Foram encontradas 2.033 questões.
O tumor de Ewing foi descrito por James Ewing, em 1921; corresponde a uma neoplasia maligna osteolítica de alto grau. Este tumor acomete preferencialmente qual porção óssea?
Provas
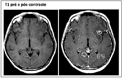
Paciente, 42 anos, sexo masculino, HIV positivo há quatro anos, em uso irregular de antirretrovirais no último ano. Devido a etilismo importante, foi levado por familiares ao hospital mais próximo de sua residência por causa do quadro iniciado há dois dias de cefaleia; rebaixamento do nível de consciência com confusão mental; sonolência; além de discreta perda de força do lado direito do corpo. O paciente realizou o seguinte exame de imagem na investigação do quadro:

Qual hipótese diagnóstica foi aventada?
Provas
Paciente masculino, 41 anos, com acidemia e hipocalemia e possível diagnóstico de Acidose Tubular Renal (ATR). Em relação ao quadro, é correto afirmar que:
Provas
Paciente masculino, 4 anos, com síndrome nefrótica que não respondeu ao uso de glicocorticoide, sendo indicada biópsia renal percutânea. Em relação ao procedimento, assinale a afirmativa correta.
Provas
Os vírus hepatotrópicos são aqueles capazes de provocar uma intensa infiltração mononuclear panlobular no parênquima hepático, provocando uma necrose de padrão predominantemente periportal. Em relação às hepatites virais, assinale a afirmativa correta.
Provas
Lactente, cuja mãe não fez o acompanhamento correto do pré-natal, no momento do parto apresentou VDRL reagente; teve alterações liquóricas e foi tratado com penicilina benzatina. Assinale o seguimento correto do paciente.
Provas
Paciente, 37 anos, com quadro de sangramento uterino anormal há seis meses. Comparece com ultrassonografia demonstrando útero globoso, em AVF; volume de 212 cm³; com nódulo hiperecoico; regular; sem vascularização; localizado em parede anterior do útero; sendo cerca de 40% do seu volume intramural e 60% subseroso, medindo 5,4 x 4,6 cm. Considerando o caso hipotético, assinale a afirmativa correta.
Provas
Paciente, 34 anos, sexo masculino, tabagista, foi submetido à cirurgia bariátrica por derivação biliopancreática pela técnica Duodenal Switch. Assinale, a seguir, uma possível complicação dessa cirurgia.
Provas
“Paciente, 13 anos, comparece à consulta por aumento de pilificação corporal. Mãe refere ausência de menarca. Relata ter realizado pré-natal e que se lembra de alguma alteração na genitália da filha nas ultrassonografias, mas que não foi confirmada após o nascimento. Não fez teste do pezinho, pois perdeu o período oportunístico.” Ao exame: A: 1,50 m / Peso: 50 kg; Desenvolvimento puberal: M3P4; Vulva: sem alterações anatômicas; clitóris: medindo 1,5 x 0,8 cm; Membrana himenal íntegra; e, Ferriman 15.
Ao retorno, paciente traz seguinte exame: 17-OH-progesterona: 350. Foi indicado o teste de cortrosina para definição diagnóstica. Sobre tal teste, assinale a afirmativa INCORRETA.
Provas
Na seguinte enfermidade gastrointestinal relacionada, o uso de antibióticos é fundamental:
Provas
Caderno Container