Foram encontradas 1.030 questões.
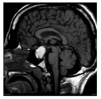
Mulher de 61 anos apresenta quadro de cefaleia progressiva há 5 meses, evoluindo com alteração da visão há 2 semanas. Uma ressonância magnética realizada há 2 dias é mostrada a seguir.

Todavia, ela procura o pronto-socorro devido a mal-estar, sensação de desmaio iminente, náuseas e alguns episódios de vômitos iniciados há cerca de 12 horas. Glicemia capilar: 58 mg/dL. Ao exame físico: afebril, corada, anictérica, sonolenta; pressão arterial: 79 x 46 mmHg, pulso: 82 bpm; frequência respiratória: 20 ipm; oximetria de pulso: normal; discreta dor abdominal difusa, sem sinais de peritonismo; extremidades frias, com discreta cianose. Além de cristaloides, o tratamento imediato correto é
Provas
Homem de 72 anos apresenta quadro súbito de hemiparesia esquerda e a tomografia computadorizada mostra apenas um sinal hiperdenso da artéria cerebral média (ACM) e nenhuma outra alteração isquêmica ou hemorrágica. Ele foi visto pela última vez neurologicamente normal 4 horas antes.
Considerando a hipótese de acidente vascular cerebral isquêmico, nesse paciente, constitui uma contraindicação para a terapia fibrinolítica:
Provas
Homem de 54 anos é levado ao pronto-socorro por quadro de hematêmese há cerca de 3 horas. Nos últimos 6 meses, ele teve várias ocorrências semelhantes. O histórico é notável para cirrose de etiologia alcoólica. Ao exame físico, ele está pálido e diaforético; pulso: 103 bpm; pressão arterial: 101 x 69 mmHg; abdome: distensão acentuada, hepatomegalia e ascite moderada. Exames séricos: hemoglobina: 9,8 g/dL; leucócitos: 5000/mm3 ; plaquetas: 120000/mm3 . Ele recebe fluidos intravenosos e terlipressina.
Qual é o próximo passo no manuseio desse paciente?
Provas
Mulher de 19 anos é levada ao pronto-socorro com quadro de cefaleia, mal-estar, náuseas e vômitos, que evoluíram com rebaixamento progressivo do nível de consciência e convulsão. Acompanhante relata que o quadro iniciou após a ingestão de vários comprimidos de derivado da anfetamina (MDMA ou “ecstasy”). A glicemia capilar é de 103 mg/dL. Ao exame físico: ela está afebril, corada, anictérica; pressão arterial 165 x 105 mmHg; frequência cardíaca: 98 bpm; oximetria de pulso: normal; escala de Glasgow: 10; não há déficit neurológico focal; cardiopulmonar: normal. O sódio sérico é de 102 mEq/L.
Nesse momento, a conduta inicial correta é
Provas
Paciente de 62 anos é admitido no pronto-socorro e apresenta uma gasometria arterial com o pH de sangue arterial de 7,53. Com essa informação, o achado clínico e exame sérico mais prováveis, respectivamente, são:
Provas
Mulher de 35 anos com histórico de hipertireoidismo (doença de Graves) realiza um procedimento cirúrgico para correção de hernia inguinal esquerda com sucesso. No dia seguinte, ela evolui com intenso mal-estar, agitação, febre, taquicardia, diarreia e vômitos. Ao exame físico: consciente, orientada, inquieta; pressão arterial: 180 x 40 mmHg; pulso: 142 bpm; temperatura: 39 ºC; região inguinal esquerda de bom aspecto, sem sinais infecciosos. O ECG realizado é mostrado a seguir.

Admitindo a ausência de contraindicações, nesse momento, a conduta inicial correta é
Provas
Homem de 57 anos com história de hipertensão arterial e hiperlipidemia (elevação de LDL) é atendido no pronto-socorro com início agudo de opressão torácica subesternal, dispneia e diaforese há 2 horas. A pressão arterial é 158 x 96 mmHg e a frequência cardíaca de 92 bpm. A ausculta pulmonar é normal e não há sopros ou ritmo de galope (B3 ou B4). O ECG é realizado e mostra: ritmo sinusal; onda R proeminente em V2; elevação de ST de 0,5 mm em DIII; depressão horizontal de ST de 2 mm nas derivações V1 a V3.
Nesse momento, qual a próxima conduta diagnóstica de maior utilidade para planejar e decidir o tratamento correto?
Provas
Homem de 18 anos apresenta-se após uma colisão de veículo motorizado na qual foi ejetado do veículo. Os paramédicos têm administrado ventilação com bolsa-válvula-máscara no caminho devido ao desconforto respiratório e agora relatam aumento da resistência com as ventilações. O paciente apresenta diminuição dos sons respiratórios à esquerda. Sua pressão arterial é de 76/40 mmHg e seu pulso é de 145 bpm; a respiração é agônica, com uma frequência de 5 ipm.
Nesse momento, o próximo passo recomendado é
Provas
Qual das seguintes afirmações sobre a visualização ultrassonográfica do apêndice é verdadeira para o diagnóstico de apendicite aguda?
Provas
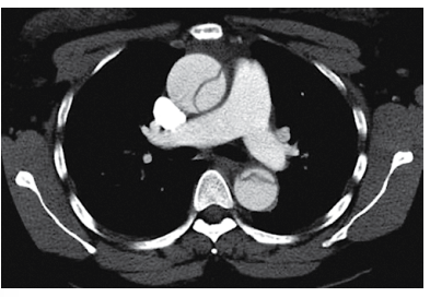
Homem de 49 anos é atendido no pronto-socorro com o relato de dor súbita e intensa no tórax anterior há cerca de 1 hora. O histórico é notável para tabagismo e hipertensão arterial, em uso de enalapril e clortalidona. Nega uso de drogas ou álcool. Ao exame físico: ele encontra-se pálido, sudorético, ansioso, agitado, referindo dor intensa no tórax anterior e posterior; pressão arterial: 194 x 115 mmHg; pulso: 1155 bpm; oximetria de pulso: normal. Glicemia capilar: 125 mg/dL. ECG sem indícios de isquemia. Analgesia intravenosa é prescrita e a angiotomografia de tórax realizada é mostrada a seguir.

Admitindo-se que não há contraindicações, nesse momento, o tratamento parenteral inicial é com
Provas
Caderno Container