são dados objetivos que indicam quão eficiente ou deficiente está o funcionamento do corpo. Sobre os sinais vitais, analise:
I- A temperatura do corpo medida na orelha mais especificamente na membrana timpânica, com o termômetro posicionado da forma correta, é mais confiável que as medidas na boca e nas axilas, devido a proximidade desta com o hipotálamo.
II- O ritmo do pulso refere-se à qualidade das pulsações sentidas. Costuma está relacionado à quantidade de sangue bombeado a cada batimento cardíaco ou com a força de contração do coração.
III- A respiração é o movimento do ar que entra e sai do peito, envolve a inspiração e a expiração. É controlada pela medula, que constitui o centro respiratório do cérebro.
IV- Se os sons de Korotkoff forem difíceis de escutar podem ser intensificados: o paciente elevando o braço antes e durante o inflar do manguito, baixando-o antes que ele seja concluído e/ou abrindo e fechando a mão, após o inflar do manguito.
V- A medida da pressão sanguínea ajuda a avaliar a eficiência do sistema circulatório. Reflete a capacidade das artérias de se alongarem, o volume circulante do sangue e a quantidade de resistência que deve ser vencida pelo coração ao bombear o sangue.
Estão CORRETAS:
Provas
Caderno Container