Foram encontradas 60 questões.

Internet: Stell and Maran’sTextbook of Head and Neck Surgery and Oncology Fifth edition; 2012.
Um paciente de 58 anos de idade, tabagista crônico, apresenta uma lesão ulcerada e endurada na margem lateral esquerda da língua (conforme imagem), a qual evoluiu nos últimos 3 meses. Ele relata dor leve e dificuldade para engolir. Durante a palpação, foram encontrados linfonodos cervicais ipsilaterais aumentados. O paciente não apresenta febre ou perda de peso significativa. Ao exame físico: os linfonodos cervicais palpáveis, com cerca de 1,5 cm, móveis e indolores. Não há outras alterações clínicas visíveis.
Considerando o quadro clínico exposto, assinale a alternativa que apresenta a hipótese diagnóstica mais adequada.
Provas

Internet: Stell and Maran’sTextbook of Head and Neck Surgery and Oncology Fifth edition; 2012.
Um homem de 35 anos de idade apresenta um nódulo indolor na região pós-auricular esquerda há 2 anos. Inicialmente, o nódulo era pequeno e macio, porém com o tempo tornou-se endurecido, sem evidência de crescimento recente. O paciente não relata sintomas sistêmicos ou histórico de trauma. No exame físico, observa-se uma massa subcutânea firme de 1,5 cm na região pós-auricular direita. A pele está íntegra e móvel, sem dor ou sinais inflamatórios. Os linfonodos cervicais não estão palpáveis (conforme imagem).
Considerando o quadro clínico exposto, assinale a alternativa que apresenta o diagnóstico mais provável.
Provas
O estadiamento TNM do câncer de tireoide é essencial para determinar o tratamento adequado e o prognóstico. De acordo com o estadiamento TNM e o tratamento do câncer de tireoide, assinale a alternativa correta.
Provas

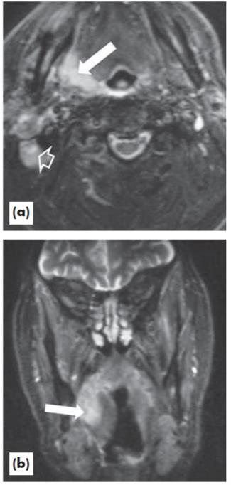
Internet: Stell and Maran’sTextbook of Head and Neck Surgery and Oncology Fifth edition; 2012.
Com relação ao sítio da lesão apresentada na imagem (“a” plano axial; “b” plano coronal), bem como as estruturas identificadas e destacadas, assinale alternativa correta.
Provas
O manejo das anomalias faciais, tanto congênitas quanto adquiridas, exige uma abordagem diagnóstica e terapêutica integrada. Conforme o tema apresentado, assinale a alternativa correta.
Provas
O esvaziamento cervical é uma abordagem cirúrgica essencial no manejo do carcinoma de células escamosas da cavidade oral e orofaringe. A respeito do manejo do pescoço nesses casos, assinale a alternativa correta.
Provas
A mutação no proto-oncogene RET está associada ao carcinoma medular da tireoide (CMT) e influencia significativamente a indicação cirúrgica nos portadores dessa mutação. Acerca do manejo cirúrgico de nódulos tireoidianos em pacientes com mutação RET, assinale a alternativa correta.
Provas

Internet: Stell and Maran’sTextbook of Head and Neck Surgery and Oncology Fifth edition; 2012.
A respeito dos níveis cervicais linfonodais, assinale a alternativa que apresenta o nível dos linfonodos indicados pela seta na figura.
Provas
Um paciente vítima de trauma penetrante causado por arma de fogo, com orifício de entrada e de saída em pescoço (Zona II), está hemodinamicamente normal, embora haja abaulamento crescente em zona citada, sem sintomas respiratórios e sinais vitais estáveis. Queixa-se apenas de dor local.
Considerando o caso hipotético, assinale a alternativa que apresenta a conduta médica correta.
Provas
Acerca do trauma no pescoço, dos mecanismos, das lesões e seus aspectos epidemiológicos, assinale a alternativa incorreta.
Provas
Caderno Container