Foram encontradas 502 questões.
Mulher de 33 anos, em uso de anticoncepcional oral há 18 anos, realiza tomografia em investigação de dor abdominal, que evidenciou o nódulo hepático mostrado na imagem a seguir:

Qual é a melhor conduta?
Provas
Mulher de 44 anos, no 3º dia de pós-operatório de gastroplastia em Y de Roux por videolaparoscopia para tratamento de obesidade mórbida (IMC 44 Kg/m2). Ao exame físico apresenta-se taquicárdica (frequência cardíaca: 140bpm), PA 140 x 85 mmHg, eupneica, murmúrios vesiculares diminuídos nas bases, abdome flácido sem sinais de irritação peritoneal.
Exames laboratoriais: Hb: 13g/dL; Ht: 42%; Leucograma: 17,33mil/mm3; Creatinina: 1,5g/dL; Ureia: 78g/dL; PCR: 140g/dL.
Qual é a principal hipótese diagnóstica e conduta?
Provas
Homem, 23 anos de idade, motociclista, foi vítima de colisão com automóvel. No Serviço de Emergência foi avaliado e liberado pela Cirurgia Geral e pela Ortopedia, sendo posteriormente encaminhado à cirurgia plástica que identificou ferimento descolante de terço médio da perna direita, após descartada fratura. Qual é a melhor conduta, além da limpeza com soro fisiológico e degermação?
Provas
Homem, 23 anos de idade, vítima de queda de motocicleta há 2 horas. Sem outras alterações ao exame físico, exceto a fratura isolada de fêmur direito. Sem lesões vasculonervosas ou de partes moles (figura a seguir).

Qual é o melhor tratamento?
Provas
Provas
Homem, 19 anos de idade, com antecedente de queda da motocicleta há 70 dias com múltiplas fraturas de costelas à direita, contusão pulmonar, hemopneumotórax e trauma craniano grave. Tratado, na ocasião, com drenagem torácica à direita e ventilação mecânica por 17 dias. Recebeu alta hospitalar após 28 dias de internação em bom estado geral.
Retorna ao serviço de emergência com queixa de dispneia de instalação progressiva associada a cornagem. Ao exame clínico, saturação de 94% frequência respiratória de 24 ipm, tiragem de fúrcula. Qual é a hipótese diagnóstica mais provável e o tratamento imediato?
Provas
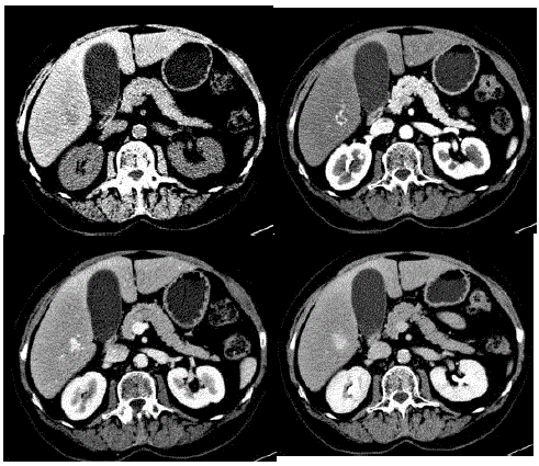
Mulher, 45 anos de idade, com sangramento menstrual irregular, realizou ultrassom abdominal que evidenciou uma lesão exofítica hiperecogênica no rim direito medindo 3,3 cm de diâmetro. Realizada tomografia computadorizada de abdome que demonstrou lesão no terço inferior do rim direito, medindo 3,5 cm, com realce da lesão após a injeção do contraste endovenoso; rim esquerdo sem alterações. Qual é a melhor conduta?
Provas
Homem, 50 anos de idade, fumante e etilista, apresenta nódulo de 3 cm cervical baixo à esquerda (Nível IV) que percebeu há 1 mês. Sem outras queixas. O nódulo é móvel e único. Cavidade oral e orofaringe normais. Qual é a melhor conduta?
Provas
Lactente de 10 meses portador de Síndrome de Down é encaminhado ao cirurgião pediátrico para realização de fundoplicatura por refluxo grave com dificuldade de ganho ponderal. A mãe relata que o filho apresenta vômitos alimentares 2 a 3 vezes ao dia e o quadro se intensificou aos 6 meses, quando foram introduzidos alimentos pastosos. Traz um exame contrastado que revela a imagem a seguir:

Qual é a melhor conduta?
Provas
Homem, 54 anos de idade, apresentou hematêmese. Realizada endoscopia digestiva alta que evidenciou abaulamento no corpo gástrico (grande curvatura), com pequena úlcera e sinais de sangramento recente.
Biópsia revelou tratar-se de tumor estromal do trato gastro-intestinal (GIST).
Tomografia de tórax e abdome: lesão de 10cm na grande curvatura/corpo gástrico, sem invasões de estruturas adjacentes. Sem sinais de lesões hepáticas ou pulmonares, ascite ou implantes peritoneais.
Qual é a melhor conduta?
Provas
Caderno Container