Foram encontradas 924 questões.
Paciente 45 anos, do sexo masculino, chegou à Emergência apresentando quadro de dor retroesternal com início há três horas, intensidade moderada, sem irradiação. No momento, encontra-se sem dor. Refere hipertensão arterial sistêmica, diabetes e dislipidemia em tratamento. Encontra-se estável do ponto de vista hemodinâmico, Killip I. Troponina I 0,2ng/mL na admissão e três horas após 0,8ng/mL (normal <0,01ng/mL). O eletrocardiograma realizado na admissão está representado na figura abaixo.

Com relação ao caso relatado, o diagnóstico mais provável é
Provas
Homem com 55 anos vem apresentando classe funcional II nos últimos seis meses. Na avaliação diagnosticou-se que o paciente era portador de valvulopatia aórtica. Os achados do ecocardiograma indicam área valvar de 0,9cm2, fração de ejeção de 55% e gradiente médio transvalvar de 46mmHg.
A figura abaixo representa os achados de ausculta cardíaca.

Assinale a afirmação mais adequada em relação ao caso relatado.
Provas
Paciente de 28 anos apresentou-se na Emergência ansioso e com palpitações que iniciaram após uma discussão doméstica. A PA era 132/80mmHg. O ECG está representado na figura abaixo.

Com relação ao caso acima, assinale a afirmação correta.
Provas
Considere as seguintes afirmações sobre implante de válvula aórtica percutânea.
I - No estudo PARTNER IB, o benefício absoluto foi de 20% em relação ao tratamento clínico.
II - Lesões vasculares são causas importantes de morbimortalidade.
III - O implante de marca-passo definitivo em um ano ocorre em 1% dos casos.
Quais estão corretas?
Provas
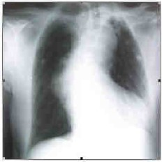
Colega quer transferir às 3 horas da manhã, do hospital de Viamão, paciente com 72 anos atendido na Emergência, apresentando dor retroesternal há duas horas. Relata que o paciente está com PA 110/70mmHg e sudorético. A ausculta cardíaca na fúrcula esternal (Fig. A), o Rx de tórax (Fig. B) e o eletrocardiograma (Fig. C), transmitidos via eletrônica, estão representados abaixo.
Fig. A

Fig. B

Fig. C

Com relação ao caso acima, se você estivesse em centro de referência, qual seria a melhor conduta?
Provas
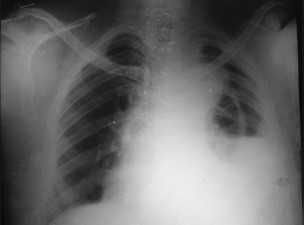
Paciente de 68 anos, do sexo masculino, com história de hipertensão, apresentou-se na Emergência com quadro de síncope ocorrida havia duas horas. Ao chegar à Emergência, estava acordado, ansioso, pálido e com PA 100/60mmHg. O eletrocardiograma (Fig. A) e o Rx de tórax (Fig. B) estão representados abaixo.
Fig. A

Fig. B

Com relação ao caso relatado acima, a melhor abordagem a seguir é
Provas
Sobre o Programa Integral de Reabilitação Vocal proposto por Behlau, Pontes, Vieira, Yamasaki & Madazio (2013), assinale a afirmação INCORRETA.
Provas
Behlau & Madazio (2015) definem Higiene Vocal como uma série de procedimentos que ajudam a cuidar da voz. Com base nisso, assinale as afirmações abaixo com V (verdadeiro) ou F (falso).
( ) Para reduzir o cansaço vocal depois de falar ou cantar, recomenda-se ficar em repouso absoluto de voz.
( ) Comer maçã é um dos tratamentos para rouquidão.
( ) Cantar em coral não faz mal, ajuda no controle dos músculos do canto, na musicalidade e é considerado importante para o corpo e a mente. O cantor com treinamento pode sofrer alguma influência negativa se participar de um coro iniciante.
( ) Dormir pouco prejudica a voz. A falta de sono pode deixar a voz mais pesada e até mesmo mais grave e rouca.
( ) A gravidez, a TPM (tensão pré-menstrual), a reposição hormonal à base de estrogênio e o uso de pílula anticoncepcional não interferem na qualidade vocal das mulheres que utilizam a voz profissionalmente.
A sequência correta de preenchimento dos parênteses, de cima para baixo, é
Provas
Numere a segunda coluna de acordo com a primeira, associando o tipo de cirurgia à qualidade vocal resultante.
(1) Laringectomia parcial horizontal supraglótica
(2) Laringectomia parcial vertical: cordectomia
(3) Laringectomia quase-total
(4) Laringectomia total
(5) Laringectomia total com prótese fonatória
( ) Voz rouca moderada ou rouco-soprosa, com bom tempo máximo de fonação, extensão fonatória e dinâmica limitadas em grau moderado.
( ) Voz rouca discreta a moderada, podendo haver soprosidade e dinâmica limitada em grau leve.
( ) Voz rouca moderada, podendo ser rouco-tensa ou rouco-soprosa, com tempo máximo de fonação reduzido, extensão fonatória e dinâmicas limitadas em grau moderado.
( ) Voz inalterada, formantes um pouco mais agudos.
( ) Disfonia discreta, leve rouquidão ou instabilidade fonatória.
A sequência numérica correta de preenchimento dos parênteses da segunda coluna, de cima para baixo, é
Provas
Behlau (2001) relacionou os principais correlatos auditivos e fisiopatológicos de diferentes aspectos vocais das disfonias. Assinale a alternativa que NÃO apresenta de forma correta essa correlação.
Provas
Caderno Container