Foram encontradas 905 questões.
A Fibrose Pulmonar Idiopática é uma doença crônica pulmonar com evolução progressiva com prognóstico ruim. Sem tratamento, a mediana de sobrevida é de 3 a 5 anos. O tratamento é essencial para aumentar a sobrevida dos pacientes e reduzir o impacto da doença na qualidade de vida. Nas últimas duas décadas, vários medicamentos revolucionaram o tratamento da doença. Em relação aos medicamentos usados para tratamento da fibrose pulmonar idiopática e suas comorbidades, assinale a opção correta.
Provas
Paciente de 30 anos de idade, sexo masculino, obeso (IMC = 32 kg/m2 ), sem outras comorbidades ou uso de medicamentos prévios, e com exame físico normal. Realizou polissonografia devido a queixas de roncos durante o sono e sonolência diurna excessiva, o que revelou a presença de Índice de Apneia-Hipopneia (IAH) = 28 eventos por hora, com 48 eventos por hora no sono REM, todos os eventos do tipo obstrutivo. Foi solicitada, então, polissonografia para titulação com CPAP (pressão positiva contínua nas vias aéreas). Paciente realizou o exame em uso de zolpidem por dificuldade em iniciar o sono. O exame foi iniciado com pressão de 4 cmH2O com aumento progressivo. Ao longo do exame apareceram apneias centrais com o incremento da pressão titulada. Ao chegar a 10 cmH2O, o número de eventos centrais era superior a 50% do total de eventos.
-
Assinale a opção que avalia corretamente o caso clínico descrito anteriormente.
Provas
As pneumoconioses são doenças ocupacionais em que há depósito de poeira mineral no trato respiratório. A atividade do indivíduo tem relação direta com o tipo de pneumoconiose a ser desenvolvida. Assinale a opção correta relacionada aos diferentes tipos de pneumoconioses.
Provas
Sarcoidose é uma doença granulomatosa multissistêmica de etiologia não bem definida. Ela pode acometer o trato respiratório de diversas maneiras, sendo o pulmão um dos órgãos mais acometidos. Por isso, muitas vezes o portador da doença é acompanhado pelo pneumologista, que também precisa compreender o rastreio do acometimento dos outros órgãos.
-
Em 2020, a American Thoracic Society fez recomendações de exames a serem realizados para avaliação de manifestações extrapulmonares da sarcoidose. Nesse contexto, assinale a opção que corresponde aos os exames recomendados a serem realizados no momento do diagnóstico e com periodicidade anual independente da presença de sintomas, respectivamente.
Provas
As doenças pulmonares intersticiais difusas são um grupo variado de doenças pulmonares heterogêneas caracterizadas por infiltrado inflamatório, podendo evoluir para fibrose pulmonar. Entre elas está a pneumonite de hipersensibilidade, que é dividida em dois fenótipos clínicos: fibrótica e não fibrótica. Assinale a opção que descreve a característica tomográfica típica da pneumonite de hipersensibilidade fibrótica.
Provas
Acerca das formas de tratamento da apneia do sono, assinale a opção correta.
Provas
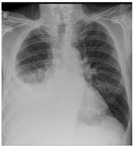
Texto 29A2
-
Paciente de 42 anos de idade, do sexo masculino, natural de Minas Gerais, foi trazido pelo irmão à Unidade de Pronto Atendimento devido a tosse secretiva, com início há 12 dias, associada a febre de 38 ºC, além de hiporexia e dor torácica. O paciente relata que já havia procurado a Unidade Básica de Saúde, ocasião em que lhe foi receitado o uso de macrolídeo por 5 dias, não havendo, contudo, melhora significativa dos sintomas.
Os exames laboratoriais do paciente realizados anteriormente apresentaram os seguintes resultados: hemoglobina 13 g/%; leucócitos totais 14.500/mm3; bastões de 5%; neutrófilos 75%; plaquetas 200.000/mm3; ureia 60 mg/dL.
-
A radiografia de tórax mostrou a seguinte imagem:
-

-
Internet: < radiopaedia.org >
-
Além disso, foi realizada a toracentese para avaliação do líquido pleural, que mostrou: líquido pleural purulento; pH 6,8, DHL 2.000 U/L; proteínas 4,9 mg/dL; glicose 38 mg/dL; predomínio de neutrófilos.
-
Por fim, o exame físico revelou as seguintes informações:
-
I O paciente apresenta mau estado geral, confusão, frequência cardíaca de 114 bpm, frequência respiratória de 32 irpm, pressão arterial 90/55 mmHg e saturação periférica de 90% em ar ambiente.
II Aparelho respiratório: sons respiratórios abolidos em base direita; presença de algumas crepitações em região infraclavicular direita; macicez à percussão em base direita, com redução do frêmito toracovocal na mesma região.
III Aparelho cardiovascular: ritmo cardíaco regular em dois tempos, sem sopros; extremidades sem edema de membros inferiores, sem sinais de trombose; e tempo de enchimento capilar de 3 segundos.
Na situação hipotética descrita no texto 29A2, o tratamento mais adequado para o paciente seria
Provas
Texto 29A2
-
Paciente de 42 anos de idade, do sexo masculino, natural de Minas Gerais, foi trazido pelo irmão à Unidade de Pronto Atendimento devido a tosse secretiva, com início há 12 dias, associada a febre de 38 ºC, além de hiporexia e dor torácica. O paciente relata que já havia procurado a Unidade Básica de Saúde, ocasião em que lhe foi receitado o uso de macrolídeo por 5 dias, não havendo, contudo, melhora significativa dos sintomas.
Os exames laboratoriais do paciente realizados anteriormente apresentaram os seguintes resultados: hemoglobina 13 g/%; leucócitos totais 14.500/mm3; bastões de 5%; neutrófilos 75%; plaquetas 200.000/mm3; ureia 60 mg/dL.
-
A radiografia de tórax mostrou a seguinte imagem:
-

-
Internet: < radiopaedia.org >
-
Além disso, foi realizada a toracentese para avaliação do líquido pleural, que mostrou: líquido pleural purulento; pH 6,8, DHL 2.000 U/L; proteínas 4,9 mg/dL; glicose 38 mg/dL; predomínio de neutrófilos.
-
Por fim, o exame físico revelou as seguintes informações:
-
I O paciente apresenta mau estado geral, confusão, frequência cardíaca de 114 bpm, frequência respiratória de 32 irpm, pressão arterial 90/55 mmHg e saturação periférica de 90% em ar ambiente.
II Aparelho respiratório: sons respiratórios abolidos em base direita; presença de algumas crepitações em região infraclavicular direita; macicez à percussão em base direita, com redução do frêmito toracovocal na mesma região.
III Aparelho cardiovascular: ritmo cardíaco regular em dois tempos, sem sopros; extremidades sem edema de membros inferiores, sem sinais de trombose; e tempo de enchimento capilar de 3 segundos.
No caso apresentado no texto 29A2, considerando-se as proteínas séricas = 3,8 mg/dL e o DHL sérico = 420 U/L, segundo os critérios de Light, é correto afirmar que trata-se de
Provas
Texto 29A2
-
Paciente de 42 anos de idade, do sexo masculino, natural de Minas Gerais, foi trazido pelo irmão à Unidade de Pronto Atendimento devido a tosse secretiva, com início há 12 dias, associada a febre de 38 ºC, além de hiporexia e dor torácica. O paciente relata que já havia procurado a Unidade Básica de Saúde, ocasião em que lhe foi receitado o uso de macrolídeo por 5 dias, não havendo, contudo, melhora significativa dos sintomas.
Os exames laboratoriais do paciente realizados anteriormente apresentaram os seguintes resultados: hemoglobina 13 g/%; leucócitos totais 14.500/mm3; bastões de 5%; neutrófilos 75%; plaquetas 200.000/mm3; ureia 60 mg/dL.
-
A radiografia de tórax mostrou a seguinte imagem:
-

-
Internet: < radiopaedia.org >
-
Além disso, foi realizada a toracentese para avaliação do líquido pleural, que mostrou: líquido pleural purulento; pH 6,8, DHL 2.000 U/L; proteínas 4,9 mg/dL; glicose 38 mg/dL; predomínio de neutrófilos.
-
Por fim, o exame físico revelou as seguintes informações:
-
I O paciente apresenta mau estado geral, confusão, frequência cardíaca de 114 bpm, frequência respiratória de 32 irpm, pressão arterial 90/55 mmHg e saturação periférica de 90% em ar ambiente.
II Aparelho respiratório: sons respiratórios abolidos em base direita; presença de algumas crepitações em região infraclavicular direita; macicez à percussão em base direita, com redução do frêmito toracovocal na mesma região.
III Aparelho cardiovascular: ritmo cardíaco regular em dois tempos, sem sopros; extremidades sem edema de membros inferiores, sem sinais de trombose; e tempo de enchimento capilar de 3 segundos.
Considerando-se a situação hipotética descrita no texto 29A2 e com base no escore de gravidade CURB-65, é correto afirmar que o melhor ambiente de tratamento e a pontuação pelo escore adequada são, respectivamente,
Provas
A fibrose pulmonar idiopática é uma doença intersticial crônica fibrosante, de causa desconhecida, associada a alterações radiográficas e histopatológicas específicas. Ocorre predominantemente em pessoas mais velhas, sendo caracterizada por piora progressiva da dispneia e função pulmonar, apresentando um prognóstico ruim. Não infrequente, o médico pneumologista se depara com essa situação no dia a dia, tendo que caracterizar se existe ou não fibrose pulmonar progressiva, a fim de instituir ou não tratamento apropriado. Segundo a ATS/ERS/JRS/ALAT 2022, pode-se considerar que há fibrose pulmonar progressiva quando existir, no período de um ano,
Provas
Caderno Container