Foram encontradas 502 questões.
Mulher, 80 anos de idade, com história de dor e abaulamento na região inguino-crural esquerda conforme ilustra a figura a seguir.

Foi submetida a tratamento operatório conforme demonstrado na figura a seguir. Cite as estruturas anatômicas assinaladas:

Provas
Homem, 37 anos de idade, foi vítima de ferimento por arma branca (faca de cozinha) na região periumbilical há 1 hora. Admitido no serviço:
A: Falando (hálito etílico), saturação de 96% em ar ambiente
B: Sem alterações
C: FC: 76bpm, PA: 140x70 mmHg. Realizado FAST: negativo
D: Glasgow 15 E: Obeso (IMC 41kg/m2), com ferimento na parede anterior do abdome, de 2cm, próximo à cicatriz umbilical, sem sangramento ativo, com dor apenas no local. Dorso sem alterações.
Qual é a melhor conduta?
Provas
Homem, 27 anos de idade, foi admitido no Serviço de Emergência após colisão de automóvel contra anteparo fixo.
A: via aérea pérvia. Saturação de oxigênio de 92% em ar ambiente
B: dor à palpação do tórax à direita na região inferior e linha axilar média. Hematoma e crepitação no local da dor
C: FC:90bpm e PA: 130x70mmHg.
D: Glasgow de 15. Pupilas sem alterações
E: Diurese clara. Dorso sem alterações. Abdome indolor a palpação.
Realizada tomografia de abdome demonstrada a seguir:

Qual é a melhor conduta?
Provas
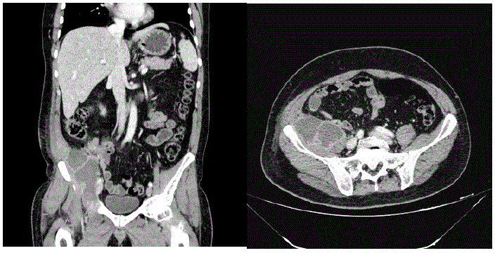
Homem, 59 anos de idade, foi vítima de atropelamento por automóvel com velocidade estimada em 40km/h. Admitido no serviço com:
A: via aérea pérvia, saturação de 97% ar ambiente
B: ausculta e expansibilidade pulmonar simétricas
C: FC: 80bpm, PA: 110 x 70mmHg
D: Glasgow de 15. Sem alterações de pupilas
E: Dor abdominal na fossa ilíaca direita e supra-púbica. Presença de hematúria.
Dor na região coxo-femoral direita com deformidade do membro inferior direito.
Realizada tomografia do abdome com os seguintes achados:

Qual é a melhor conduta no trauma abdominal?
Provas
Homem, de 64 anos, portador de cirrose alcoólica, vem ao Pronto-Socorro referindo vômitos com sangue em grande quantidade. Nega antecedente de hemorragia digestiva. Realizada endoscopia digestiva alta com achado de varizes em esôfago e fundo gástrico, de médio calibre e úlcera gástrica pré-pilórica Forrest 2A.
Qual é a taxa aproximada de ressangramento e a conduta indicada?
Provas
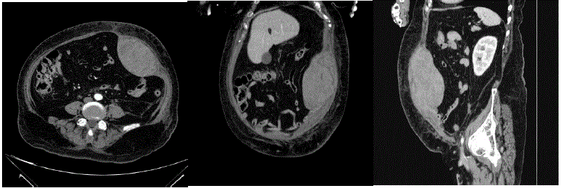
Homem, 37 anos de idade, refere dor abdominal na fossa ilíaca direita há 12 dias, acompanhada de febre de até 38ºC, perda de apetite e queda do estado geral. Procurou o serviço de urgência por duas vezes e há 6 dias foi iniciado ciprofloxacino devido à hipótese de infecção urinária. Retorna hoje ao Pronto-Socorro devido a persistência do quadro.
Ao exame clínico:
Regular estado geral, febril, FC:90 bpm, PA: 130x80 mmHg
Tórax sem alterações.
Abdome flácido, massa palpável de cerca de 10cm na fossa ilíaca e flanco direito, dor localizada na região da massa. Sem sinais de irritação peritoneal. Toque retal sem alterações.
Exames laboratoriais: Hb: 14,6 g/dL; Leuco: 26,57 mil/mm3; PCR: 324mg/dL; Creat: 1,37 mg/dl; Ureia: 51 mg/dl; demais exames normais.
Realizada tomografia de abdome (imagens a seguir):

Qual é o melhor tratamento?
Provas
Primigesta, 28 anos de idade, com 14 semanas de gestação, apresentou quadro de dor abdominal de forte intensidade na região do epigastro com irradiação para dorso, acompanhada de vômitos. Exames laboratoriais confirmaram pancreatite aguda. Apresentou boa aceitação da dieta no 3° dia após os sintomas, além de normalização de todos os exames laboratoriais. Realizado ultrassom de abdome superior que evidenciou múltiplos cálculos na vesícula biliar de 0,2 a 0,5cm, sem dilatação da via biliar.
Qual é a conduta neste momento?
Provas
Homem, 54 anos de idade, apresenta icterícia, colúria e acolia fecal há 10 dias. Sem febre ou perda de peso. Nega alteração de hábito intestinal. Nega comorbidades. Exame físico sem alterações, exceto a icterícia.
Exames laboratoriais: Hb: 14,6 g/dL; Leuco: 9,32 mil/mm3; TGO: 168 U/L; TGP: 115 U/L ; FA: 469 U/L ; GGT: 678 U/L ; BT: 9,64 mg/dL; BD: 8,5 mg/dL
Ultrassom de abdome: Vesícula biliar repleta de cálculos. Dilatação das vias biliares intra e extra-hepática, porém difícil caracterização do colédoco distal devido a interposição gasosa. Corpo do pâncreas sem alterações e difícil caracterização da cabeça. Fígado sem alterações.
Qual deve ser o próximo passo?
Provas
Mulher, 73 anos de idade, refere dor abdominal de início súbito e abaulamento progressivo no flanco esquerdo há 1 dia. Nega alterações do hábito intestinal e urinárias. Está em tratamento para exacerbação da doença pulmonar obstrutiva crônica há 5 dias, porém com persistência da tosse. Tem hipertensão arterial controlada com medicamentos e fibrilação atrial em uso de anticoagulante. Ao exame físico:
Bom estado geral, temperatura de 37,7ºC
Tórax com raros roncos e sibilos
Abdome flácido e sem sinais de irritação peritoneal. Massa endurecida e dolorosa na região do flanco esquerdo de aproximadamente 15cm. Exames laboratoriais: Hb: 10,5 g/dL, Ht: 30%; Leucócitos: 13,54 mil/mm3; PCR: 34 mg/dL
Realizada tomografia de abdome (imagem a seguir):

Qual é a melhor conduta?
Provas
Mulher, 64 anos de idade, se queixa de dor abdominal difusa de forte intensidade há 24 horas, acompanhada de febre e diarreia sem sangue. Nega sintomas urinários. Antecedente de internação prévia há 1 mês devido a pneumonia. Refere tabagismo. Tem hipertensão arterial sistêmica e diabete melito, controlados com medicamentos.
Ao exame físico:
Regular estado geral, FC:110 bcp, FR: 16, PA: 100x70 mmHg
Ausculta torácica sem alterações.
Abdome distendido, doloroso com sinais de irritação peritoneal difusamente.
Exames bioquímicos: Hb: 11,3 g/dL; Leuco: 19,57 mil/mm3; PCR: 60mg/dL; Creat: 2,19 mg/dL; Ureia:141 mg/dl; Lactato: 28 mg/dL;
Gasometria sem outras alterações
Tomografia de abdome:

Qual é a principal hipótese diagnóstica?
Provas
Caderno Container