Foram encontradas 350 questões.
O neuroblastoma é o tumor sólido abdominal mais comum na criança. Acerca desse tumor, assinale a alternativa correta.
Provas
Uma paciente de 38 anos de idade, com diplopia e fraqueza muscular que piora com suas atividades ao longo do dia, procurou o serviço médico, onde realizou uma tomografia computadorizada de tórax, que revelou uma massa de 4 cm, arredondada, ocupando o mediastino anterior.
Com base nesse caso hipotético, assinale a alternativa correta.
Provas
Com relação às complicações em cirurgia torácica, assinale a alternativa correta.
Provas
Um paciente de 28 anos de idade, vítima de colisão frontal entre carros, em que estava na posição de motorista, deu entrada no pronto-socorro. Apresenta escoriação em face anterior do hemitórax esquerdo, sem outros sinais externos de ferimentos. Ao exame físico, com PA de 110 x 70 mmHg, FC de 120 bpm, FR de 28 irpm, sat. de O2 de 91% em ar ambiente, diminuição acentuada de MV no hemitórax esquerdo (HTE), discreto desvio traqueal da linha média para a direita, hipersonoridade à percussão do hemitórax esquerdo e discreta estase jugular.
Com base nessa situação hipotética, é correto afirmar que a conduta a ser adotada é a de
Provas
Um paciente de 65 anos de idade, fumante, dirigiu-se ao pronto-socorro, com queixa de dor torácica anterior. Recebeu o diagnóstico de carcinoma de pulmão de células não pequenas, de 4 cm, periférico, com sinais de invasão de um arco costal.
Com base nesse caso hipotético, assinale a alternativa correta.
Provas
Assinale a alternativa que apresenta uma situação clínica de infiltrado pulmonar intersticial, com indicação para biópsia pulmonar cirúrgica, em que se deve optar por biópsia pulmonar à céu aberto, em detrimento da biópsia realizada por videotoracoscopia.
Provas
Um paciente de 68 anos de idade apresenta um bócio mergulhante intratorácico, maior à direita, que ultrapassa a veia inominada, apoia-se na porção superior do arco aórtico e comprime a traqueia, desviando-a para a esquerda
Com base nessa situação hipotética, assinale a alternativa correta.
Provas
Uma paciente caquética, moradora de rua, de cinquenta anos de idade, realizou uma radiografia de tórax posteroanterior, que revelou um velamento de seio costofrênico direito.
Com base nesse caso hipotético, assinale a alternativa correta.
Provas
Após a ressecção completa de um adenocarcinoma pulmonar de 2,3 cm (pT1cN0M0) por lobectomia superior direita, a condução do seguimento terapêutico será
Provas
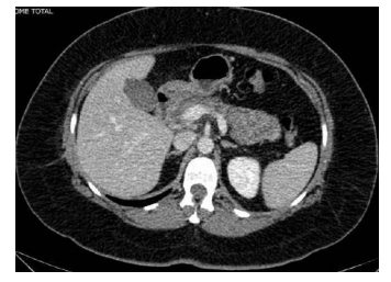
Um paciente de 51 anos de idade, sem comorbidades, iniciou, há três dias, quadro de fortes dores em hipocôndrio direito e epigástrio, com vômitos após refeição copiosa. Fez uso de analgésicos comuns, mas, como houve piora da dor, procurou o atendimento do seu médico particular. O médico solicitou exame de imagem e exame laboratorial para investigação. Nos exames laboratoriais, Hb 13 g/dL, leucócitos 14.000/mm3 , TGO e TGP dentro da normalidade, bilirrubina total 3,2 mg/dL, bilirrubina direta 2,8 mg/dL, amilase 650 U/L, ureia 28 mg/dl, creatinina 1,2 mg/dL, fosfatase alcalina 110 mg/dL, gama GT 320 mg/dL e PCR 5 mg/dL. Realizou uma ultrassonografia, que revelou colelitíase, e a tomografia cuja imagem é mostrada a seguir. Após avaliar os exames, o médico encaminhou o paciente ao pronto-socorro.

Com base nesse caso hipotético, assinale a alternativa correta.
Provas
Caderno Container