Foram encontradas 502 questões.

ATENÇÃO: O caso seguinte se refere às questões 38 e 39:
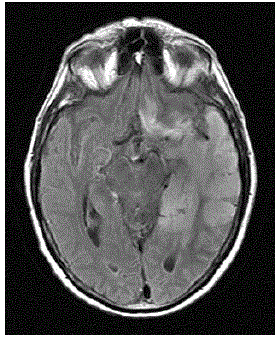
Mulher, 52 anos de idade, veio trazida ao Pronto-Socorro por queixa de cefaleia e uma crise tônico-clônica generalizada que ocorreu dois dias antes da admissão. Em seguida evoluiu com sonolência. Ao exame de admissão tem temperatura de 38ºC, PA 100x60 mmHg, FC: 112bpm e restante do exame clínico geral sem alterações. No exame neurológico, encontrava-se sonolenta, com abertura ocular aos estímulos verbais vigorosos, retirada inespecífica dos membros à dor, falando palavras desconexas, reflexos profundos globalmente vivos e reflexo cutâneo plantar em flexão bilateral. Também foram observadas algumas clonias em hemiface direita. Tomografia computadorizada de crânio mostrou uma hipoatenuação em lobo temporal esquerdo. Exames laboratoriais revelaram uma leucocitose de 13500 sem desvios à esquerda e um aumento da proteína C reativa. Foi então submetida a uma punção lombar para coleta de líquor cujo resultado foi de 41 células (66% de linfócitos, 32% de monócitos e 2% de neutrófilos), 48 hemácias, proteína de 59 mg/dL, glicose de 64 mg/dL e lactato de 25 mg/dL.

Qual é a principal hipótese diagnóstica?
Provas

ATENÇÃO: O caso seguinte se refere às questões 38 e 39:
Mulher, 52 anos de idade, veio trazida ao Pronto-Socorro por queixa de cefaleia e uma crise tônico-clônica generalizada que ocorreu dois dias antes da admissão. Em seguida evoluiu com sonolência. Ao exame de admissão tem temperatura de 38ºC, PA 100x60 mmHg, FC: 112bpm e restante do exame clínico geral sem alterações. No exame neurológico, encontrava-se sonolenta, com abertura ocular aos estímulos verbais vigorosos, retirada inespecífica dos membros à dor, falando palavras desconexas, reflexos profundos globalmente vivos e reflexo cutâneo plantar em flexão bilateral. Também foram observadas algumas clonias em hemiface direita. Tomografia computadorizada de crânio mostrou uma hipoatenuação em lobo temporal esquerdo. Exames laboratoriais revelaram uma leucocitose de 13500 sem desvios à esquerda e um aumento da proteína C reativa. Foi então submetida a uma punção lombar para coleta de líquor cujo resultado foi de 41 células (66% de linfócitos, 32% de monócitos e 2% de neutrófilos), 48 hemácias, proteína de 59 mg/dL, glicose de 64 mg/dL e lactato de 25 mg/dL.

Qual é a pontuação dessa paciente pela escala de coma de Glasgow?
Provas

Mulher, 23 anos de idade, procurou o Pronto-Socorro com queixa de “sensação estranha e fraqueza nas pernas”; também relata “uma sensação de aperto, como uma faixa apertada na altura do meu umbigo”. Diz que percebeu os sintomas há três dias, que inicialmente eram muito leves mas que pioraram progressivamente. Quando indagada, acha que também notou algum tipo de dificuldade para controlar a micção. O exame clínico geral está normal. O exame neurológico mostra: paresia crural direita (força muscular grau 4), perda da sensibilidade vibratória e artrestésica no membro inferior direito; diminuição da percepção dolorosa e térmica em membro inferior esquerdo; sinal de Babinski à direita; os reflexos patelar e aquileu à direita estão exaltados. Qual a topografia responsável pelos achados do exame neurológico?
Provas

Homem de 52 anos de idade, tabagista, apresenta há alguns anos crises de forte dor de cabeça que se concentram principalmente no olho esquerdo. A cefaleia aparece de 2 em 2 anos quase sempre nesta época do ano e permanece por cerca de 45 a 60 dias. a dor dura geralmente 1 hora e na maioria das vezes aparece durante a madrugada despertando-o; fica absolutamente “desesperado” quando sente a dor e tem vontade de “bater a cabeça na parede”. Durante a dor apresenta vermelhidão no olho esquerdo e lacrimejamento intenso desse lado. As crises atuais começaram há 15 dias. realizou uma tomografia durante um período de crises, que era normal. Considerando a principal hipótese diagnóstica, o que é correto afirmar?
Provas

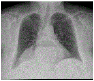
Mulher de 60 anos de idade refere dor epigástrica, tosse e náuseas após as refeições há cerca de 1 ano. Realizou uma radiografia de tórax com a imagem abaixo:

Qual é o diagnóstico mais provável?
Provas

Paciente jovem apresentando quadro psicótico de início agudo, há dois dias foi levado ao Pronto-Socorro em estado de agitação psicomotora. Recebeu uma dose de haloperidol IM e saiu com prescrição de haloperidol 10 mg/dia por via oral. Atualmente está com piora da agitação. Não consegue se manter sentado durante a entrevista, fica em pé balançando o corpo de um lado para o outro e esfrega as mãos com uma fisionomia angustiada. Qual é a conduta?
Provas

Dentre as alternativas abaixo, quais são as alterações mais precoces encontrados na retinopatia diabética?
Provas

Homem de 27 anos de idade apresenta quadro de artropatia inflamatória de membros inferiores, associada às alterações de exame clínico mostradas a seguir.

Considerando a principal hipótese diagnóstica, qual é a manifestação ocular mais comum?
Provas

Homem de 35 anos de idade procurou serviço de emergência por dor em joelho esquerdo há 1 dia. Refere febre e dificuldade à deambulação pela dor. Refere episódios esporádicos de dor lombar, principalmente no fim da tarde. Nega tabagismo, etilismo, uso de drogas e tem vida sexual ativa. Sem outras queixas anteriores. Ao exame: bom estado geral, corado, hidratado, temperatura 38ºC, PA 120x80mmHg, FC 100bpm, FR 24ipm, pulsos radiais palpáveis e simétricos. Joelho esquerdo com calor, edema e limitação da amplitude de movimento, sem hiperemia. Sem outras alterações do restante do exame clínico.
Considerando a principal hipótese diagnóstica, qual deve ser o tratamento inicial?
Provas

Homem de 42 anos de idade com antecedente de hipertensão arterial apresenta dor lombar crônica há cinco anos, após levantar peso no ambiente de trabalho. No episódio inicial apresentou dor intensa e súbita associada à limitação de movimentos que levou a afastamento do trabalho por um período de 10 dias. Voltou a trabalhar, porém, manteve dor lombar continua, de intensidade leve a moderada com irradiação para ambas as coxas de forma difusa e piora com esforços. Vários períodos de afastamento laboral desde então, sempre com manutenção das queixas. Há 6 meses refere dor moderada a intensa com irradiação para ambos os membros inferiores e grande limitação para atividades diárias sem qualquer melhora com uso de anti-inflamatórios ou analgésicos. Faz uso eventual de tramadol, porém nega melhora significativa. Nega febre ou perda de peso. O exame clínico é normal exceto por dor à flexão e extensão lombar. O exame neurológico é normal. Paciente traz exame de ressonância magnética realizado há 2 meses com desidratação discal L4-L5 e L5-S1. Discretas protrusões discais nestes níveis sem conflito radicular.
Qual é a principal hipótese diagnóstica?
Provas
Caderno Container