Foram encontradas 20 questões.
A radiologia desenvolveu-se como ciência a partir de dezembro 1895, através de estudos de emissão de luz em ampolas a vácuo, em experiências com raios catódicos, um deles, denominado de raio X, atravessa corpos como vidro, papelão, madeira, porém, é bloqueado por metais pesados, como chumbo, pode deixar marcas ao impregnar determinada substância, desde que entre ele e a placa da substância, houvesse um corpo. Sobre as propriedades da radiação X, assinale a alternativa correta.
Provas
A ressonância magnética nuclear é um exame indispensável para detecção de distúrbios nos tecidos, pois permite uma avaliação rigorosa das doenças, podendo ser útil para planejamento cirúrgico, caso indicado. O mesmo evita também que o paciente faça uma biópsia, um método invasivo que pode deixar sequelas. Ademais, este exame é sobretudo útil para avaliar de forma eficaz, o tamanho e a localização de tumores mais agressivos. Sobre os mecanismos e princípios do aparelho de ressonância magnética nuclear, assinale a alternativa correta.
Provas
O estudo radiológico da cabeça e do pescoço, abrange as regiões cervical, mandíbula, maxila, seios da face, articulação temporomandibular, ouvidos e órbitas.
Sobre a radiologia da cabeça e pescoço, assinale a alternativa incorreta.
Provas
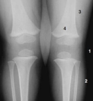
Analise a figura.

Fonte: JUNIOR, C. M., Radiologia Básica, 2 ed., Revinter, 2016.
Quais das numerações presentes na figura, refere-se ao ar e à gordura, respectivamente?
Provas
Prestes ao início da Copa do Mundo de Futebol, um jogador do Brasil foi convocado pela primeira vez. Ao correr para o campo, sentiu um nó no estômago e seu coração disparou. Recebeu seu primeiro passe e já lançou com perfeição ao volante, que logo no começo da partida quase marcou um gol. Aos poucos seu coração desacelerou e o estômago relaxou, sentiu que seria uma excelente partida para a seleção brasileira.
Analisando esse caso, assinale a alternativa incorreta.
Provas
Disciplina: Atualidades e Conhecimentos Gerais
Banca: MS CONCURSOS
Orgão: Pref. Cáceres-MT
Cáceres conhece os campeões da Taça Mato Grosso de Futsal Masculino e Feminino categoria sub 15.
Após três dias de competições, chegou ao final em Cáceres, a Taça Mato Grosso de Futsal Masculino e Feminino, categoria sub 15.
O evento, realizado pela Federação Mato-grossense de Futsal, e com o apoio da prefeitura de Cáceres, que sediou a competição estadual, contou com a participação das cidades de Cáceres, Alto Garças, Comodoro, Cuiabá, Figueirópolis D’Oeste, Pedra Preta, Planalto da Serra, Sorriso e Várzea Grande.
Com um excelente nível técnico, a Taça Mato Grosso revelou atletas e definiu as duas equipes que representarão o estado na Taça Brasil da categoria no ano de 2023.
[...]
Provas
Disciplina: Legislação Municipal
Banca: MS CONCURSOS
Orgão: Pref. Cáceres-MT
Provas
Disciplina: Legislação Municipal
Banca: MS CONCURSOS
Orgão: Pref. Cáceres-MT
____________ antes de findar o período do estágio probatório, será submetida à homologação da autoridade competente a avaliação de desempenho do servidor, realizada de acordo com o que dispuser a legislação ou o regulamento da respectiva carreira ou cargo, sem prejuízo da continuidade de apuração dos fatores enumerados nos incisos I a V do art. 28, da Lei Complementar nº 25/1997.
Provas
Disciplina: Legislação Municipal
Banca: MS CONCURSOS
Orgão: Pref. Cáceres-MT
( ) O servidor estável só perderá o cargo, dentre outros motivos, mediante procedimento de avaliação periódica de desempenho, na forma de lei complementar, assegurado o contraditório e a ampla defesa.
( ) As carreiras serão organizadas em classes de cargos dispostos de acordo com a natureza profissional e complexidade de suas atribuições, guardando correlação com a finalidade do órgão ou entidade.
( ) Extinto o cargo, ou declarada a sua desnecessidade, o servidor estável ficará em disponibilidade, com remuneração proporcional ao tempo de serviço, até seu adequado aproveitamento em outro cargo.
Provas
Disciplina: Legislação Municipal
Banca: MS CONCURSOS
Orgão: Pref. Cáceres-MT
Provas
Caderno Container